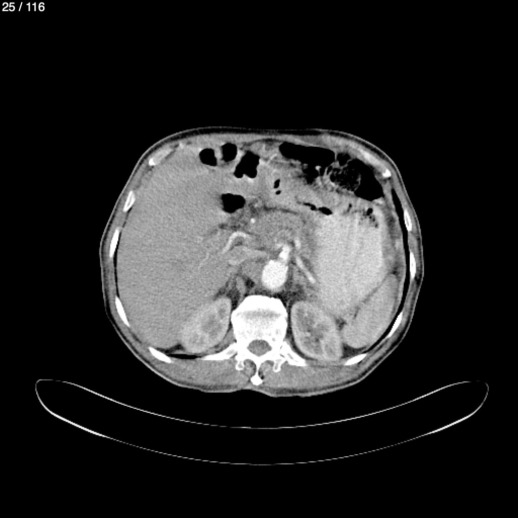
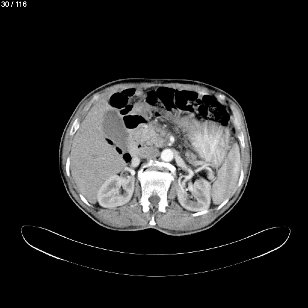
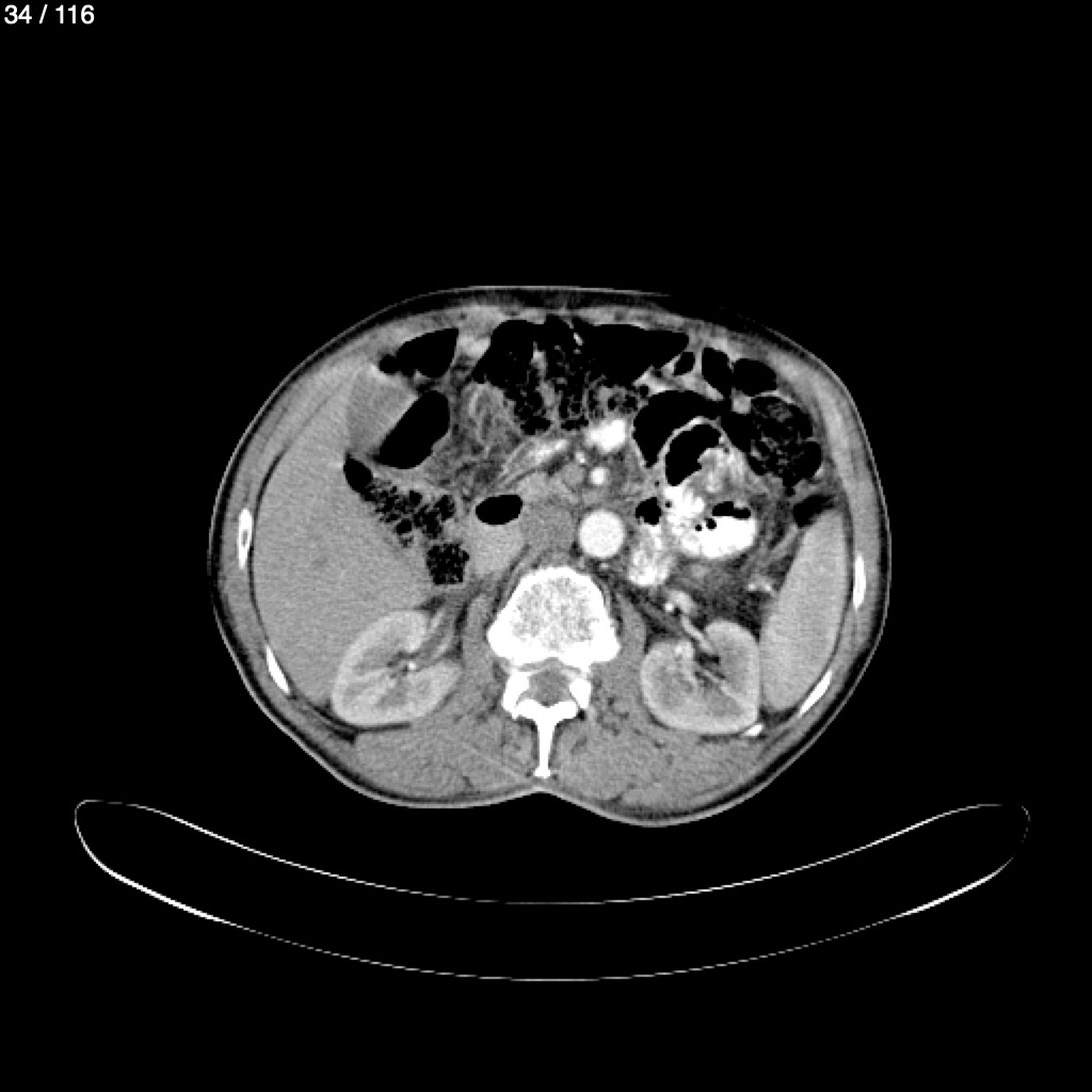
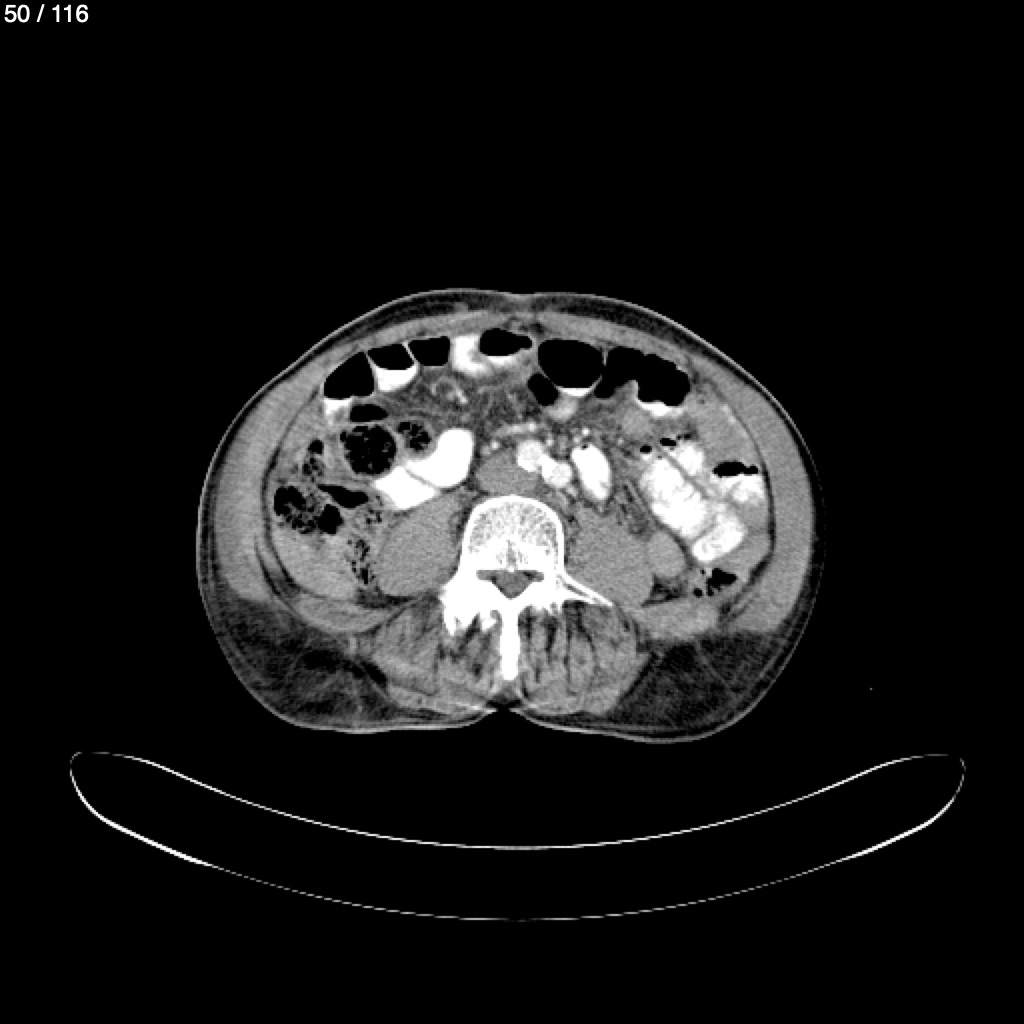
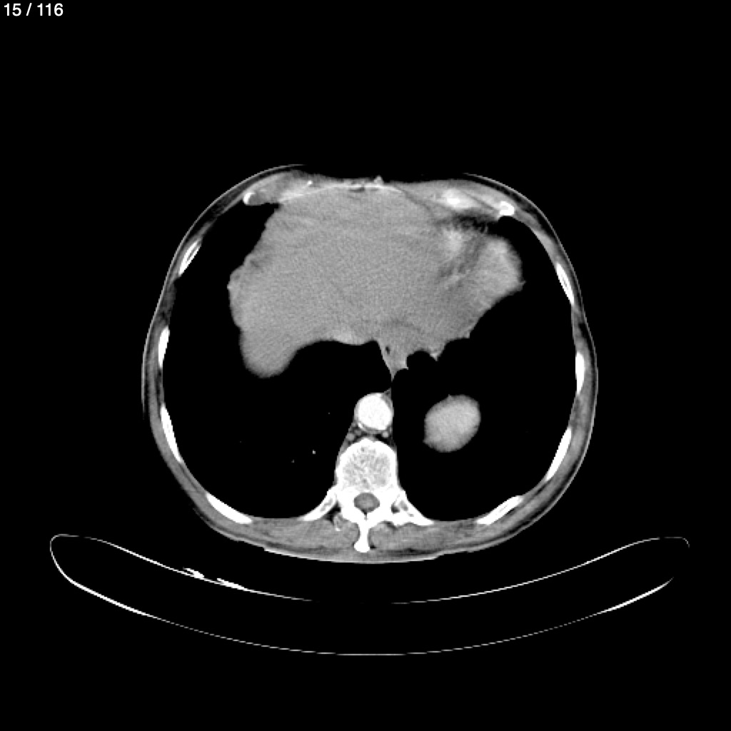
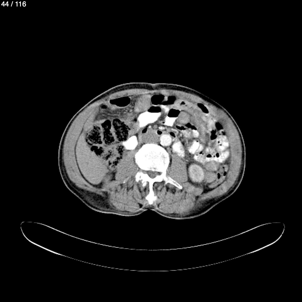
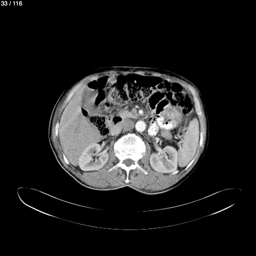
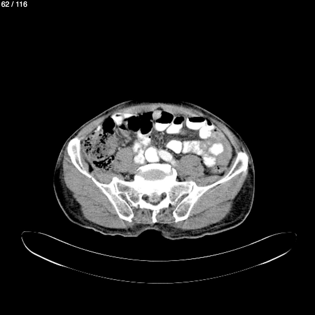
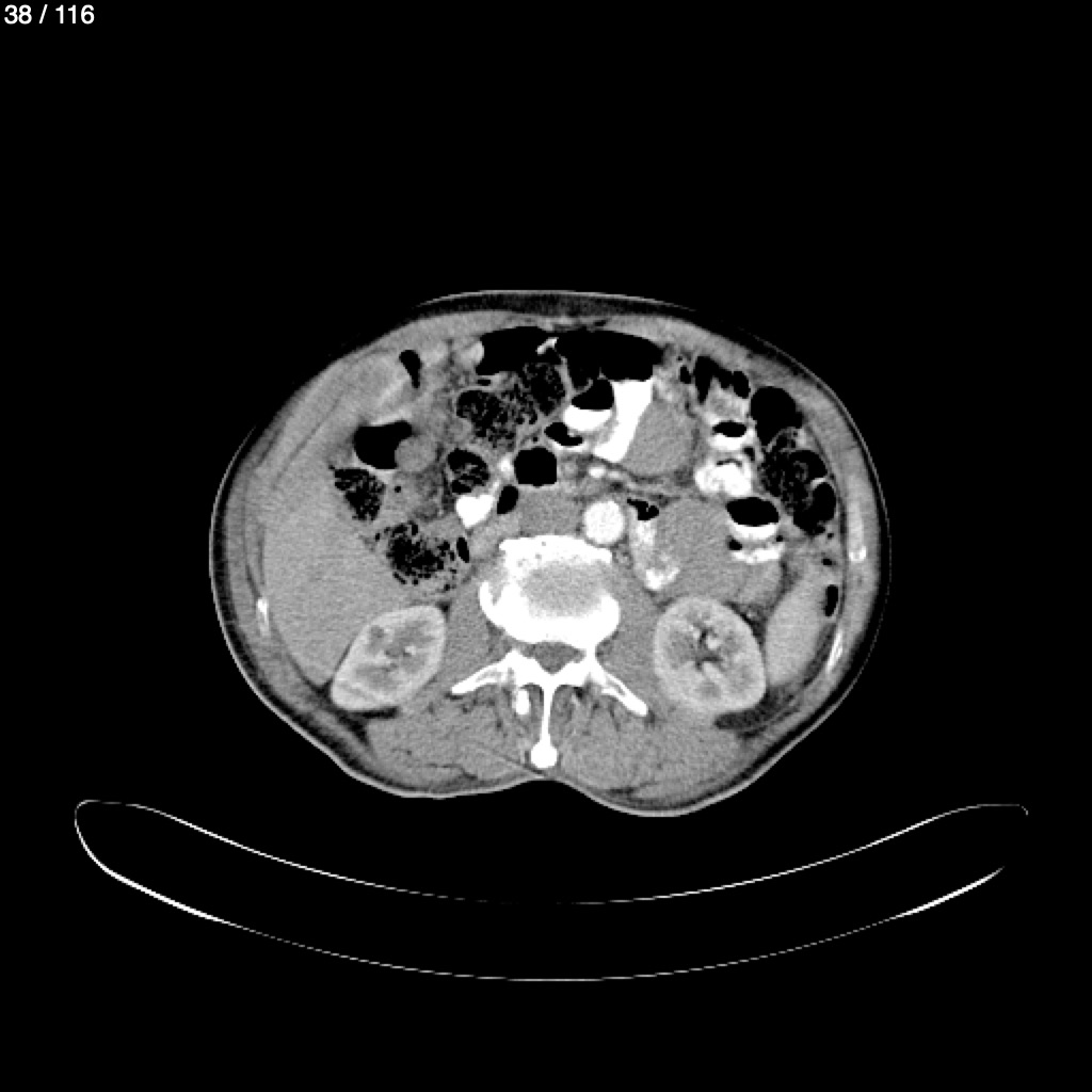
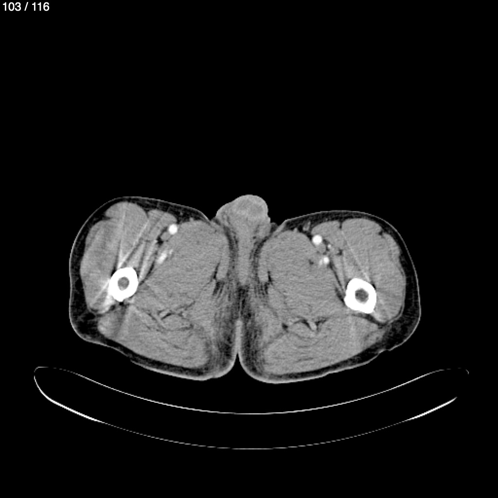
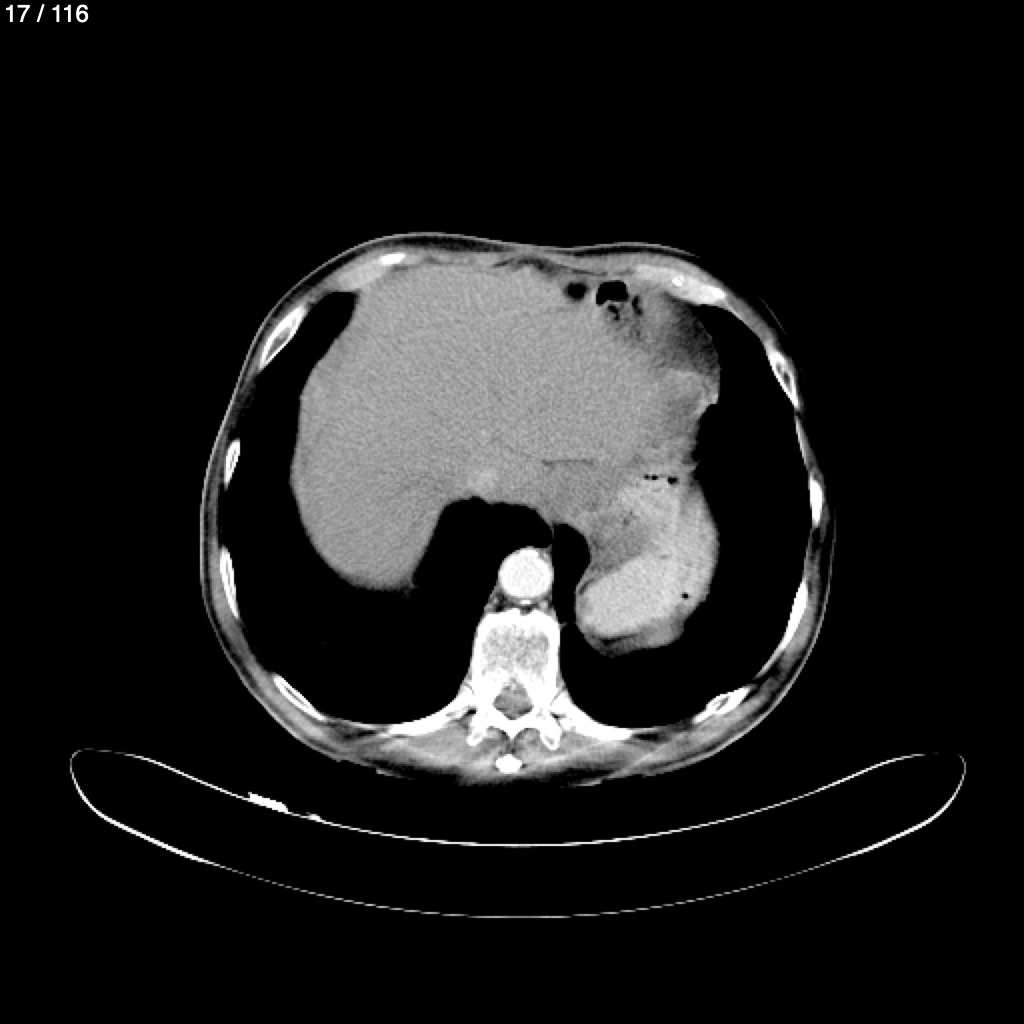
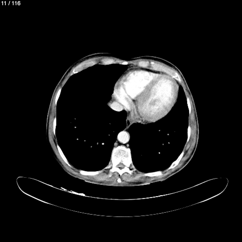
Home E​l​p​i​d​i​o​ ​R​a​m​i​r​e​z​ ​M​e​n​d​e​z​ ​-​ ​A​b​d​o​m​e​n​ ​A​b​d​o​m​e​n​_​S​y​c​ ​(​A​d​u​l​t​o​)