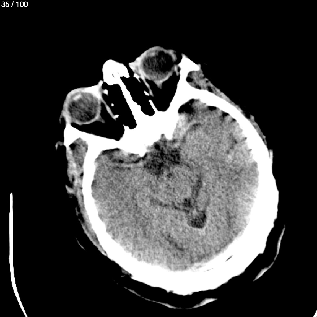
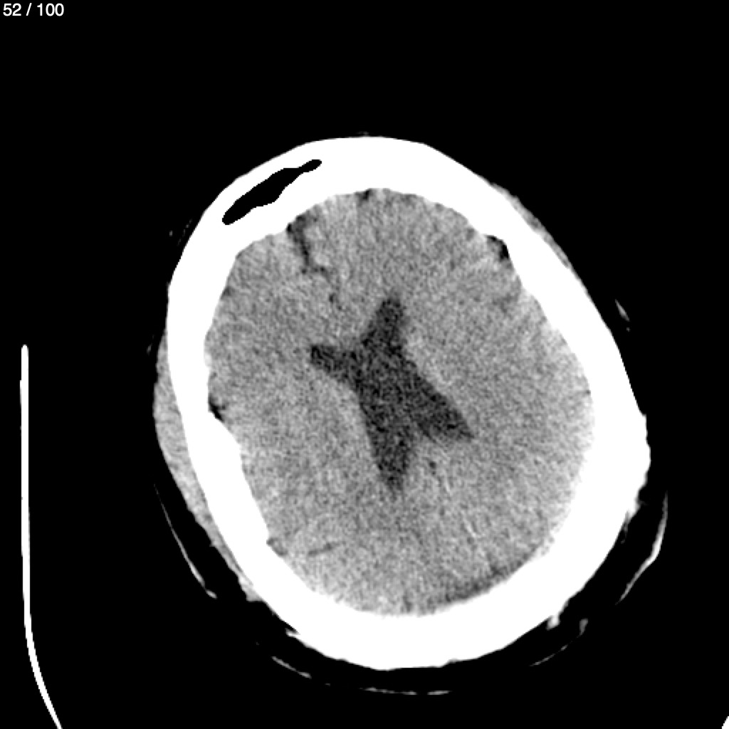
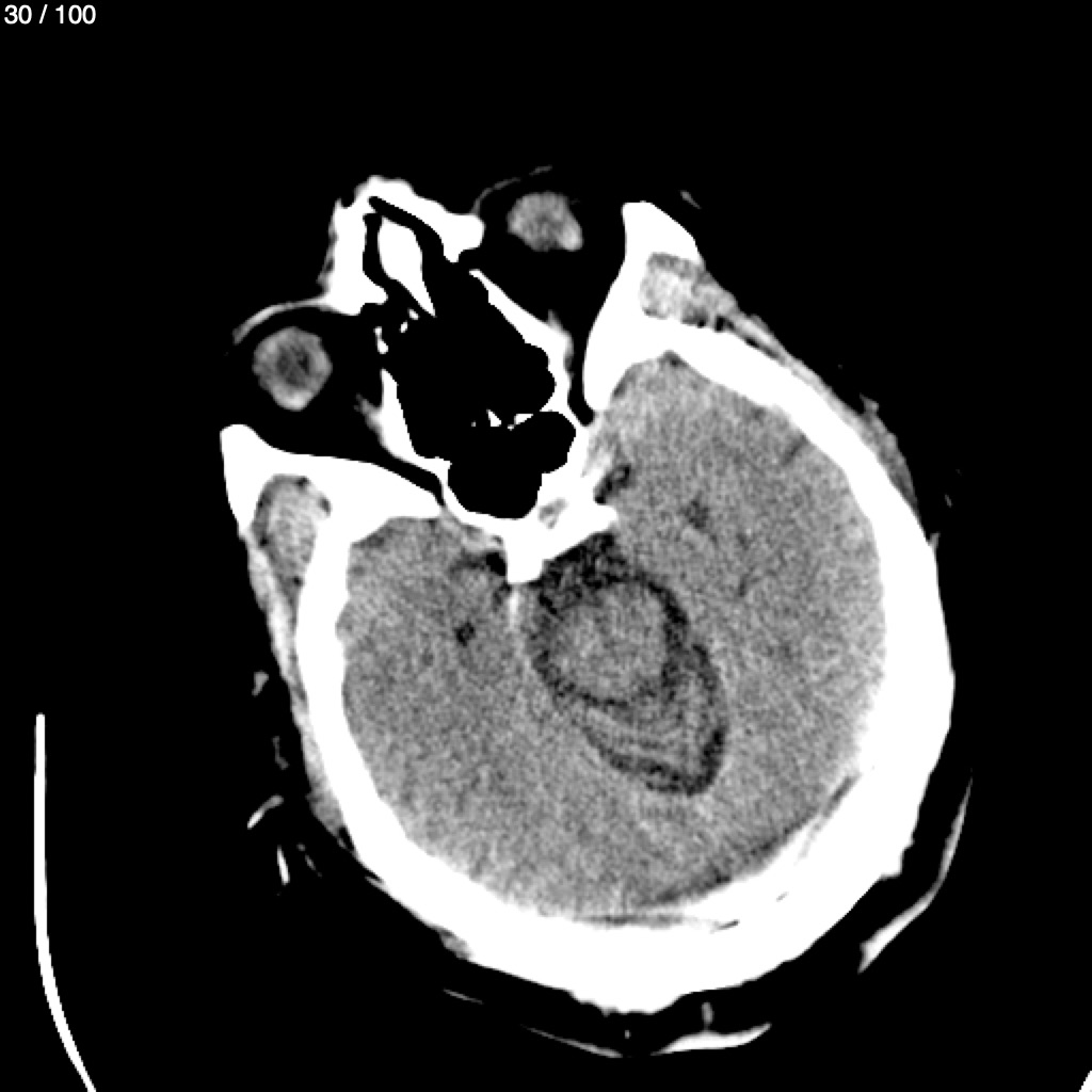
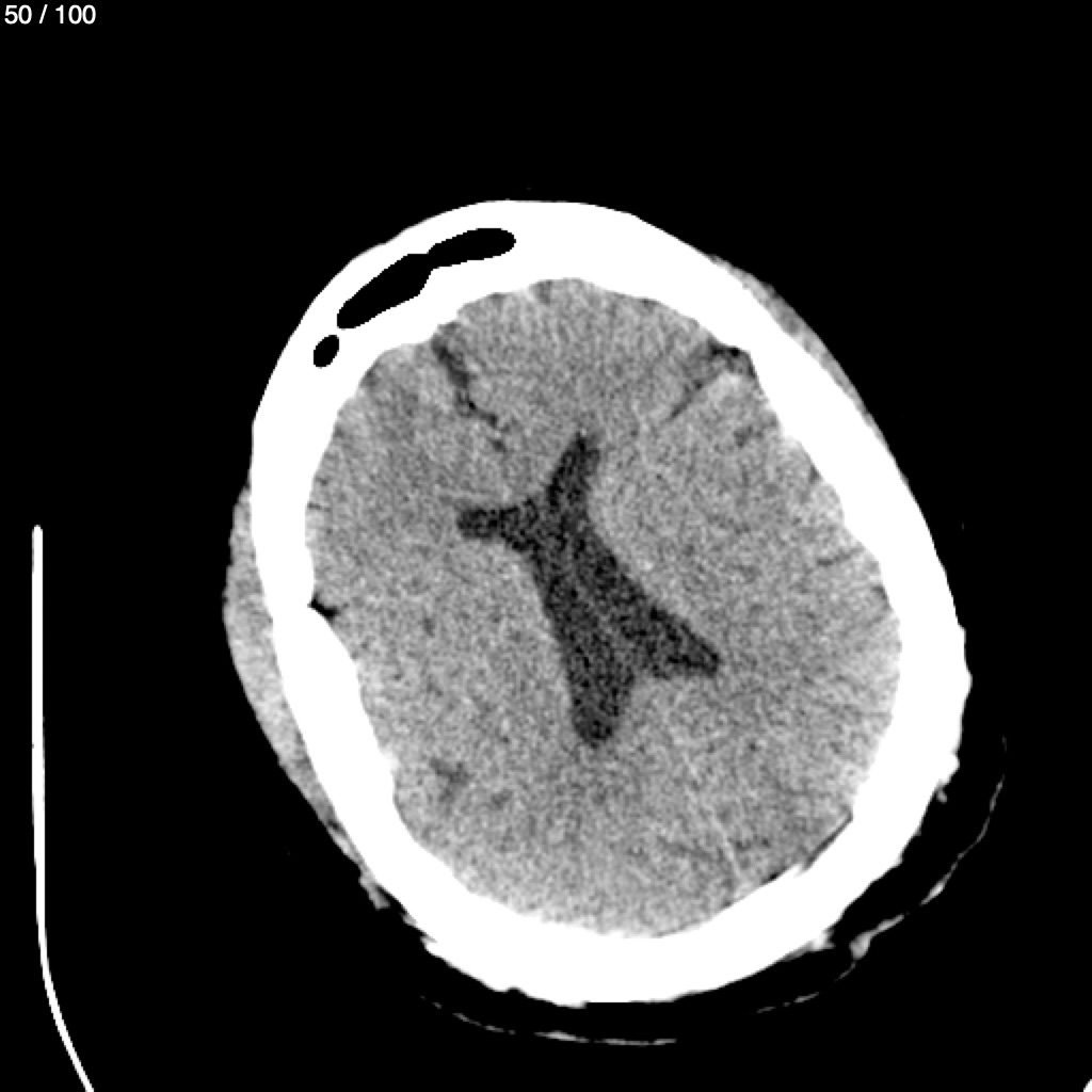
Home K​a​r​i​n​a​ ​R​i​o​s​ ​R​o​j​a​s​ ​-​ ​C​a​b​e​z​a​ ​S​i​m​p​l​e​_​C​r​a​n​e​o​ ​(​A​d​u​l​t​o​)