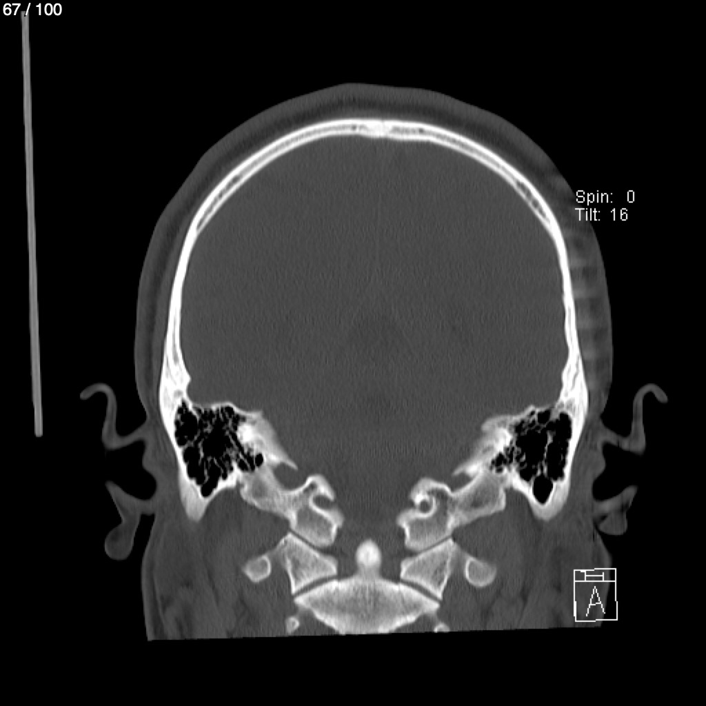
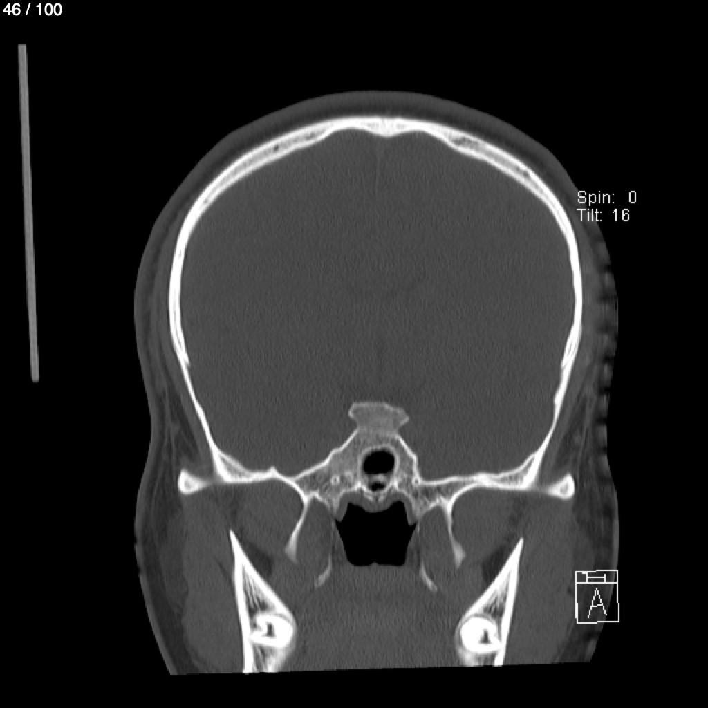
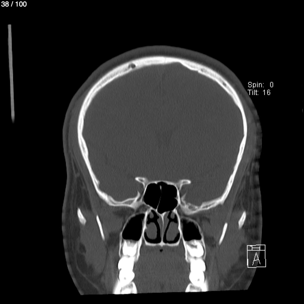
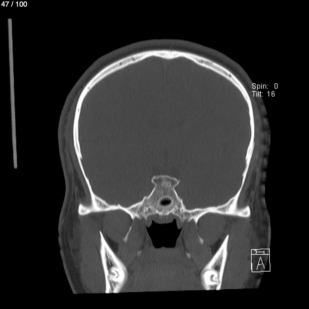
Home A​n​d​e​r​s​o​n​ ​M​a​r​r​o​q​u​i​n​ ​V​e​l​a​z​c​o​ ​-​ ​C​a​b​e​z​a​ ​S​i​m​p​l​e​_​C​r​a​n​e​o​ ​(​A​d​u​l​t​o​)