HUIXTLA
ESCUINTLA
AKISHINO
AKISHINO2 USG
ESPECIALIDADES
Home
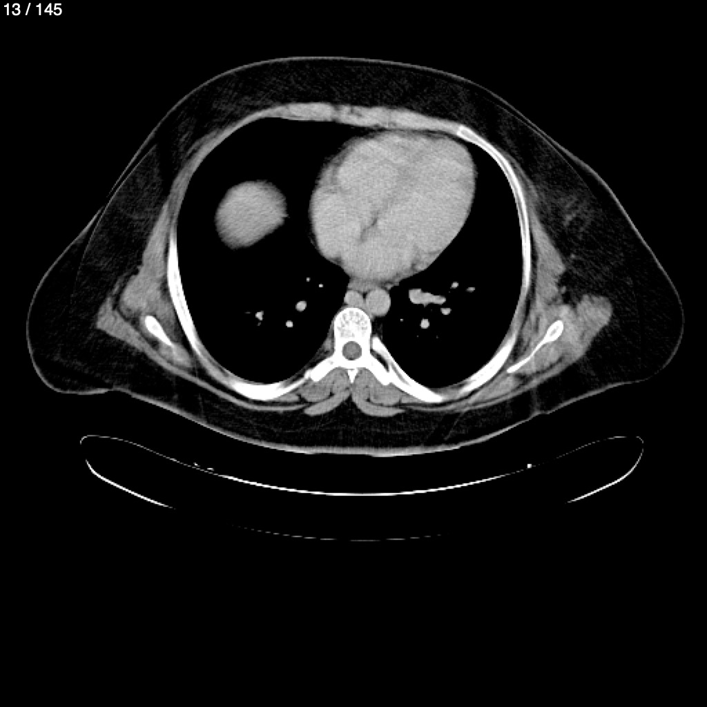
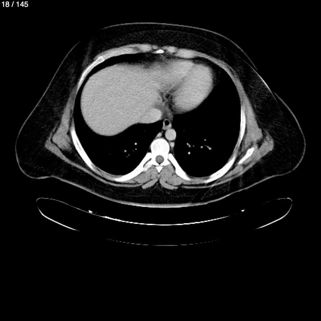
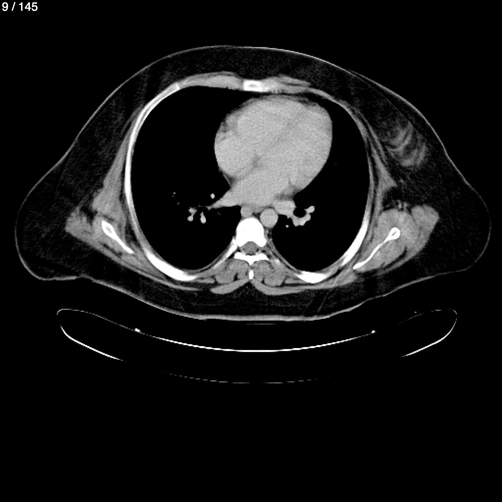
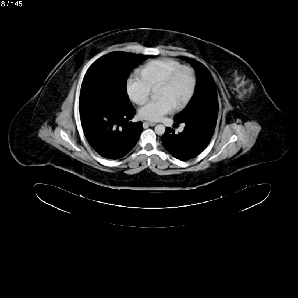
Aremi Martinez Sanchez - Abdomen Abdomen_Syc (Adulto)
Previous Series
Next Series
Show as Sequence