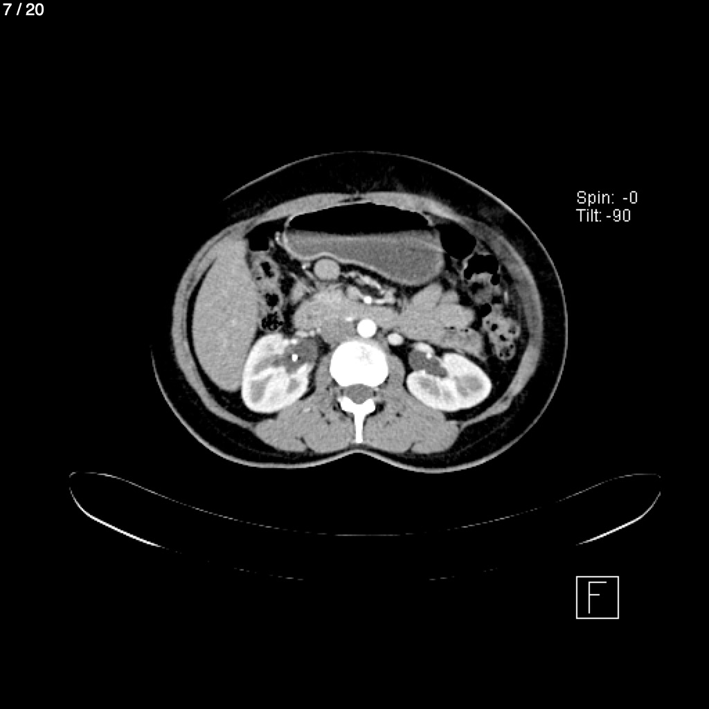
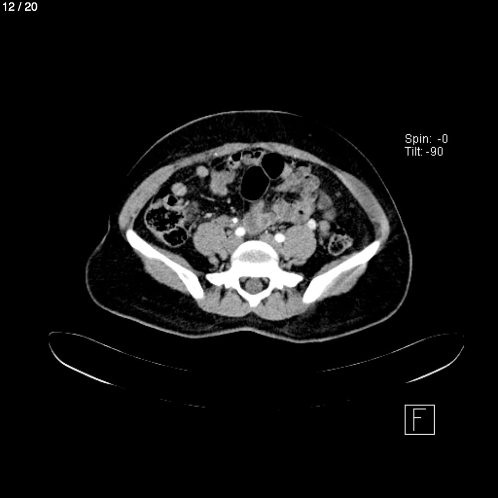
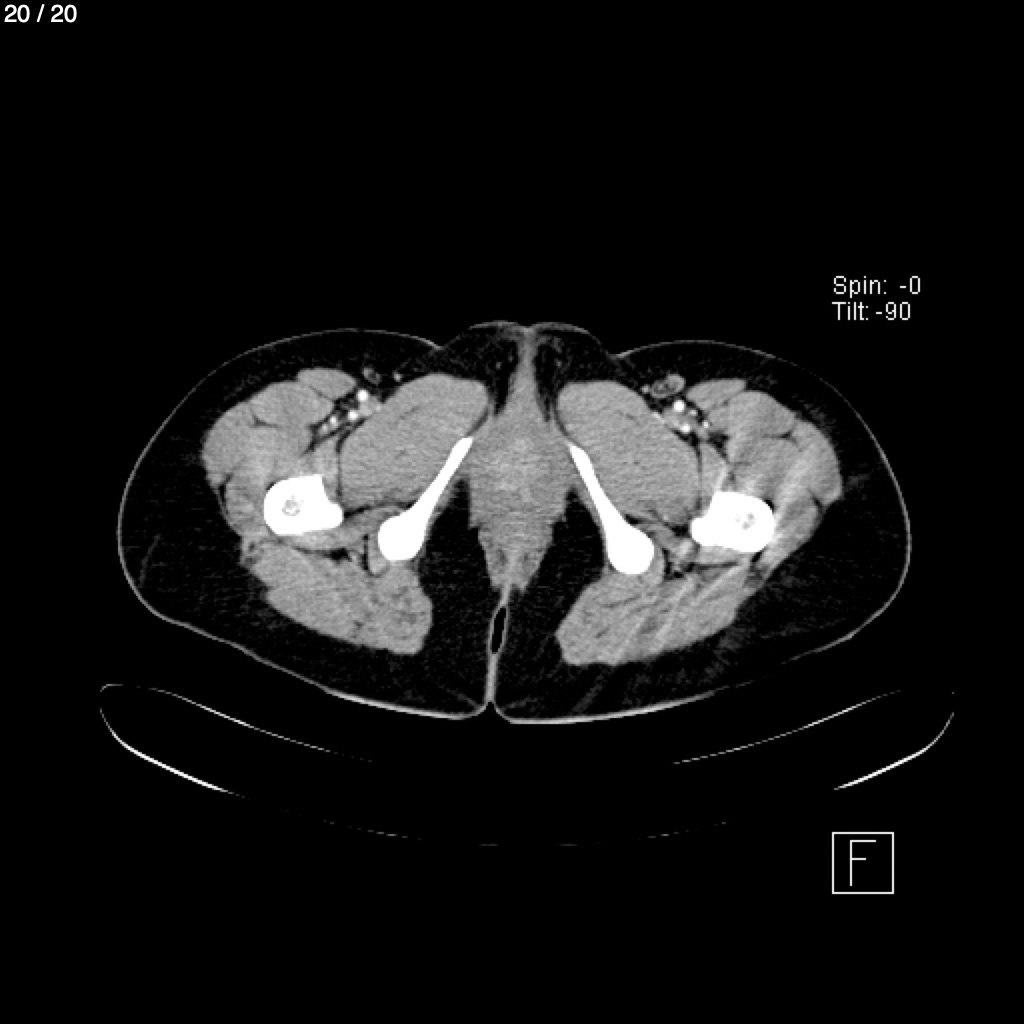
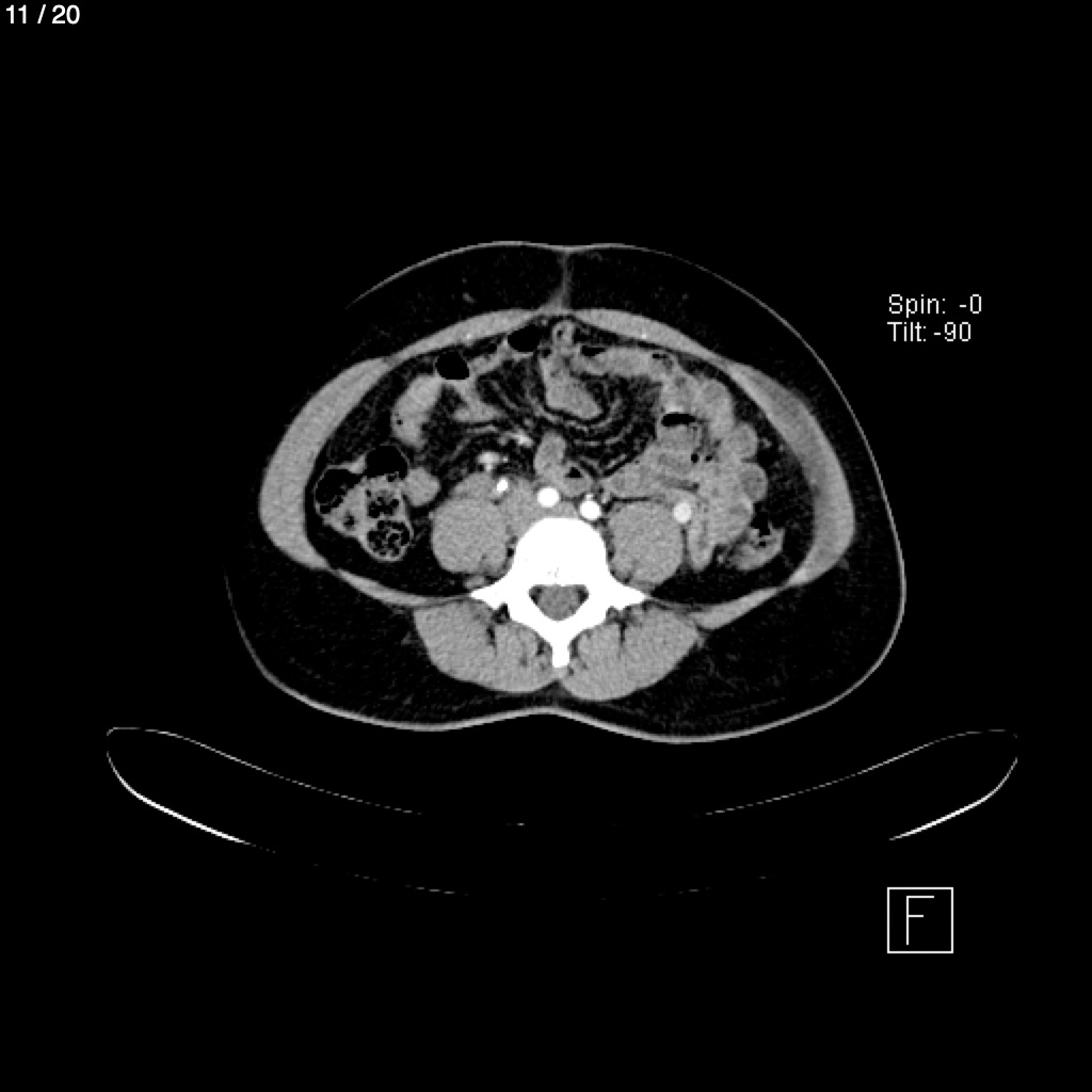
Home B​l​a​n​c​a​ ​N​a​y​e​l​i​ ​V​i​l​l​a​t​o​r​o​ ​C​a​c​e​r​e​s​ ​-​ ​A​b​d​o​m​e​n​ ​U​r​o​t​a​c​ ​(​A​d​u​l​t​o​)