HUIXTLA
ESCUINTLA
AKISHINO
AKISHINO2 USG
ESPECIALIDADES
Home
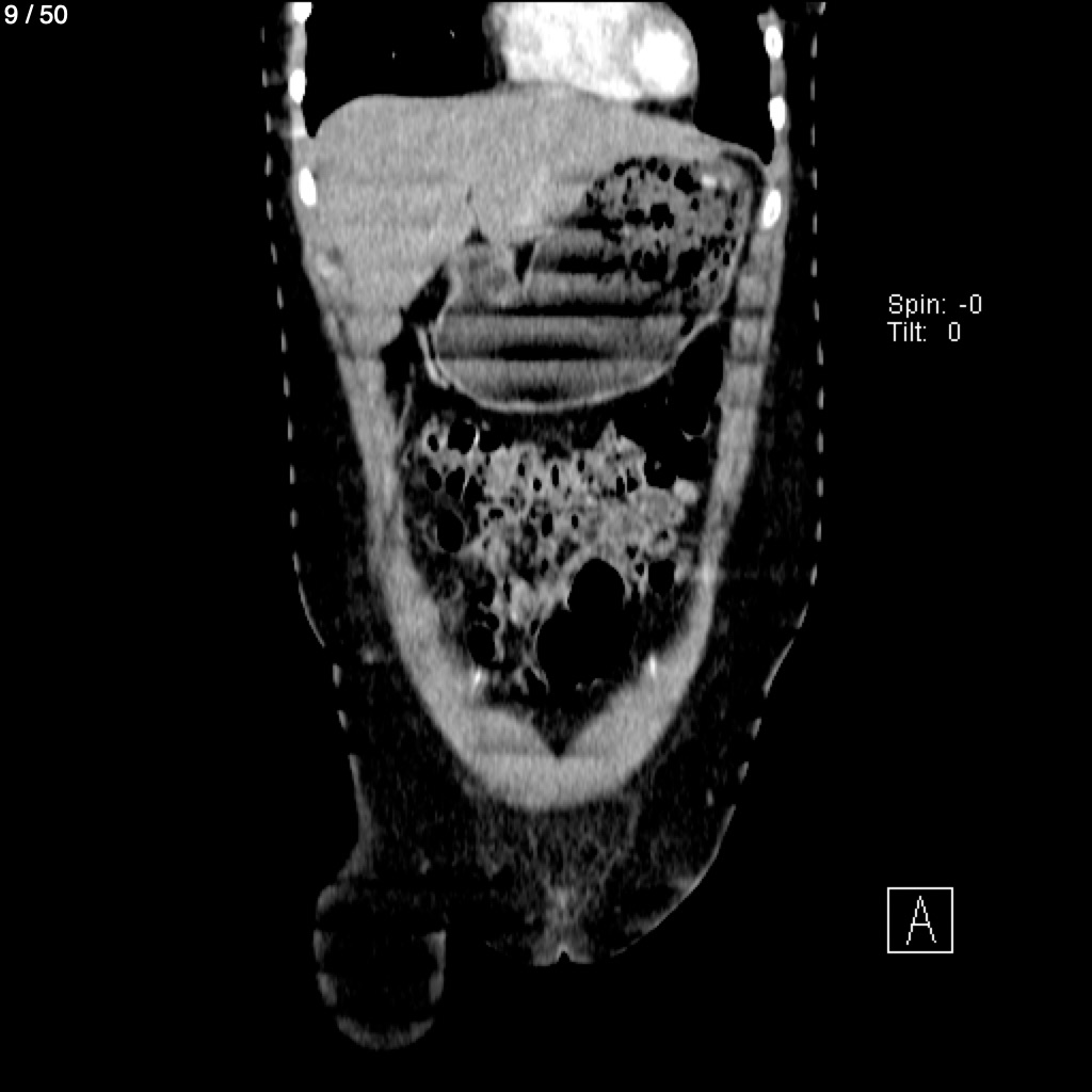
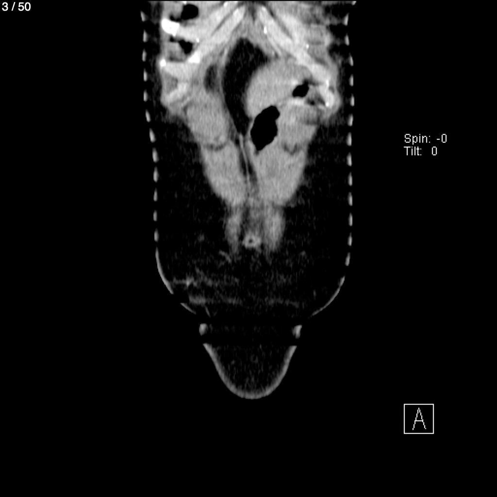
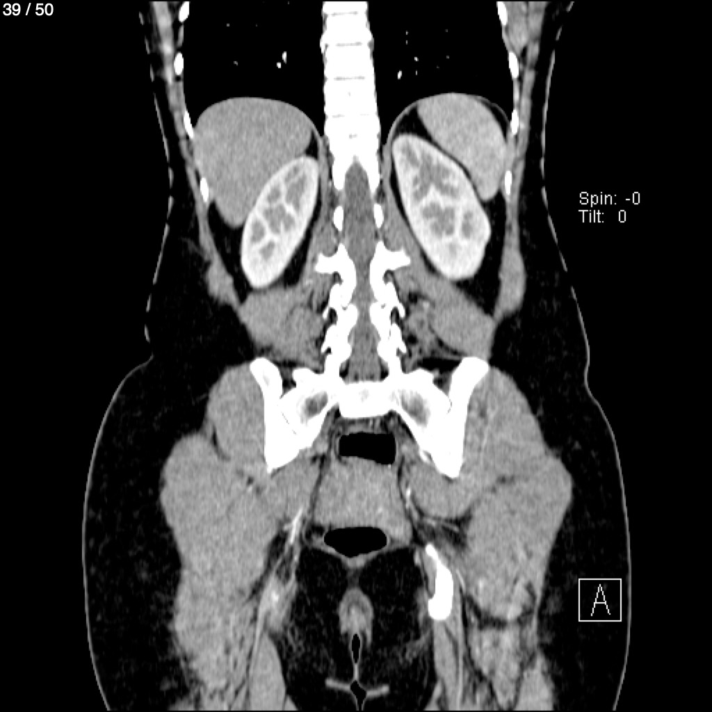
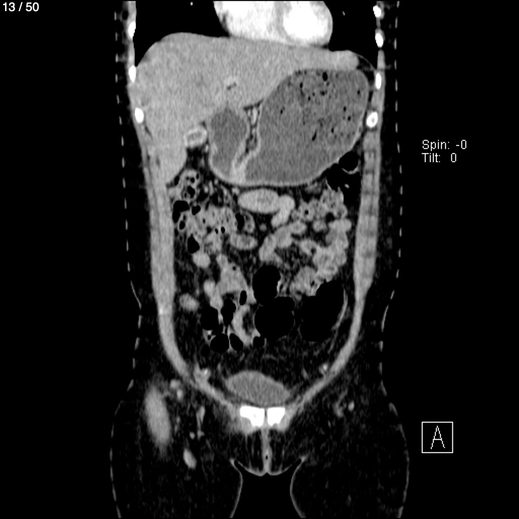
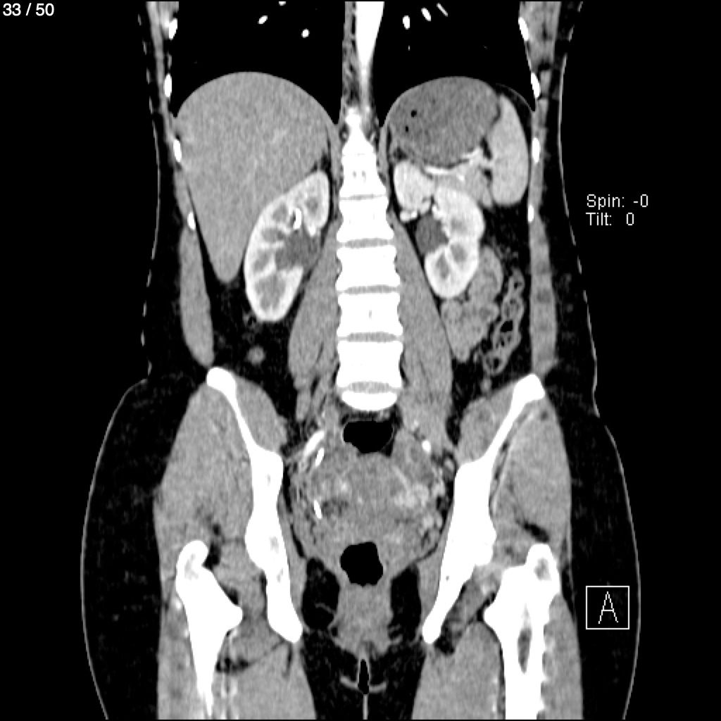
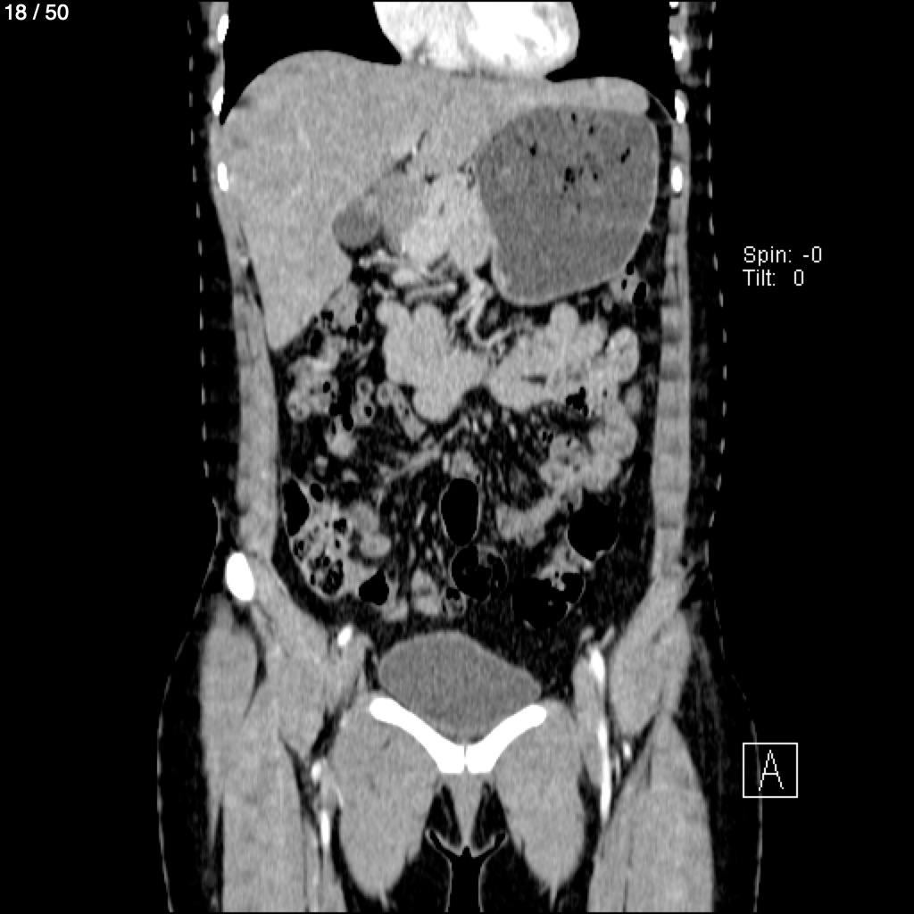
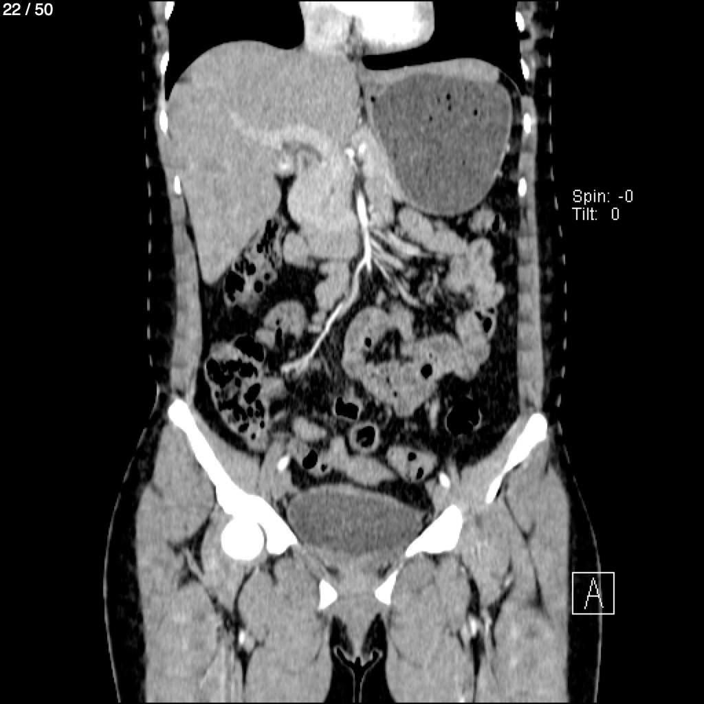
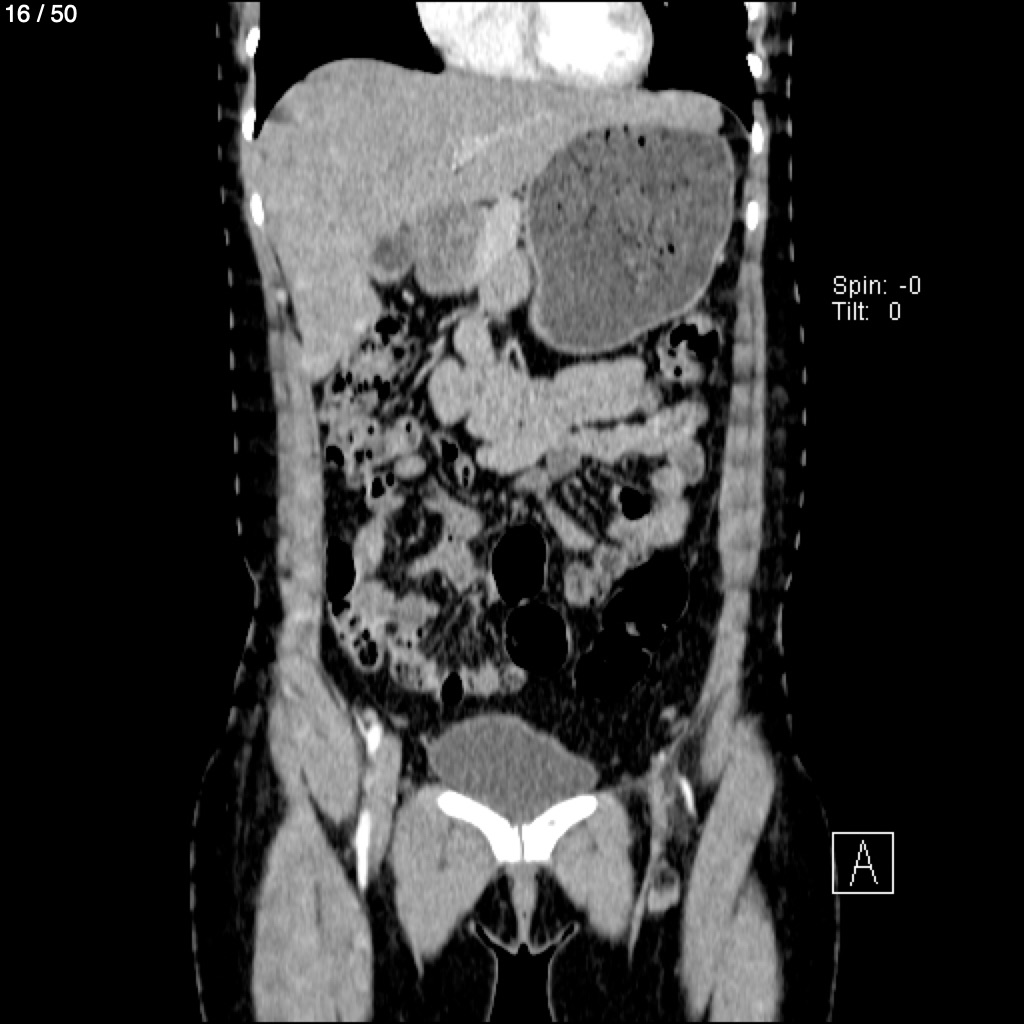
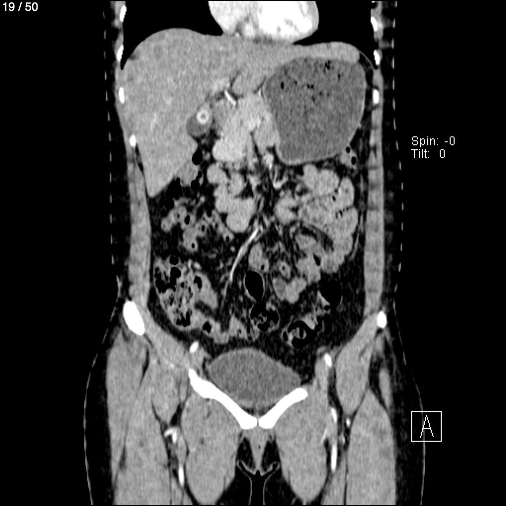
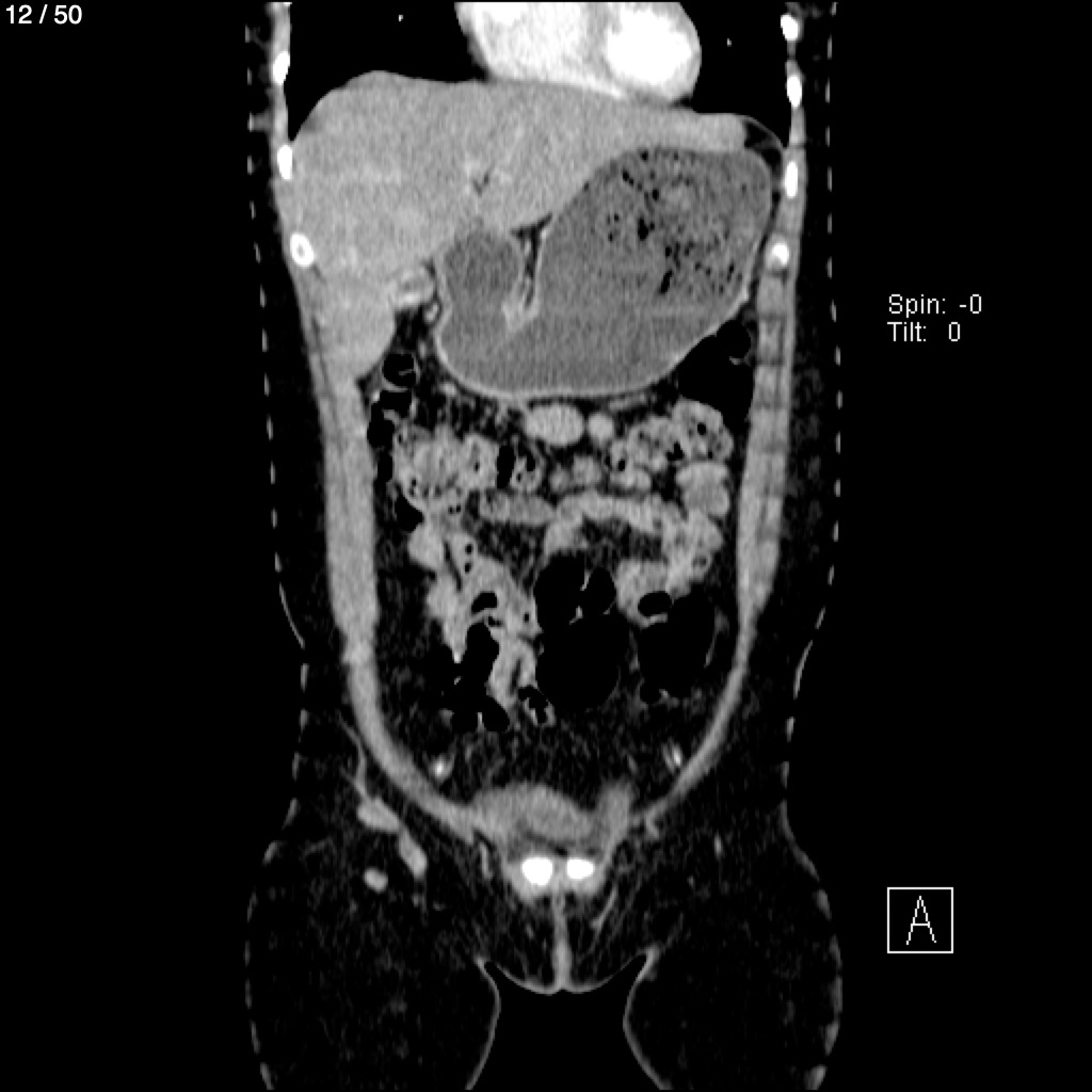
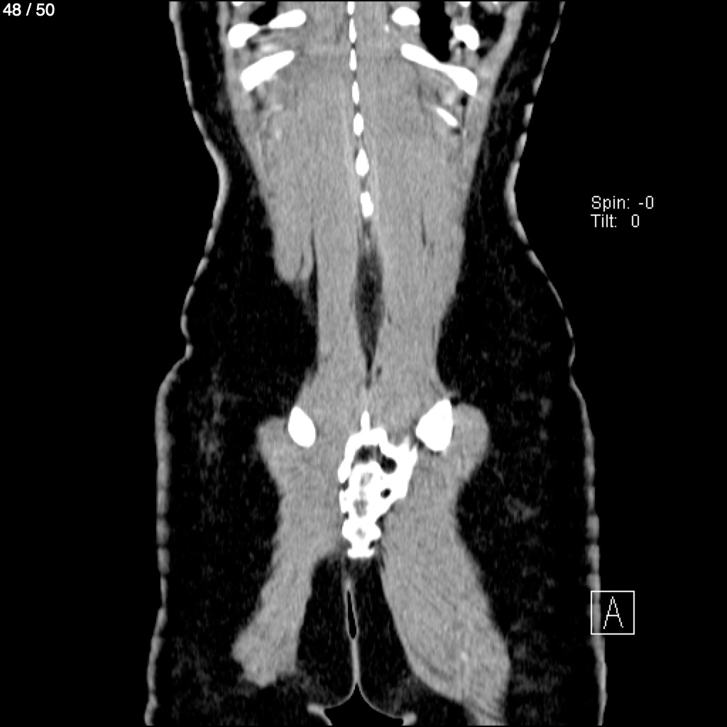
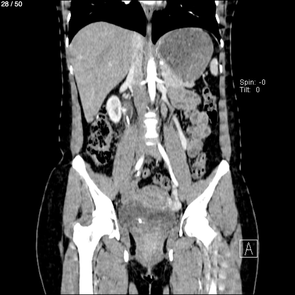
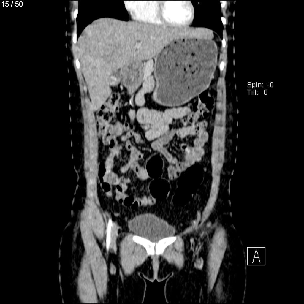
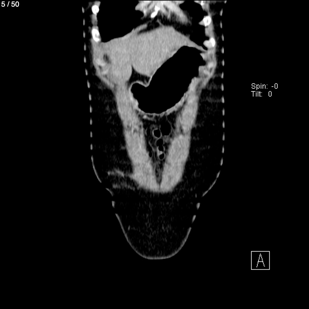
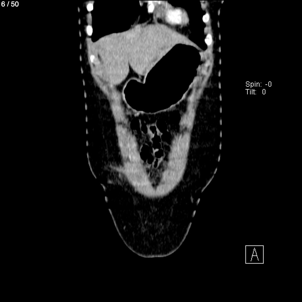
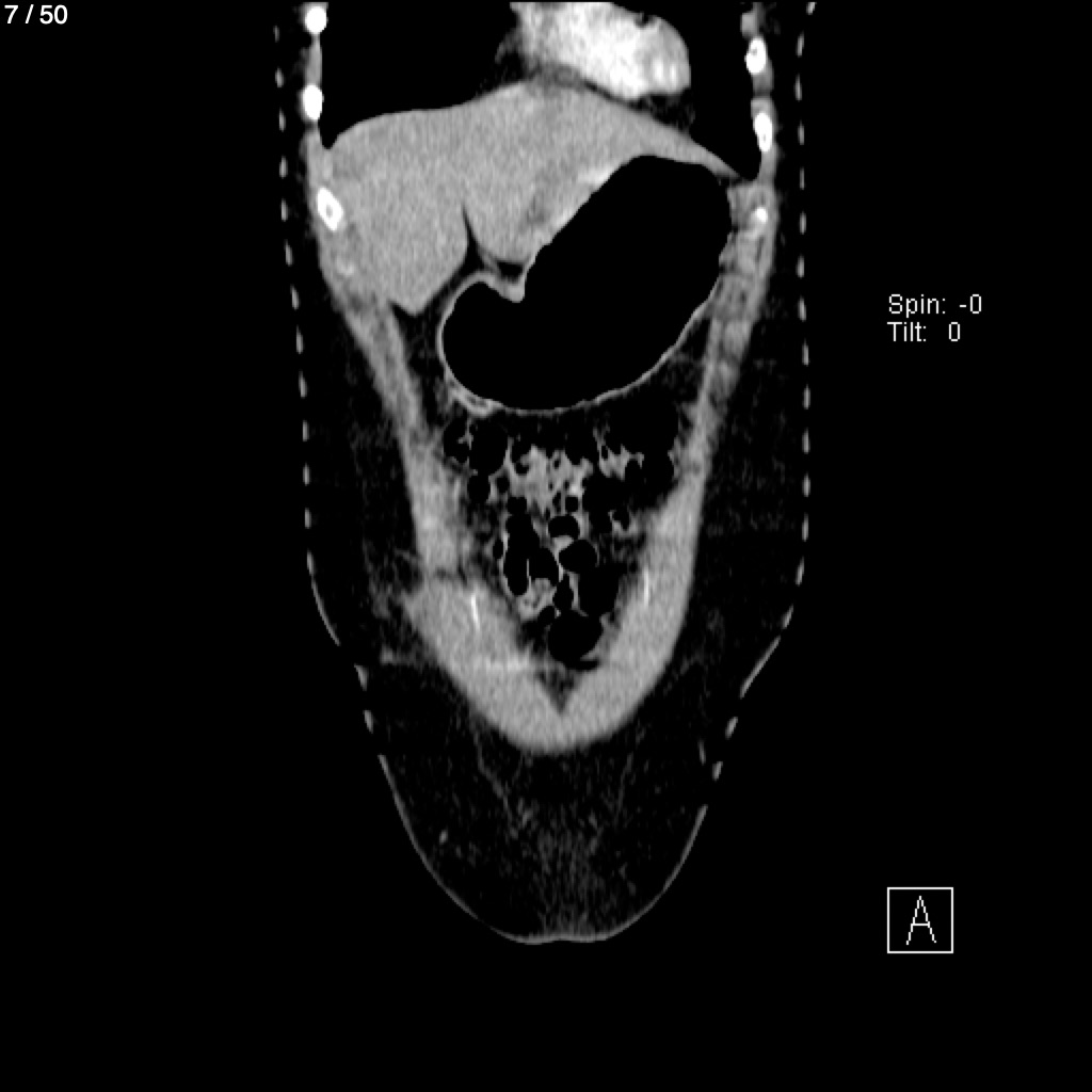
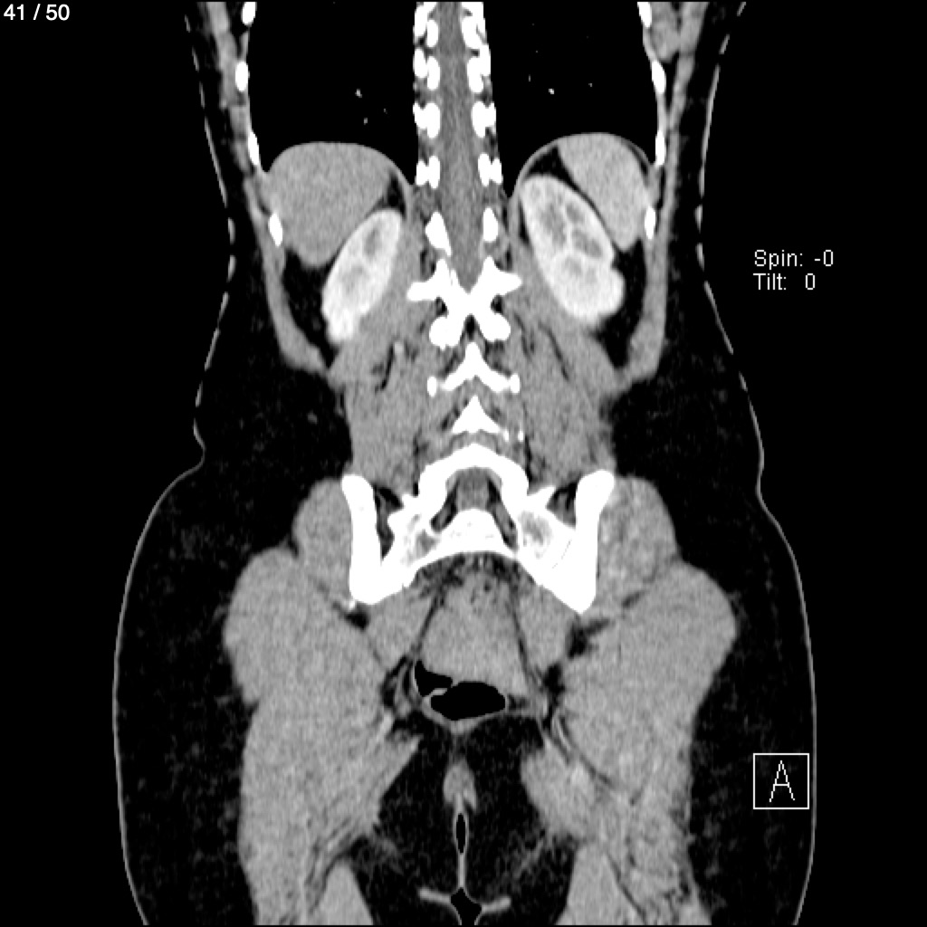
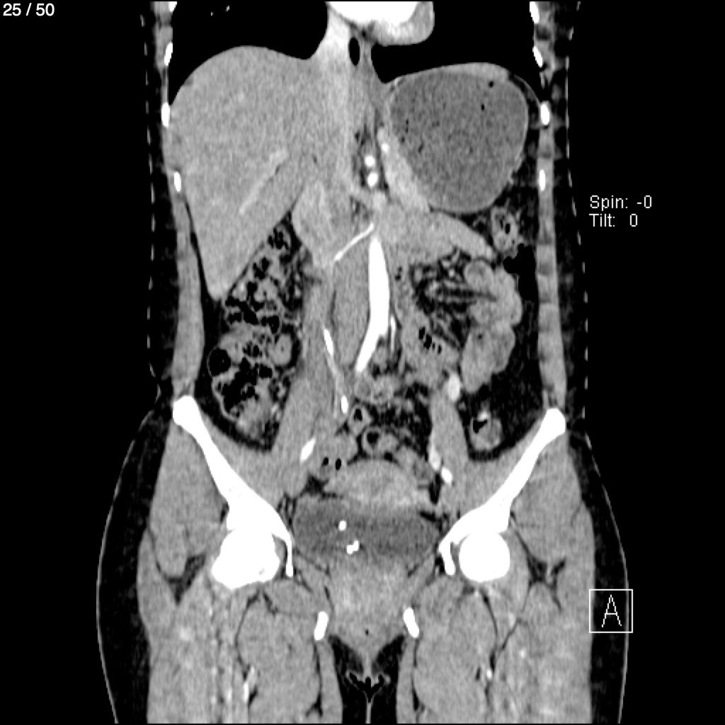
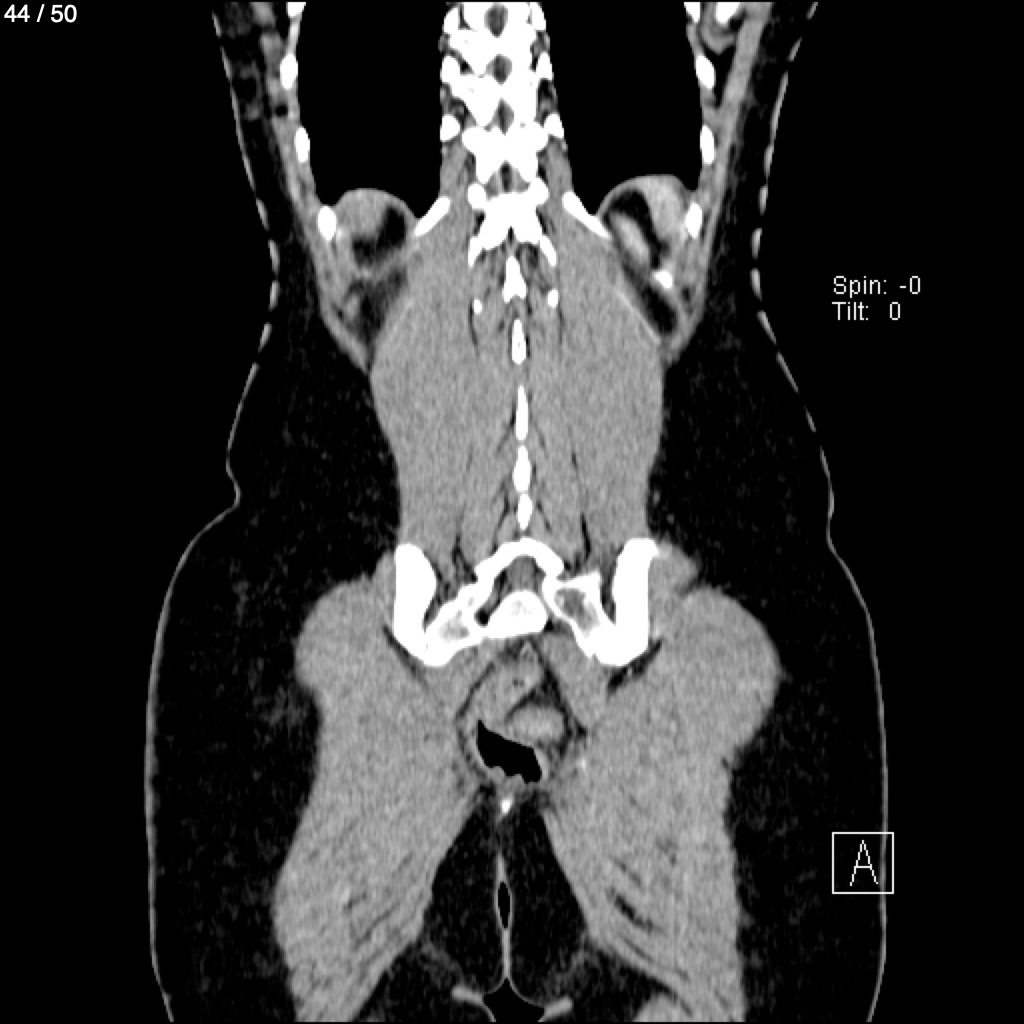
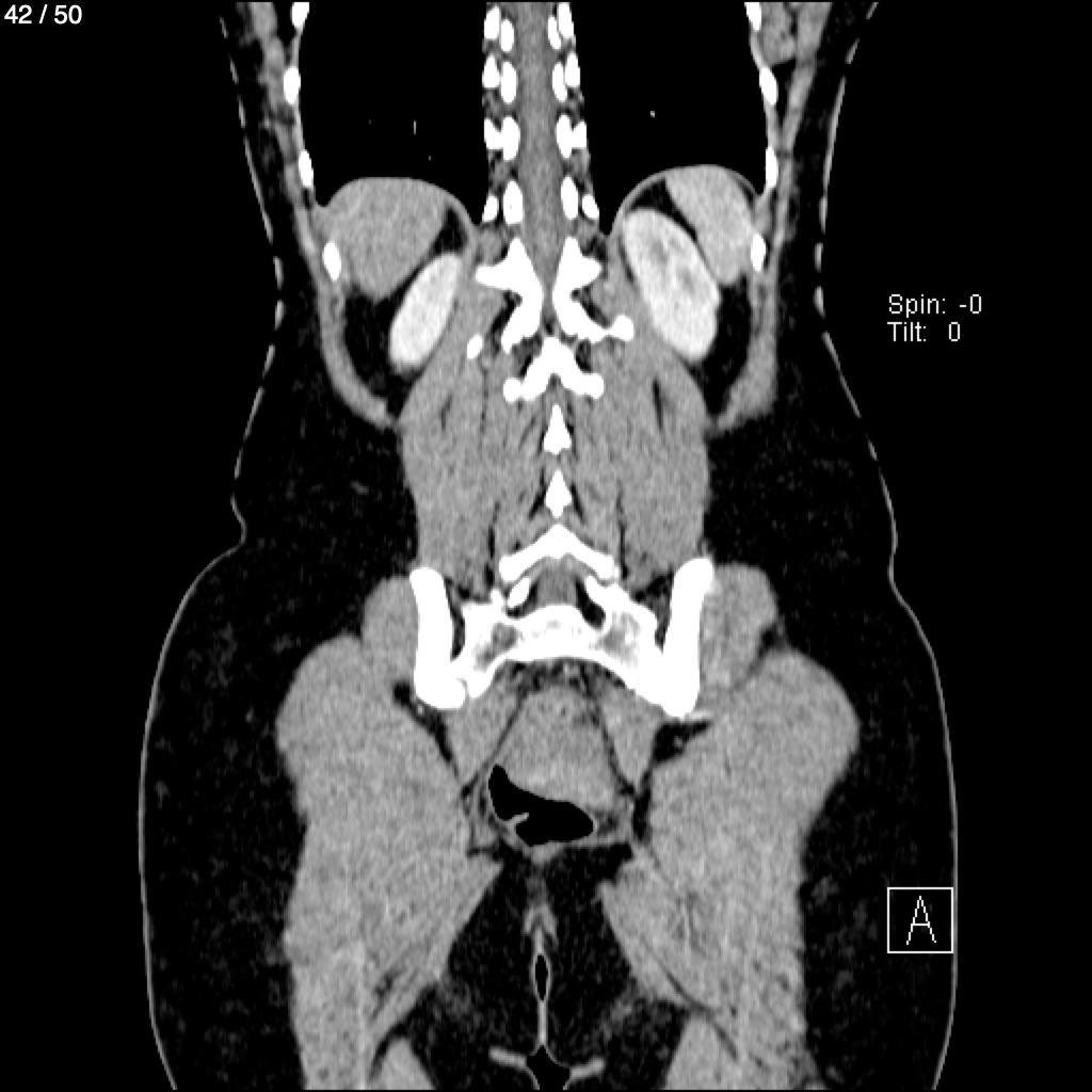
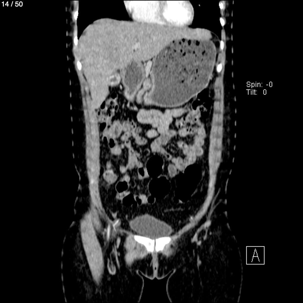
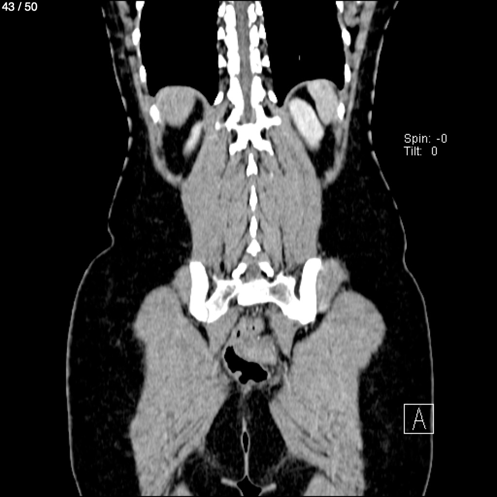
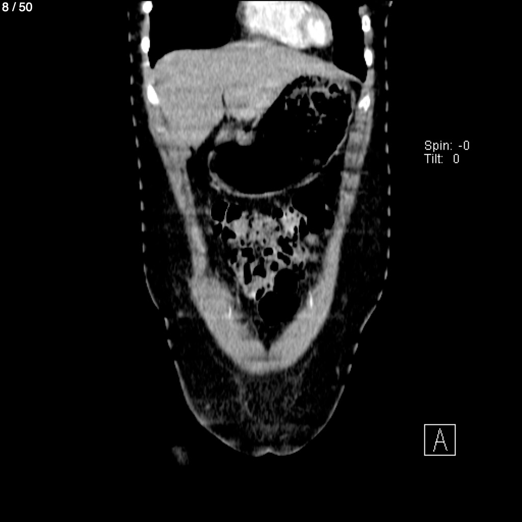
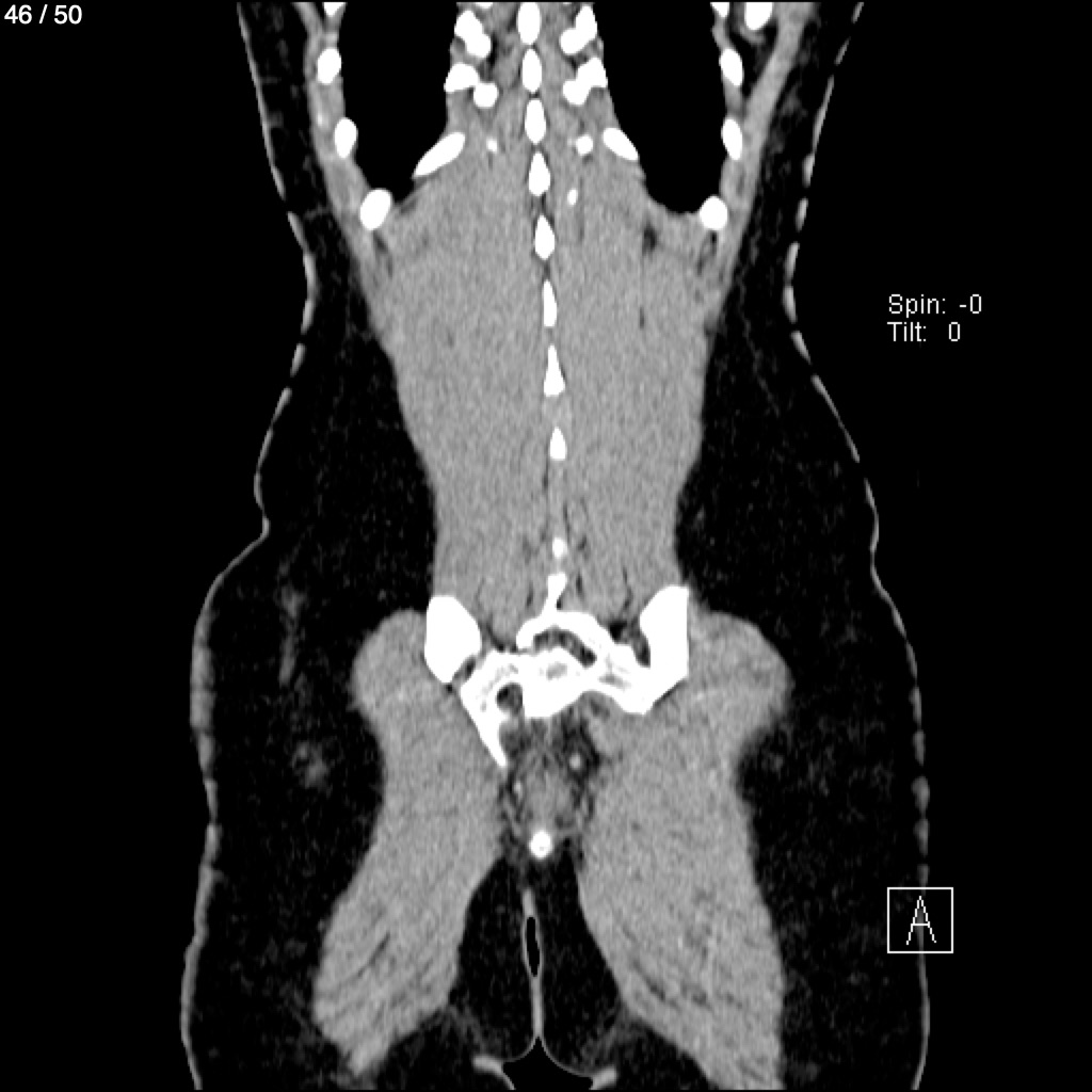
Blanca Nayeli Villatoro Caceres - Abdomen Urotac (Adulto)
Previous Series
Next Series
Show as Sequence