HUIXTLA
ESCUINTLA
AKISHINO
AKISHINO2 USG
ESPECIALIDADES
Home
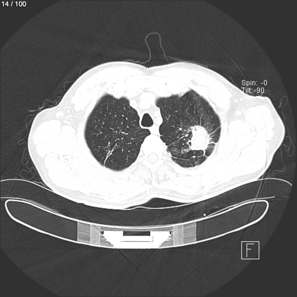
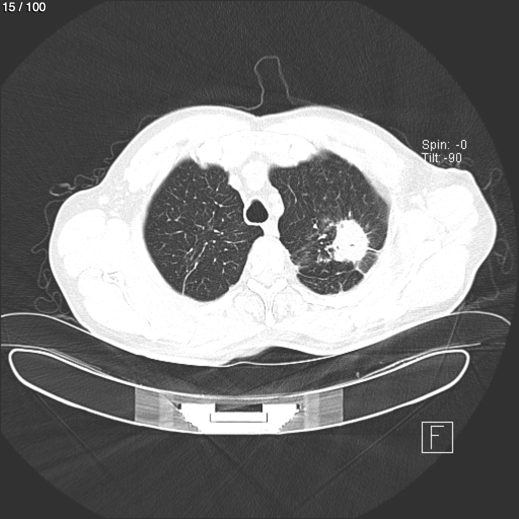
Abenamar Flor Roblero Morales - Tórax Torax_Simple (Adulto)
Previous Series
Next Series
Show as Sequence