HUIXTLA
ESCUINTLA
AKISHINO
AKISHINO2 USG
ESPECIALIDADES
Home
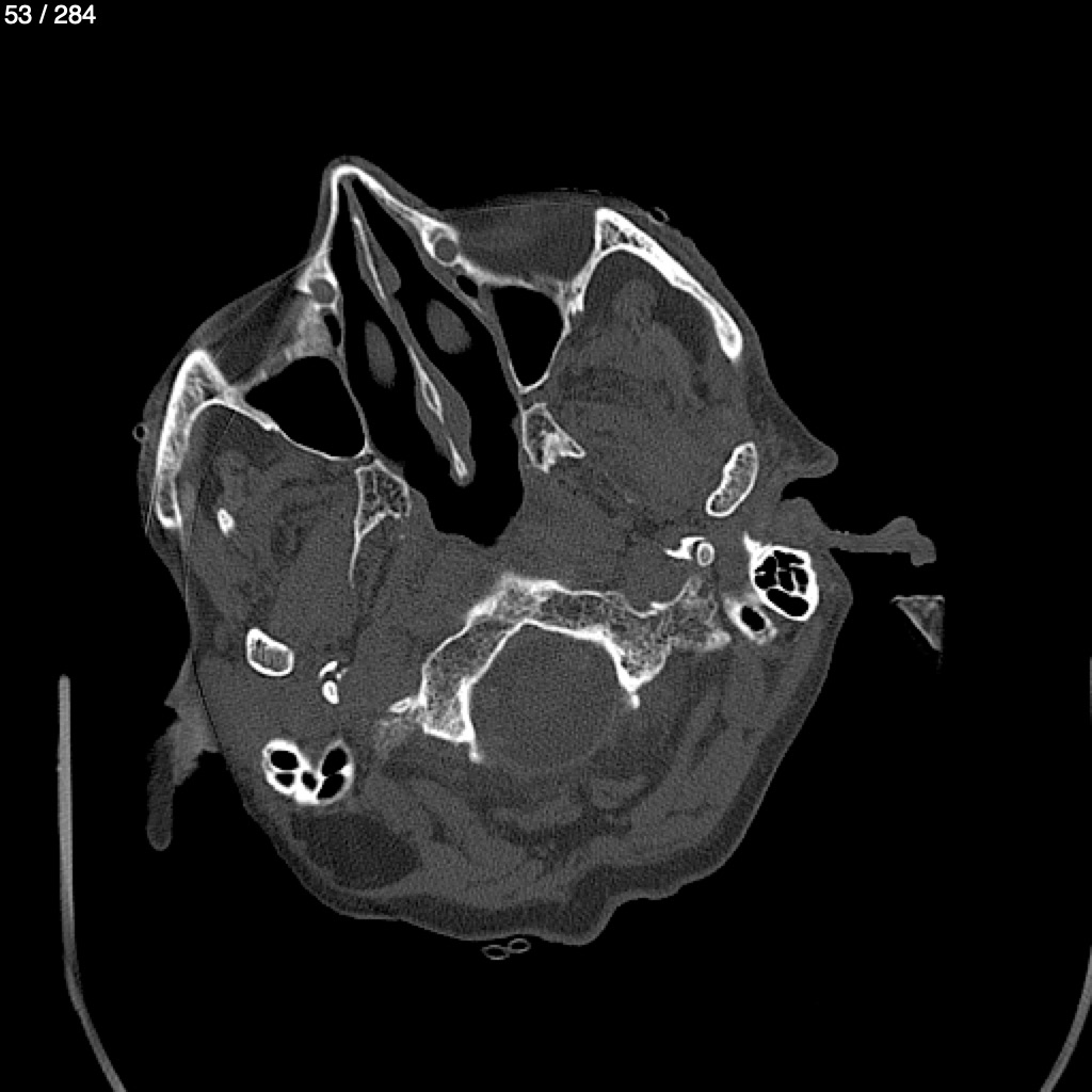
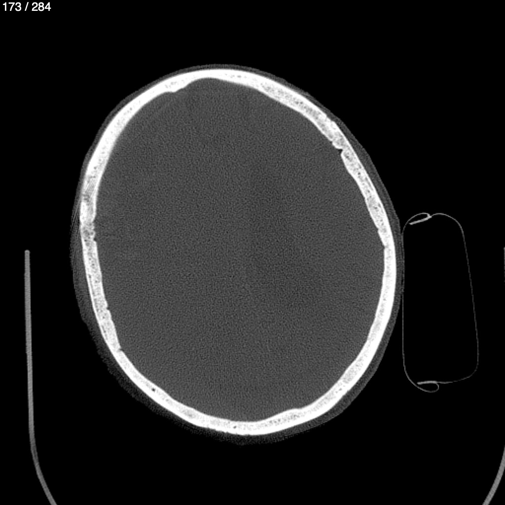
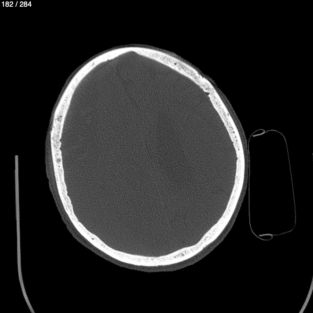
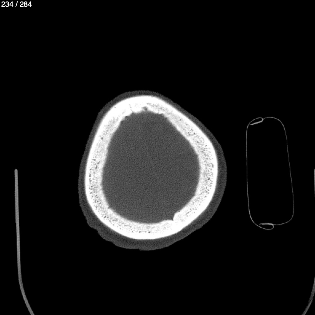
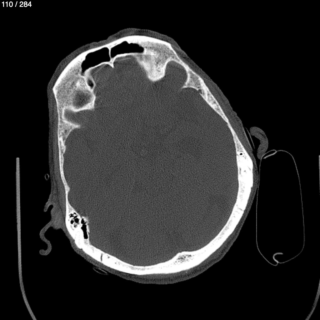
Cesar Arturo Cifuentes Garcia - Cabeza Simple_Craneo (Adulto)
Previous Series
Next Series
Show as Sequence