HUIXTLA
ESCUINTLA
AKISHINO
AKISHINO2 USG
ESPECIALIDADES
Home
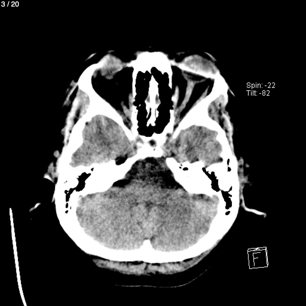
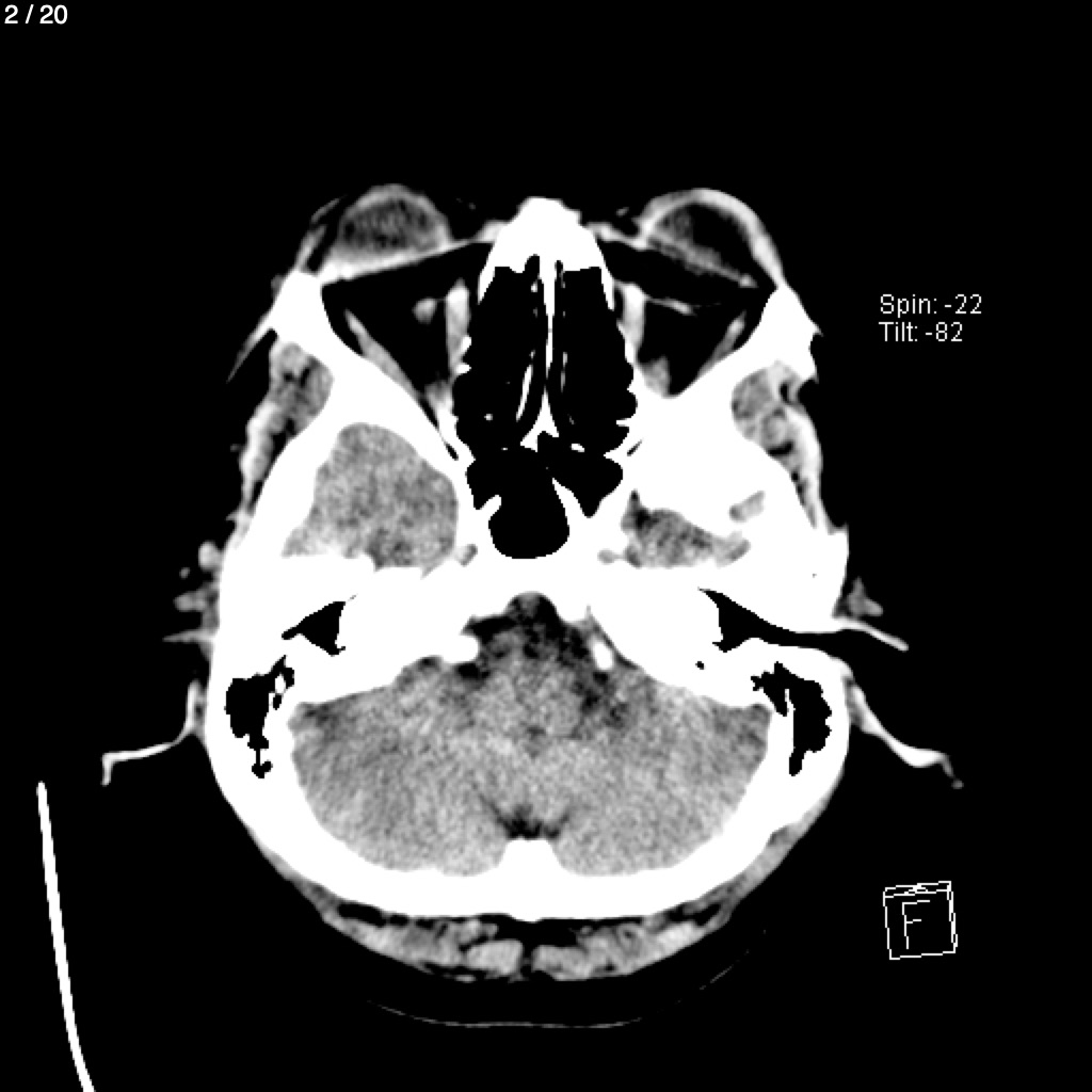
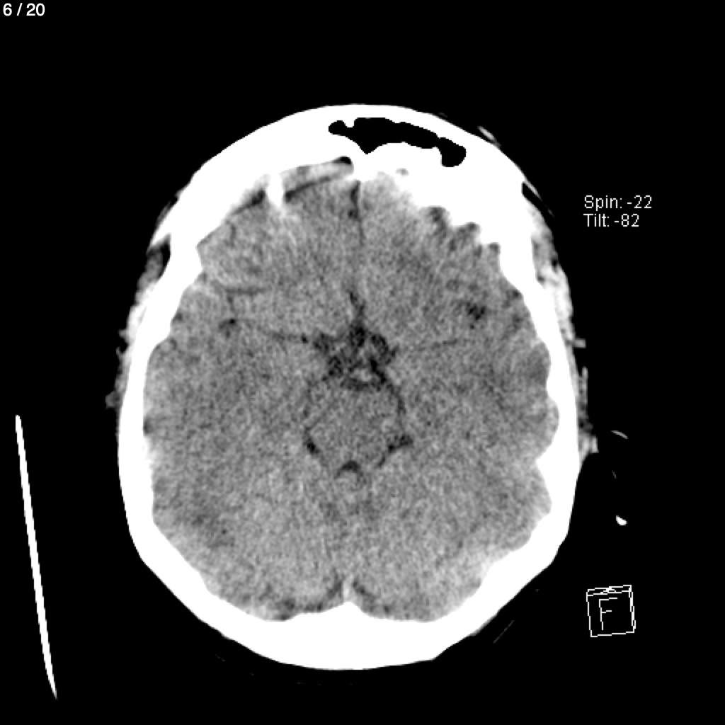
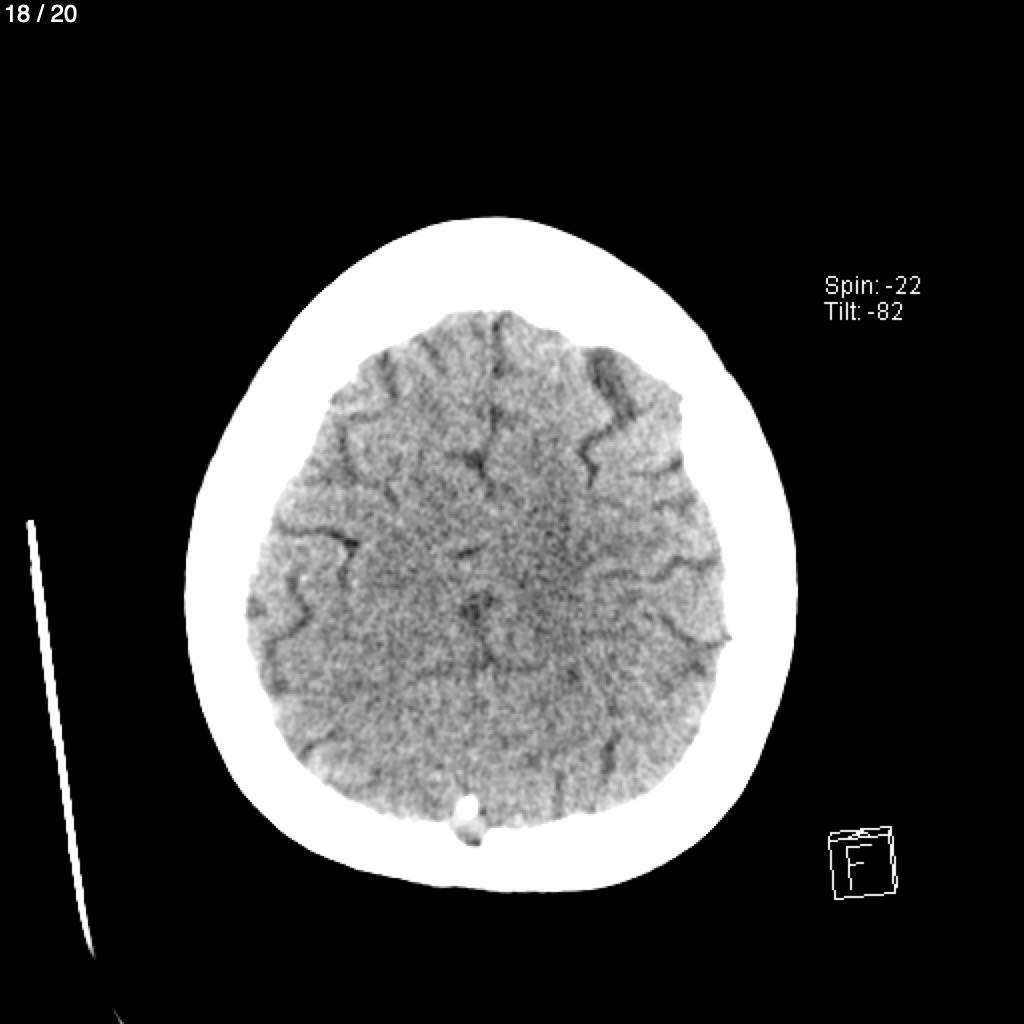
Magali Brindis De Los Santos - Cabeza Simple_Craneo (Adulto)
Previous Series
Next Series
Show as Sequence