HUIXTLA
ESCUINTLA
AKISHINO
AKISHINO2 USG
ESPECIALIDADES
Home
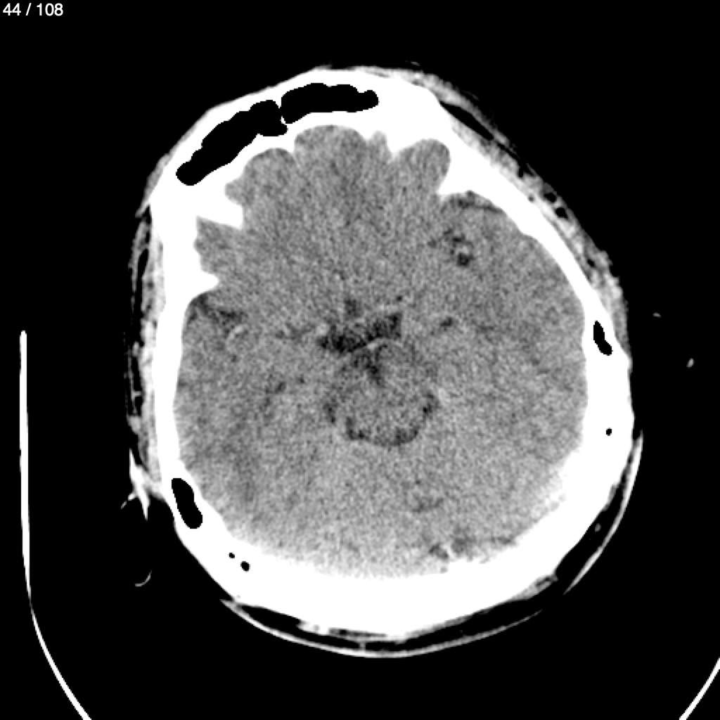
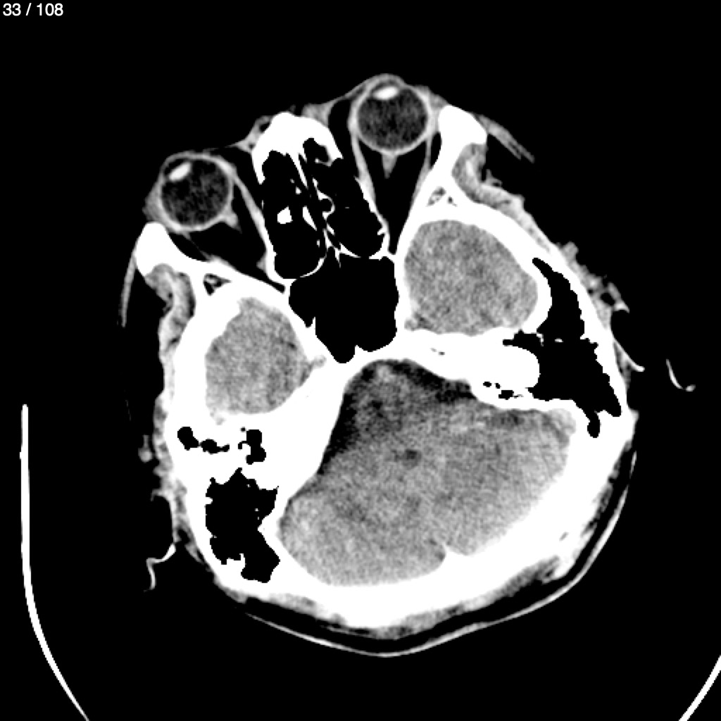
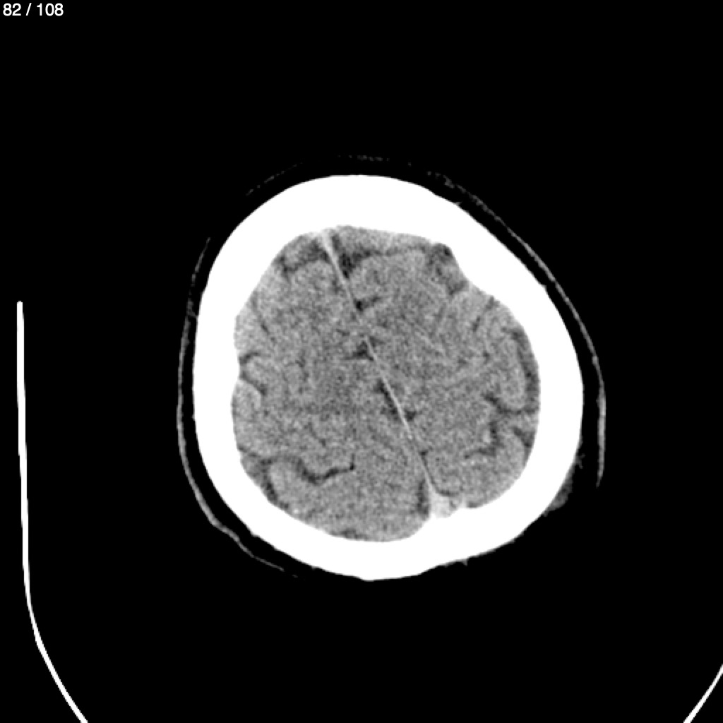
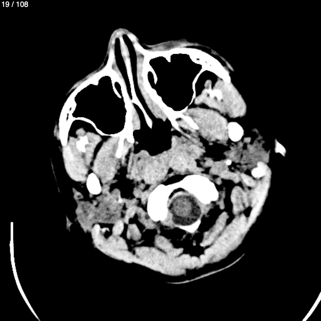
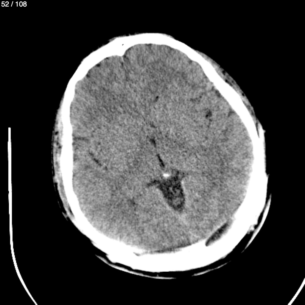
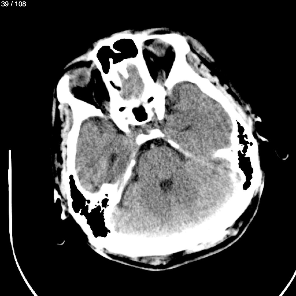
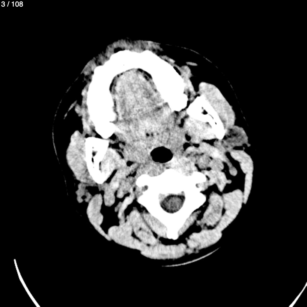
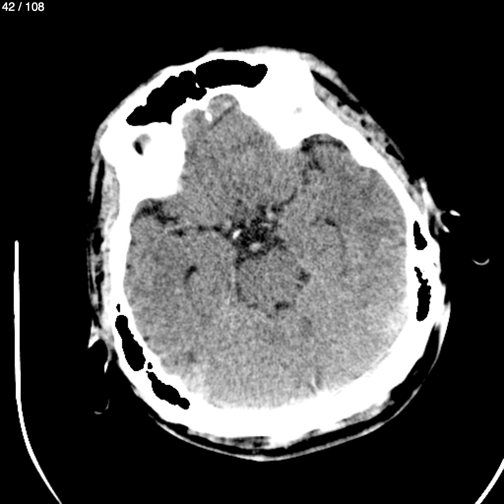
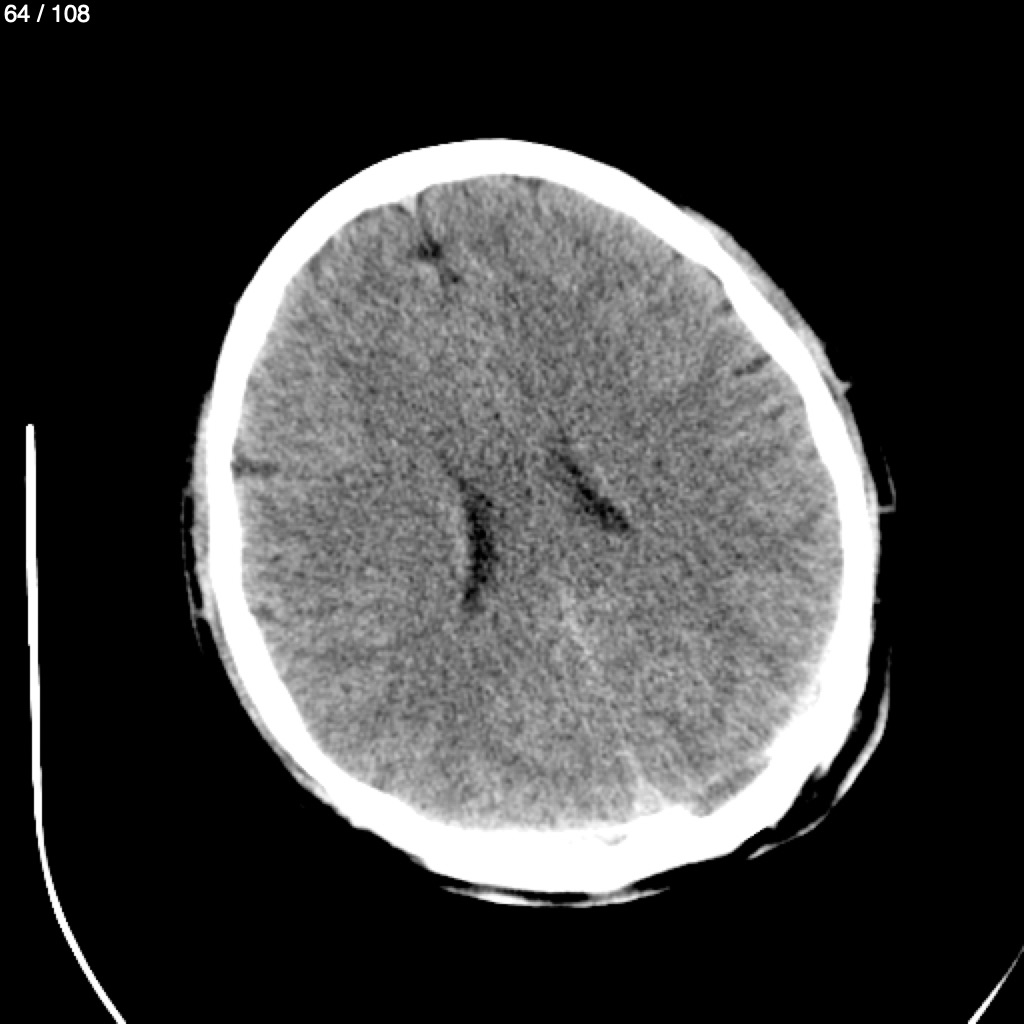
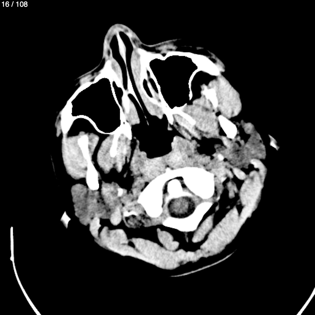
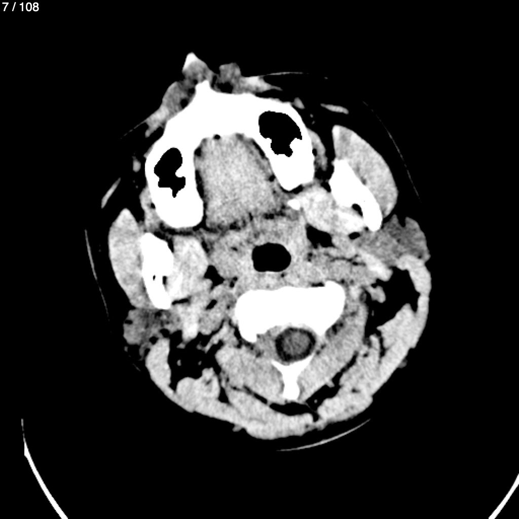
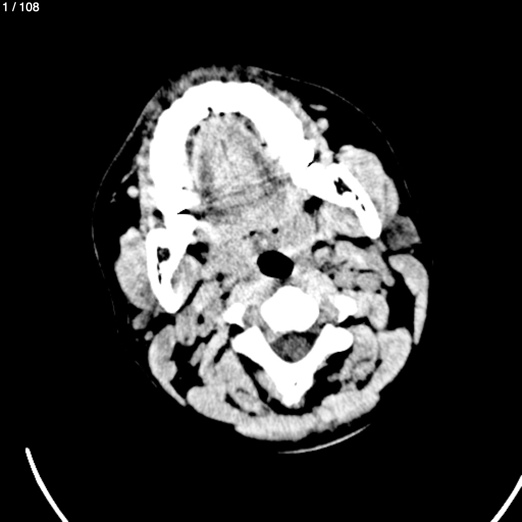
Bryan Alexandro Ramirez Lopez - Cabeza Simple_Craneo (Adulto)
Next Series
Show as Sequence