HUIXTLA
ESCUINTLA
AKISHINO
AKISHINO2 USG
ESPECIALIDADES
Home
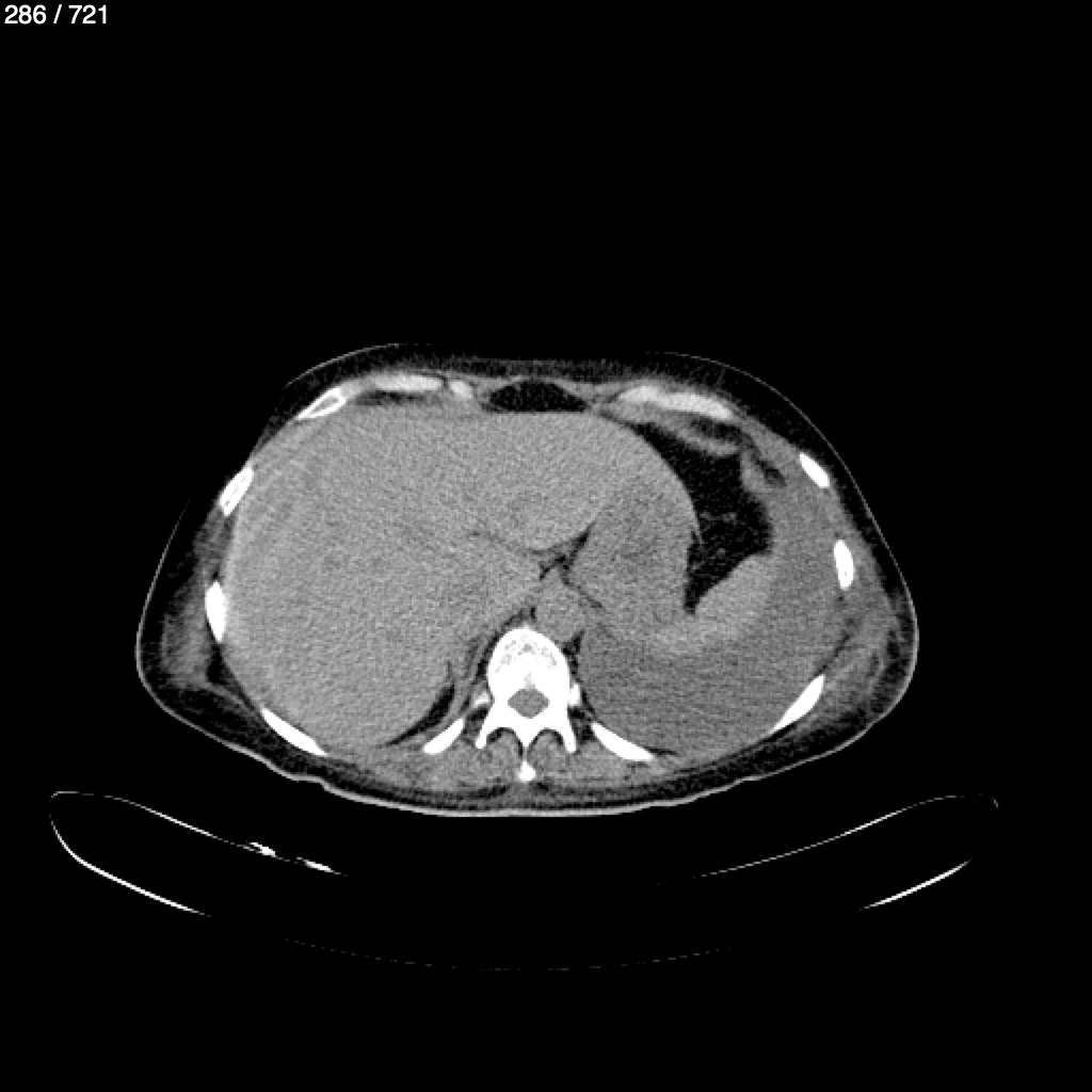
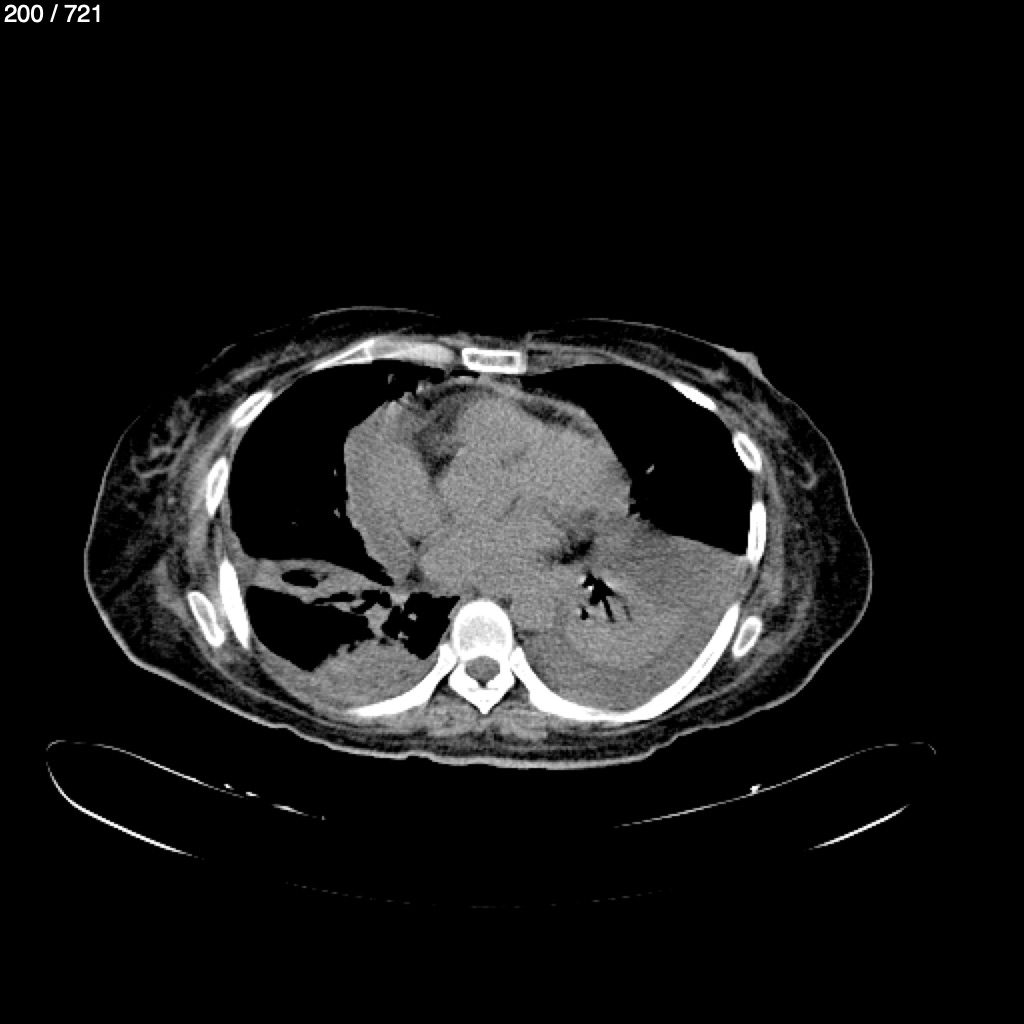
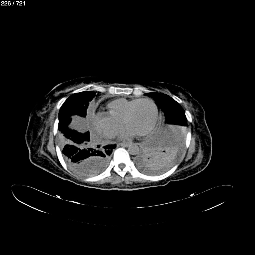
Petronila Ayala Mejia - Abdomen Toracoabdominasyclu (Adulto)
Previous Series
Next Series
Show as Sequence