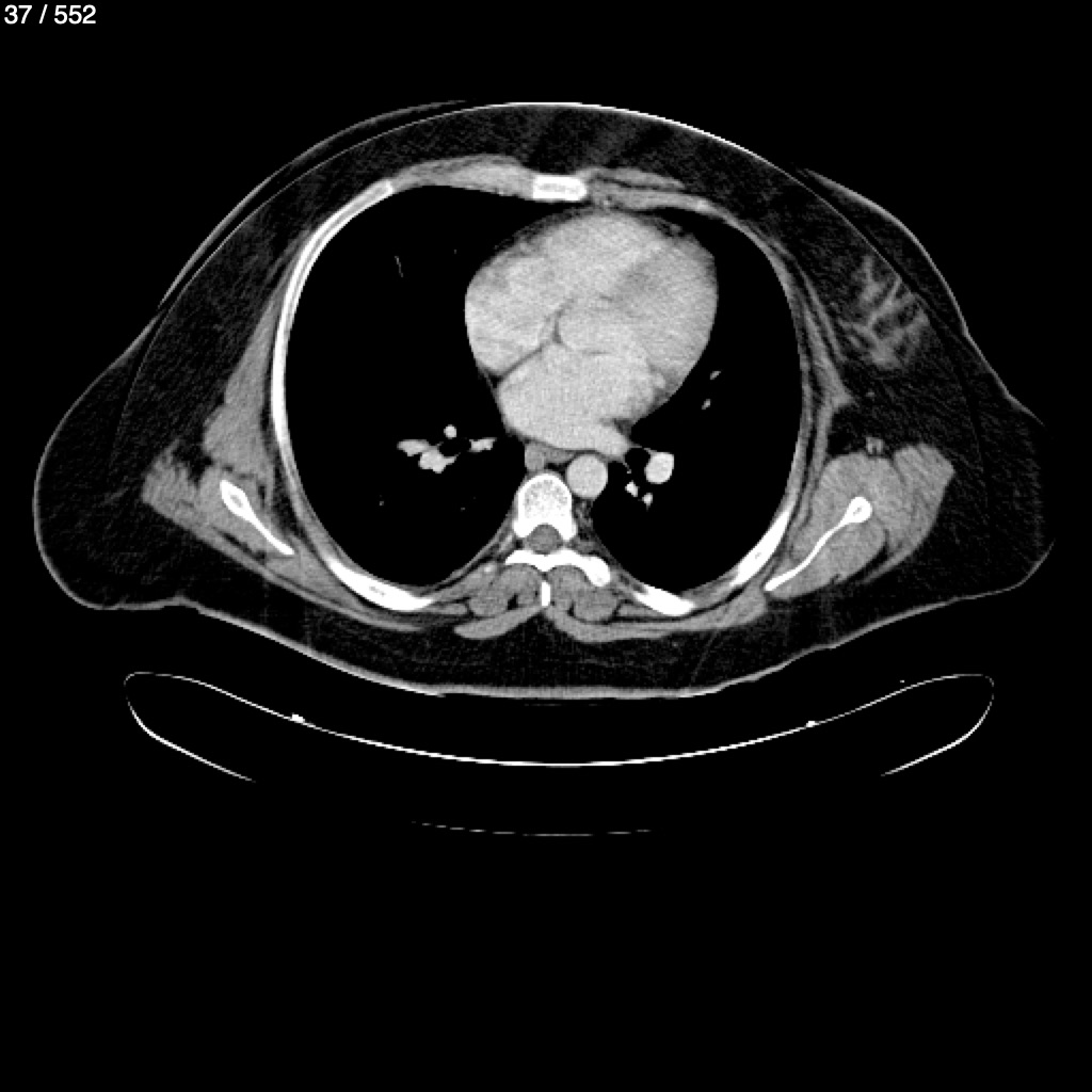
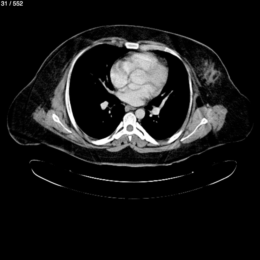
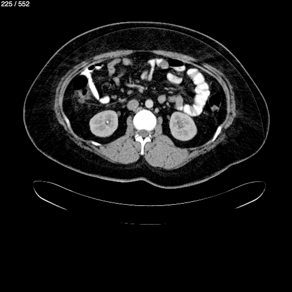
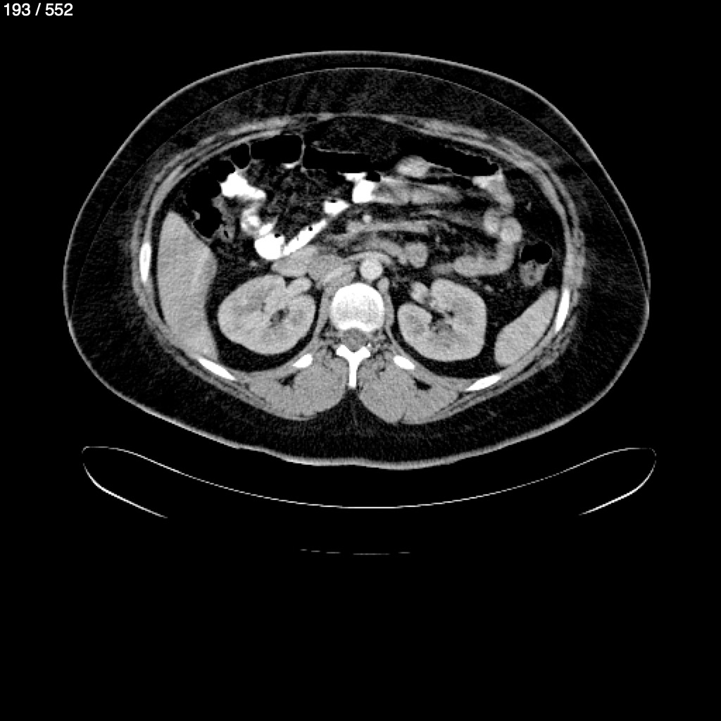
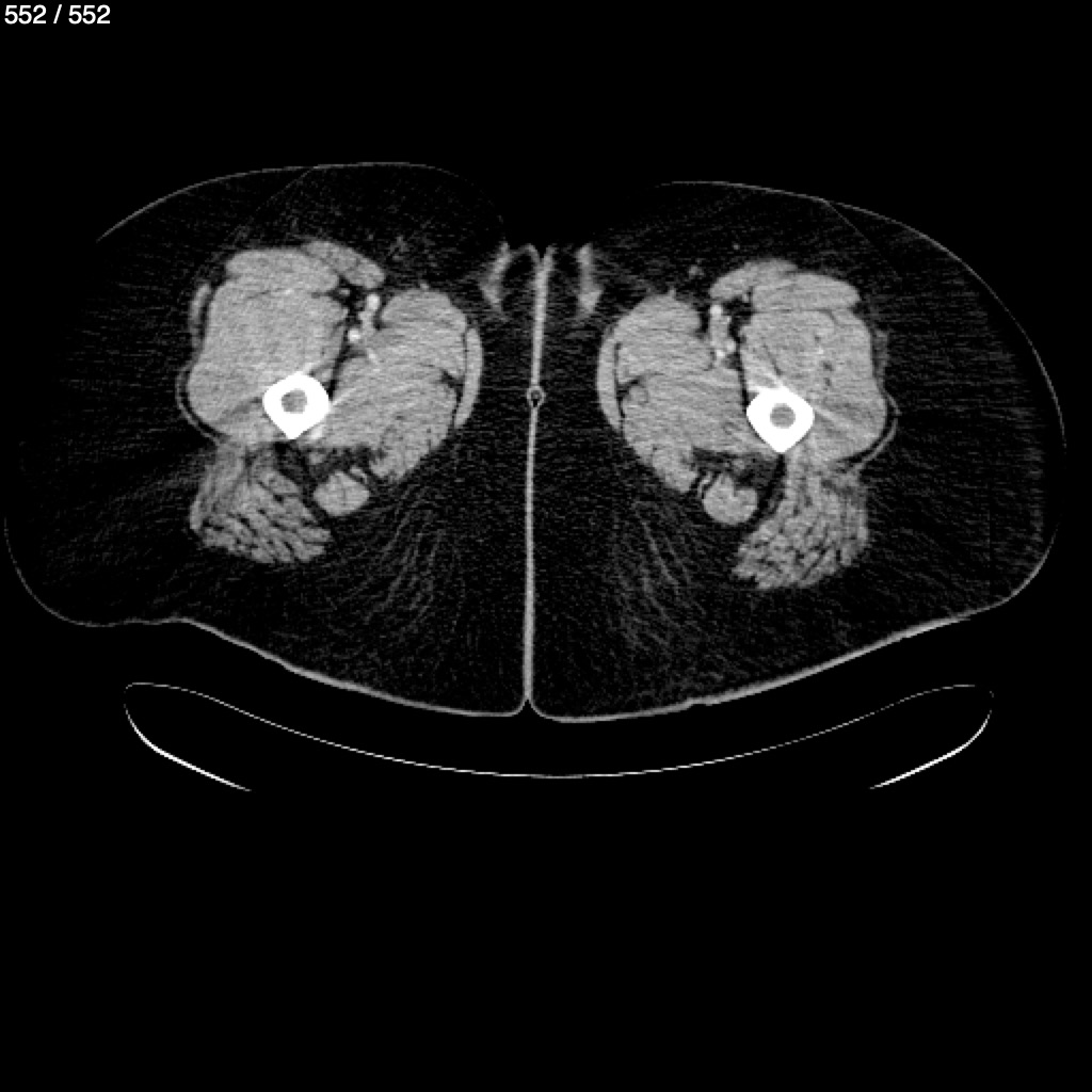
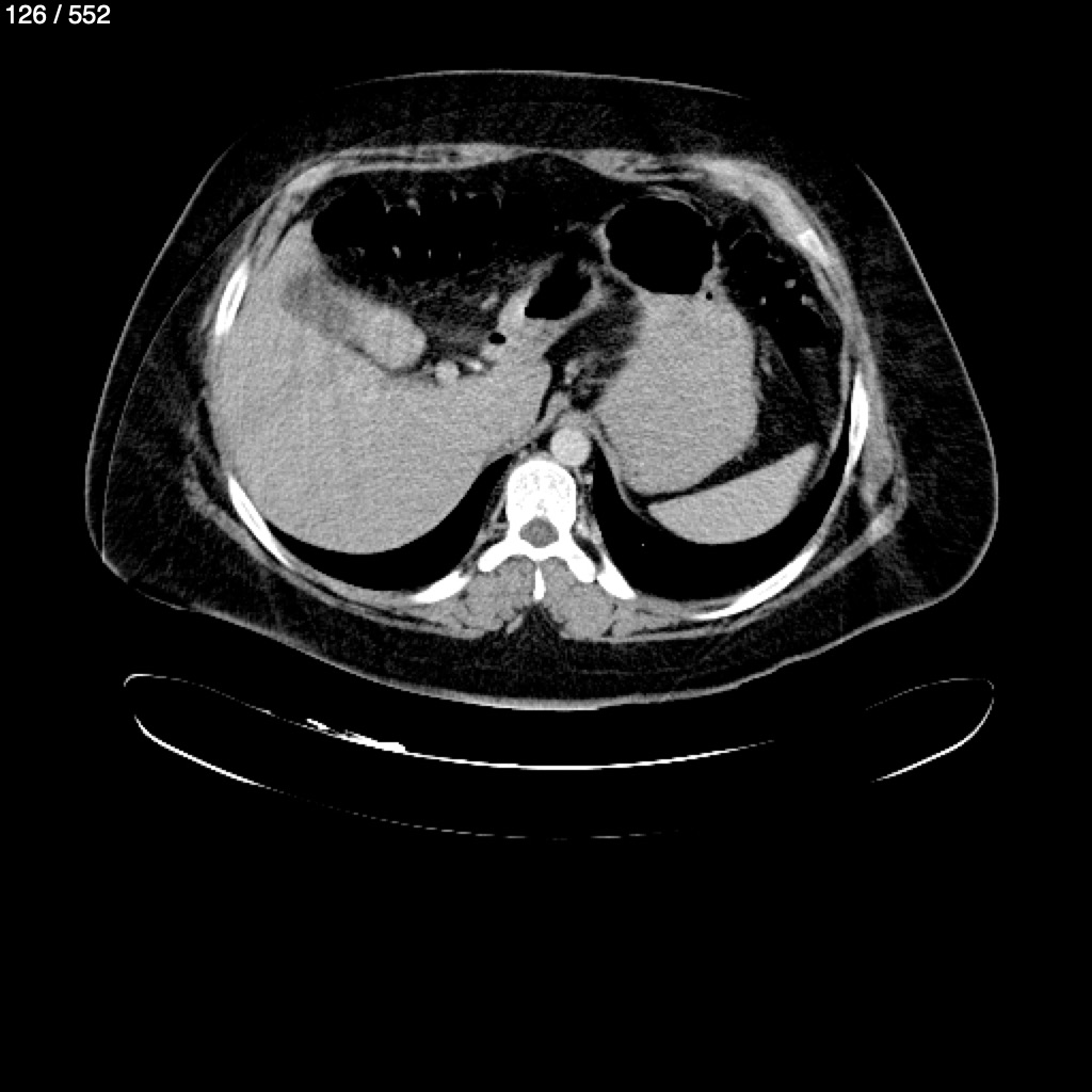
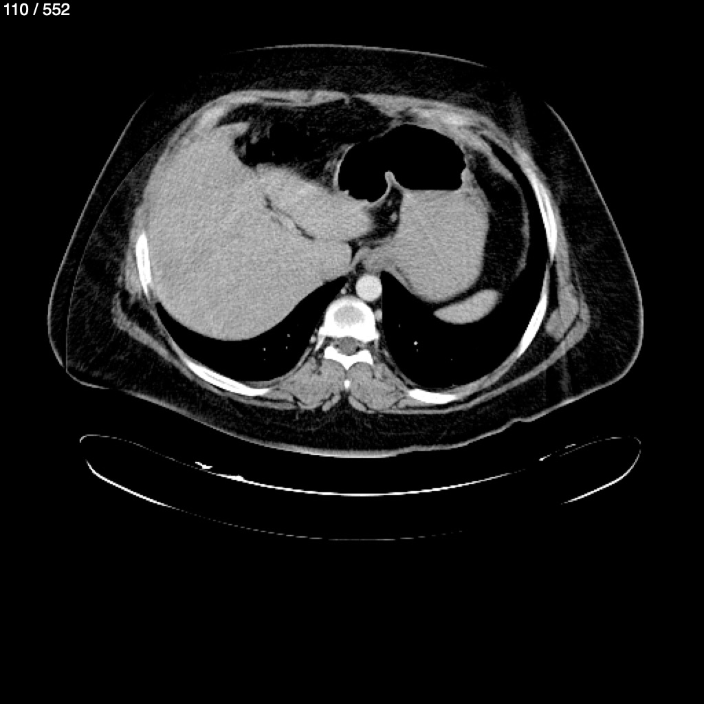
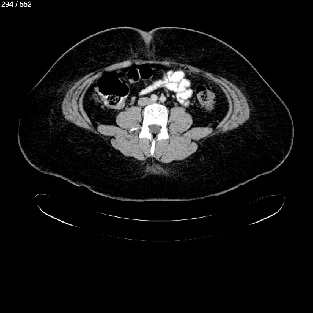
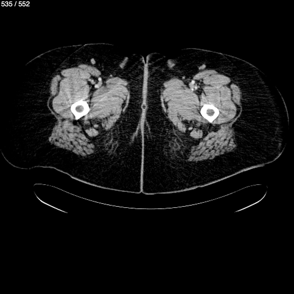
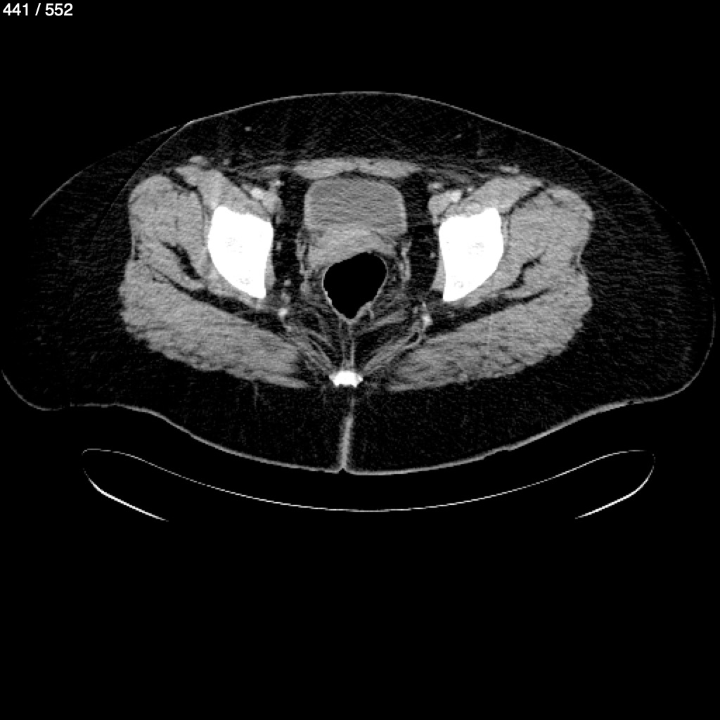
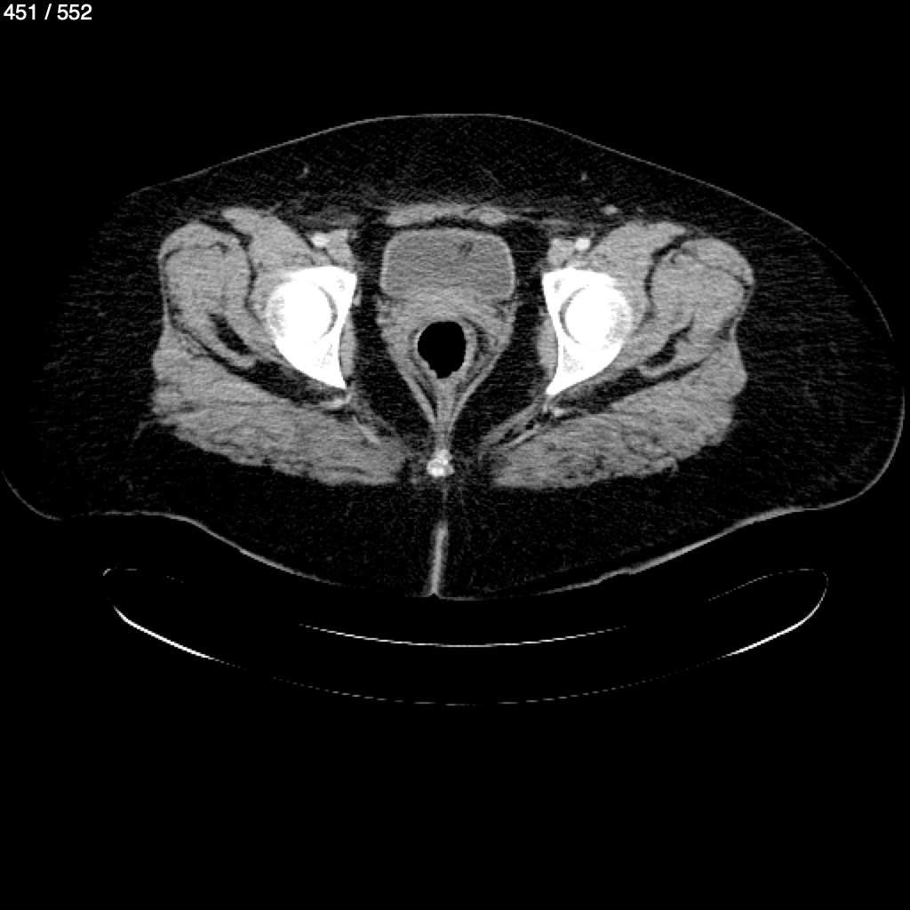
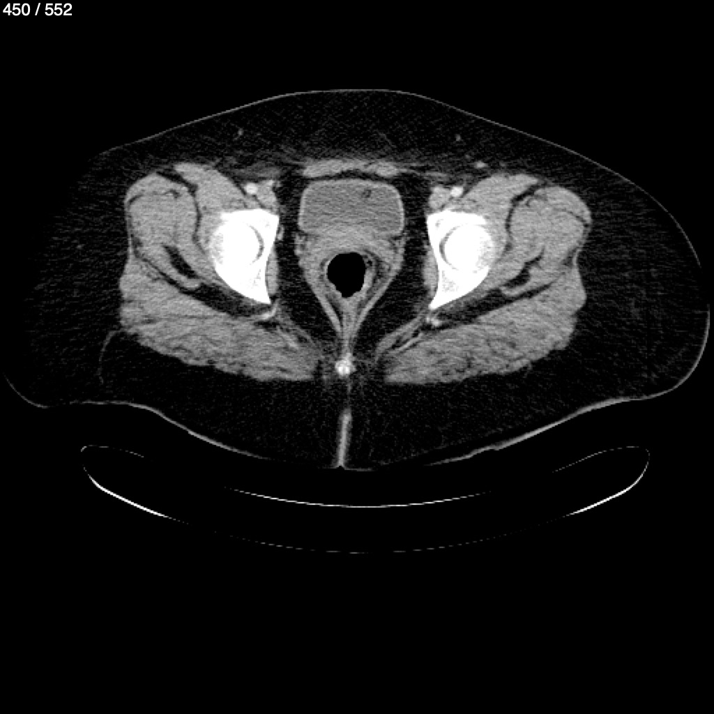
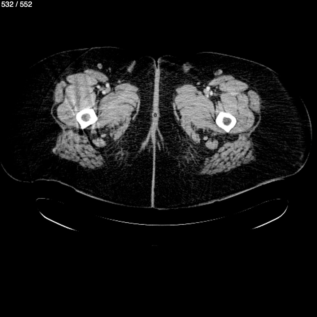
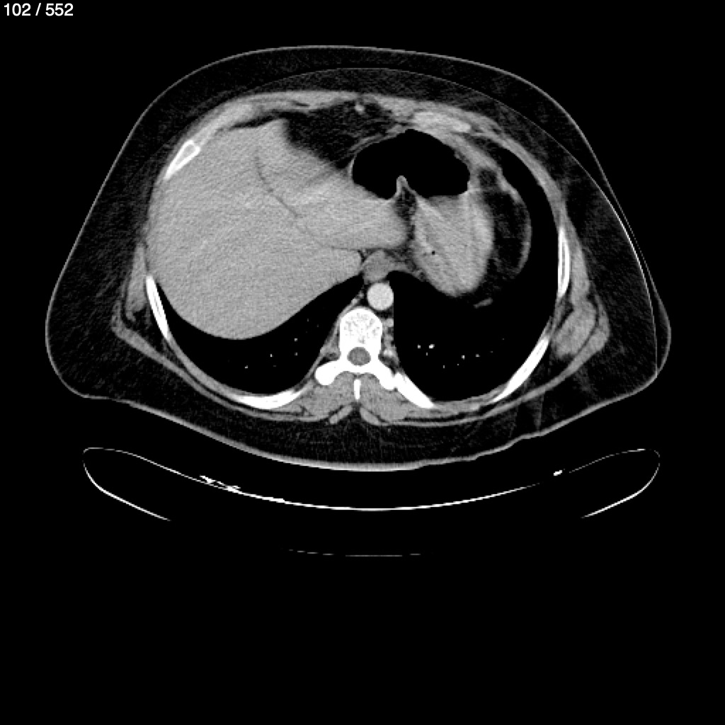
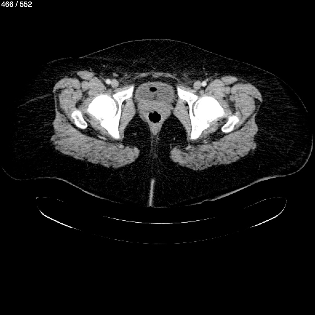
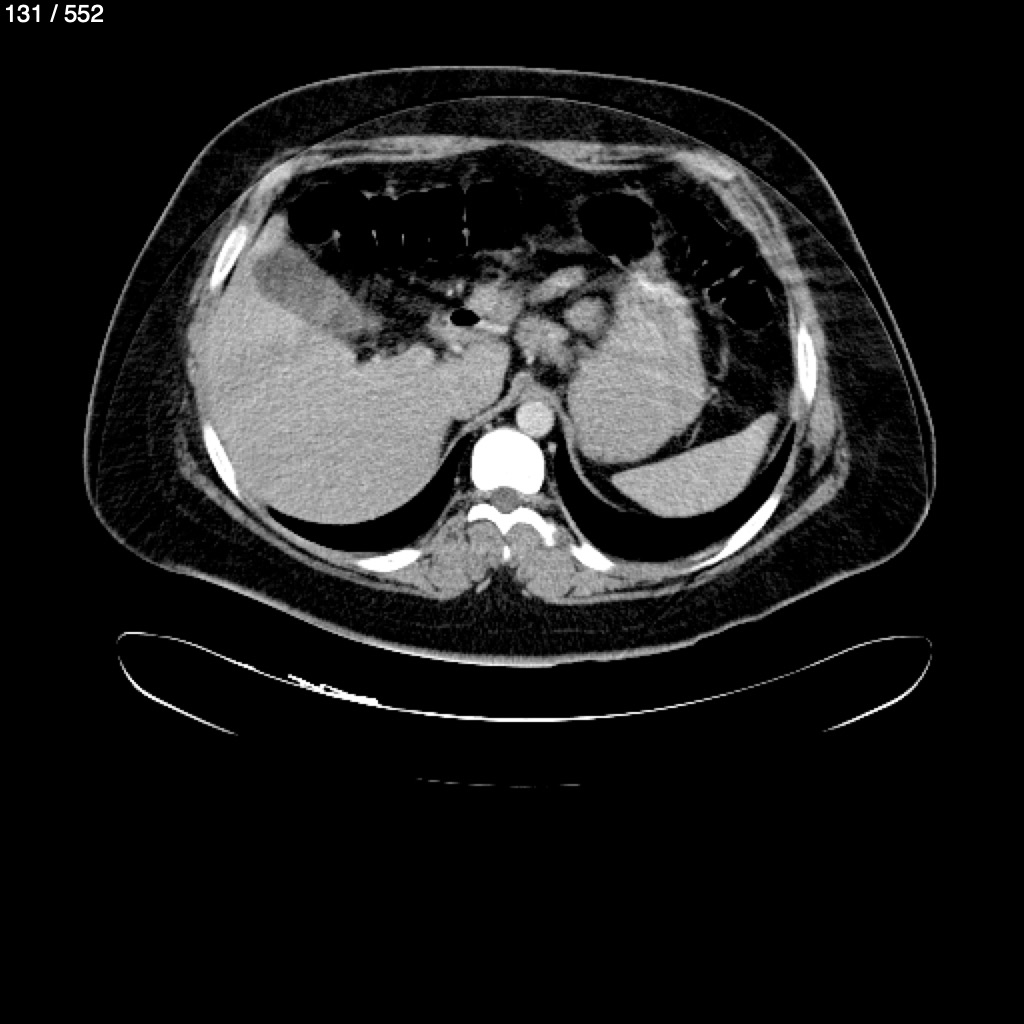
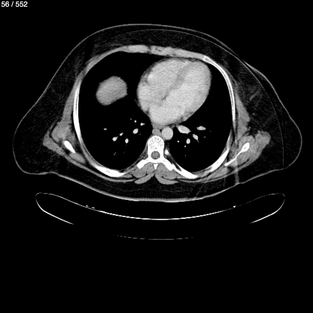
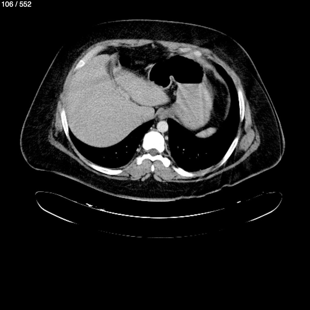
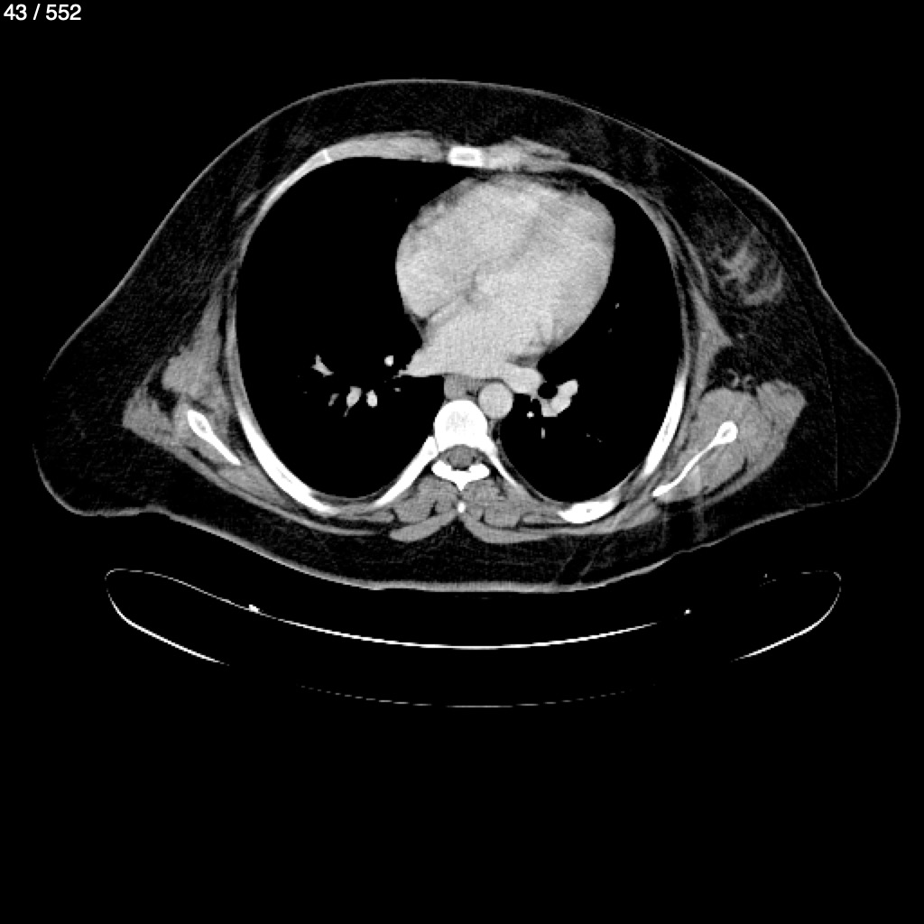
Home A​r​e​m​i​ ​M​a​r​t​i​n​e​z​ ​S​a​n​c​h​e​z​ ​-​ ​A​b​d​o​m​e​n​ ​A​b​d​o​m​e​n​_​S​y​c​ ​(​A​d​u​l​t​o​)