HUIXTLA
ESCUINTLA
AKISHINO
AKISHINO2 USG
ESPECIALIDADES
Home
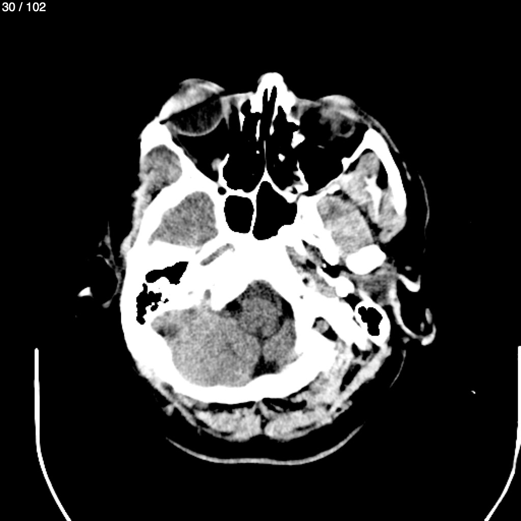
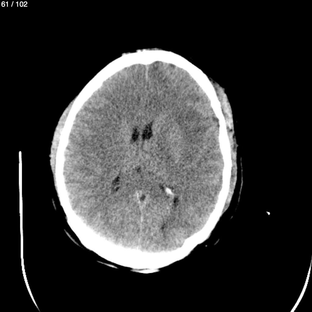
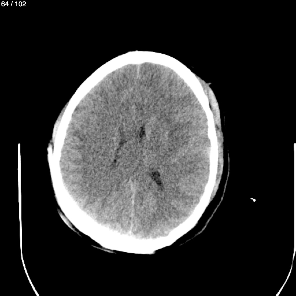
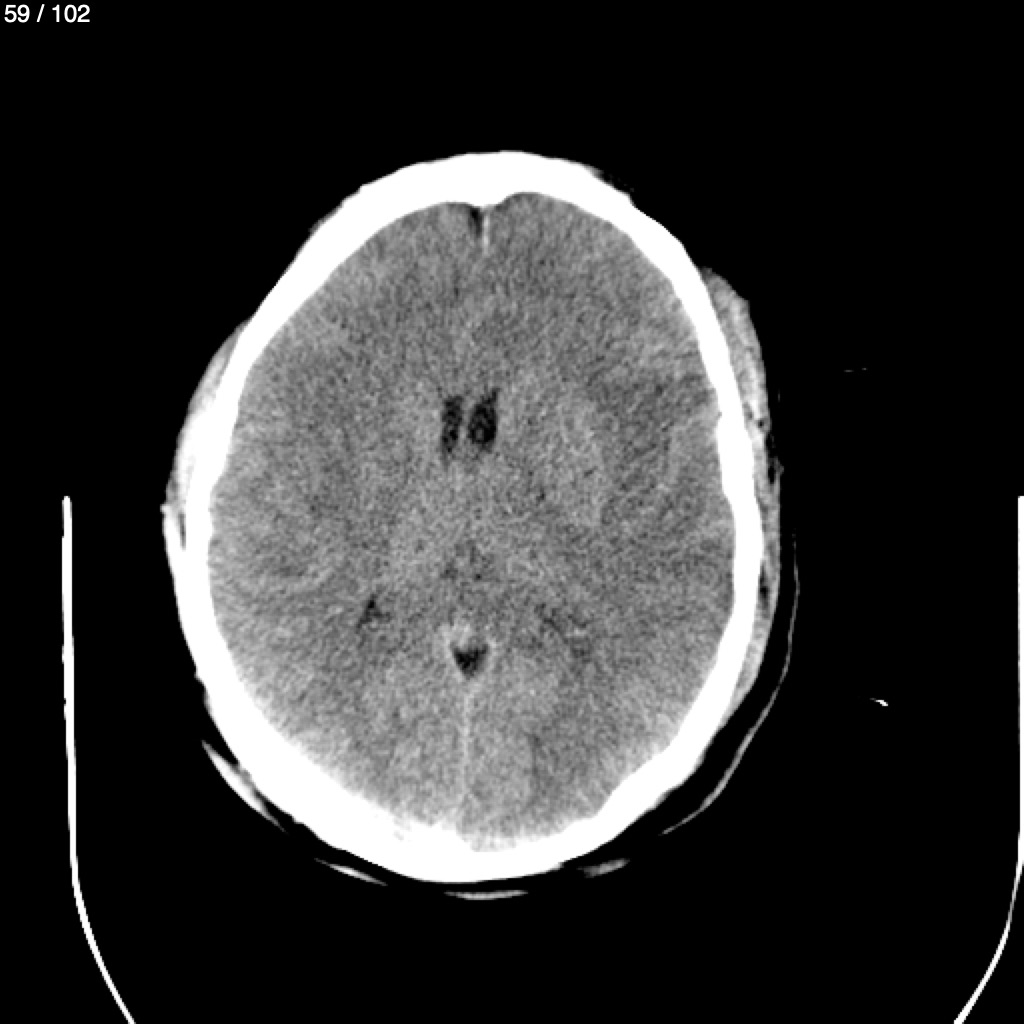
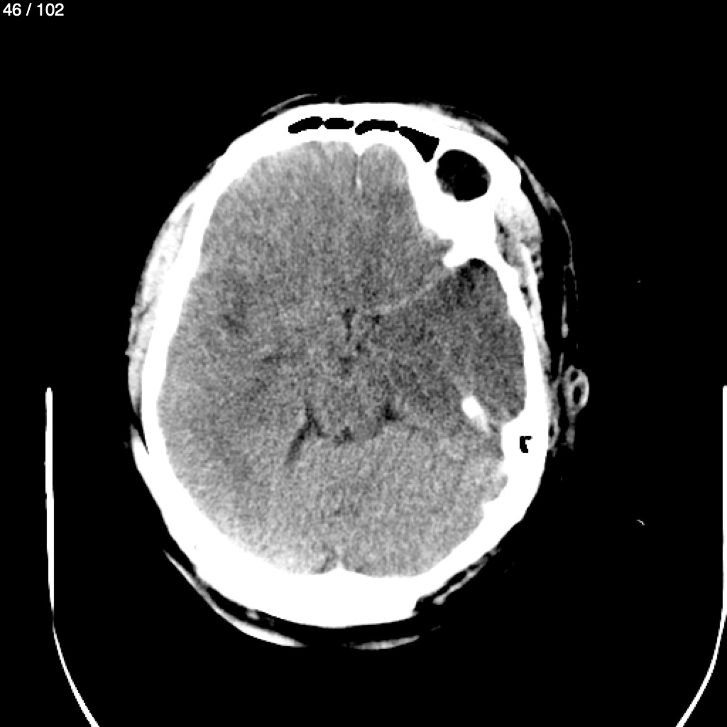
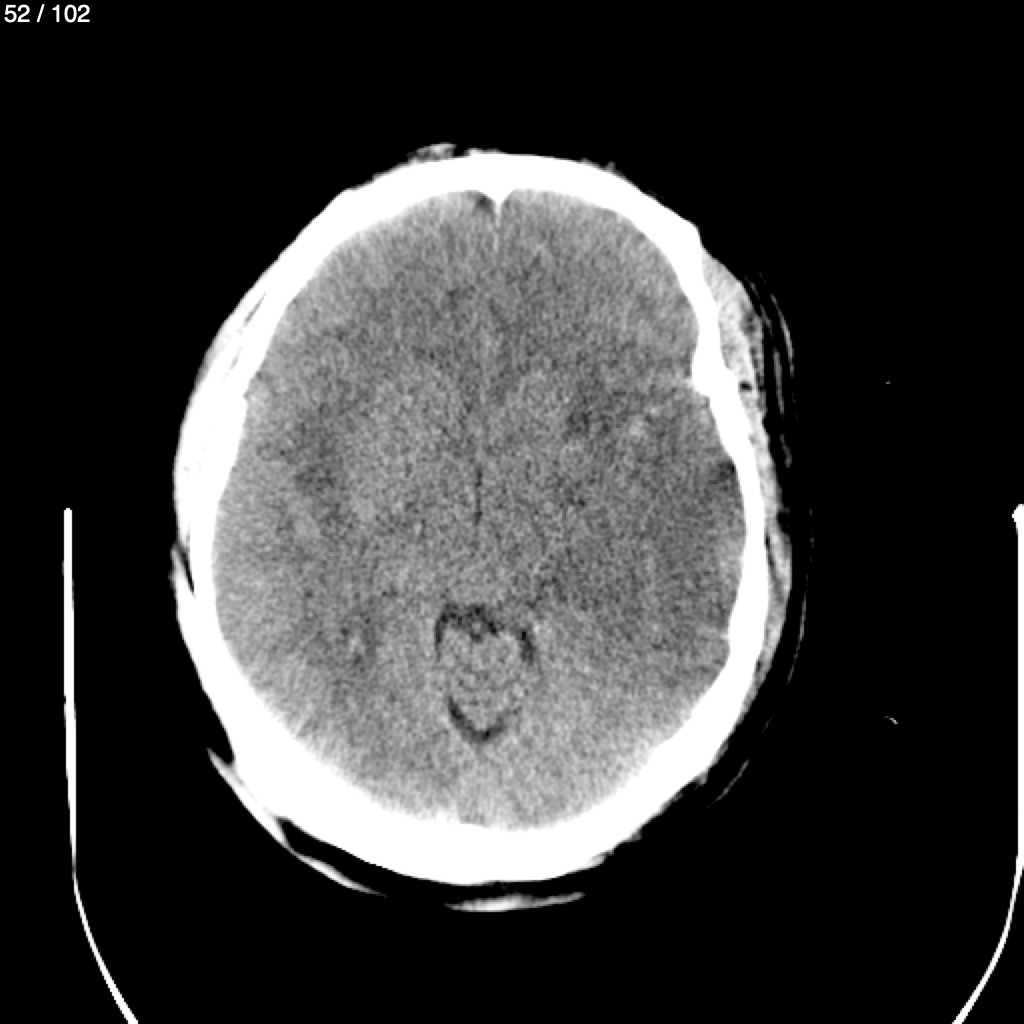
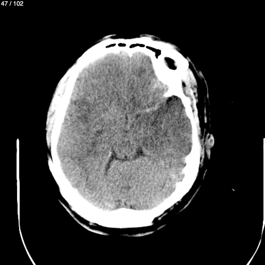
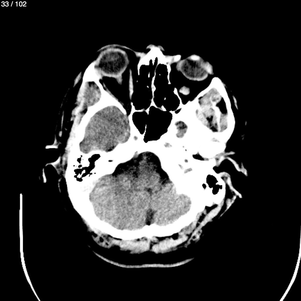
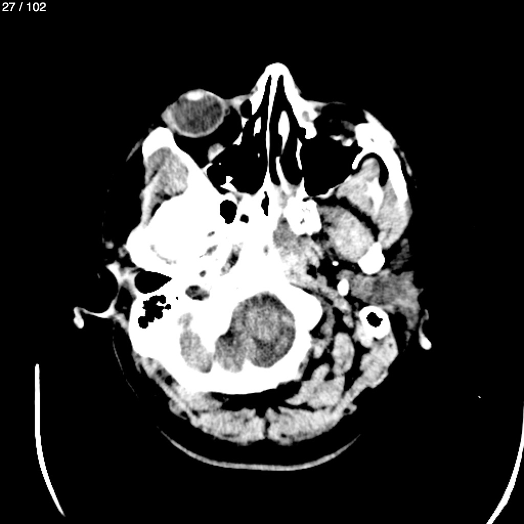
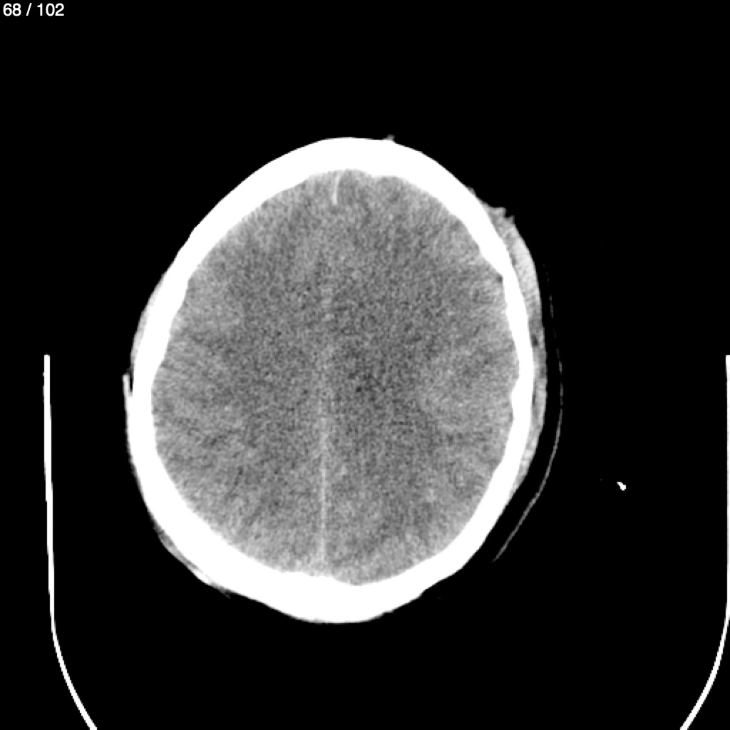
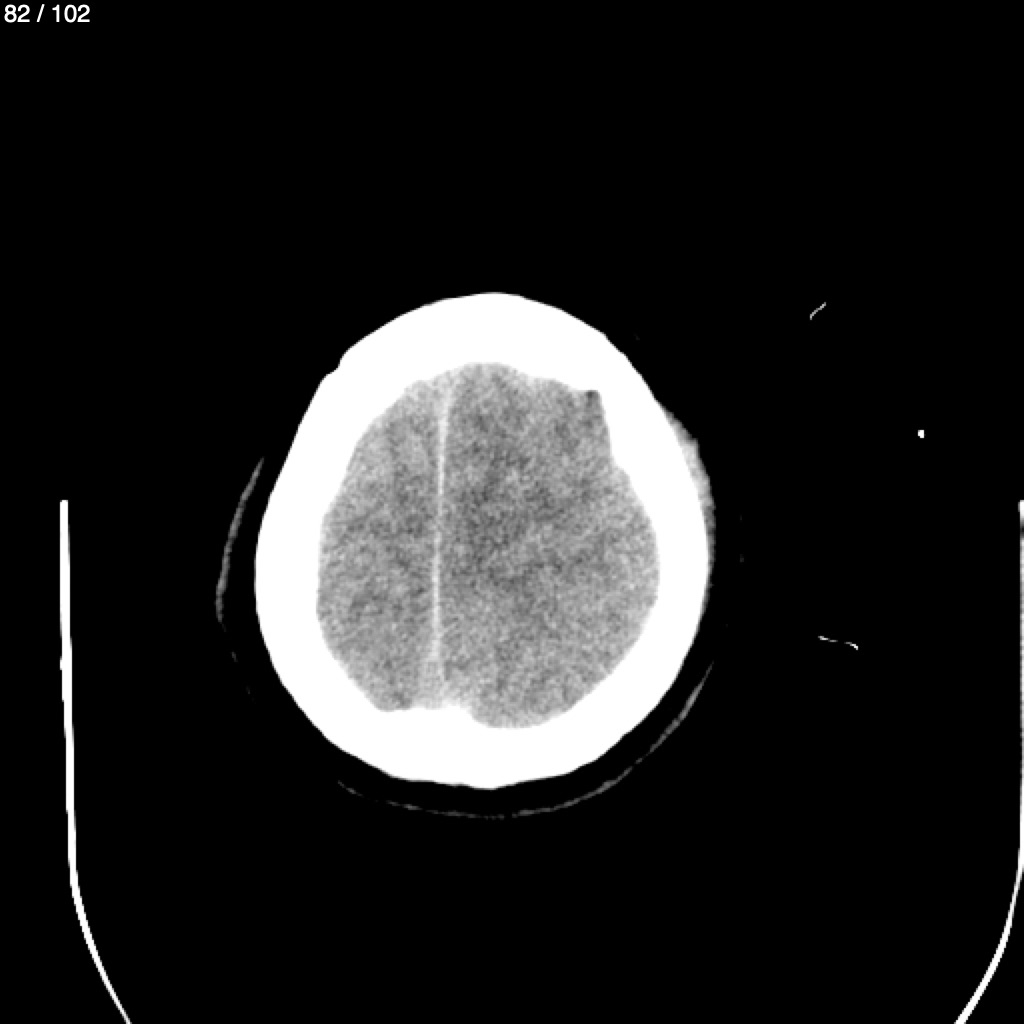
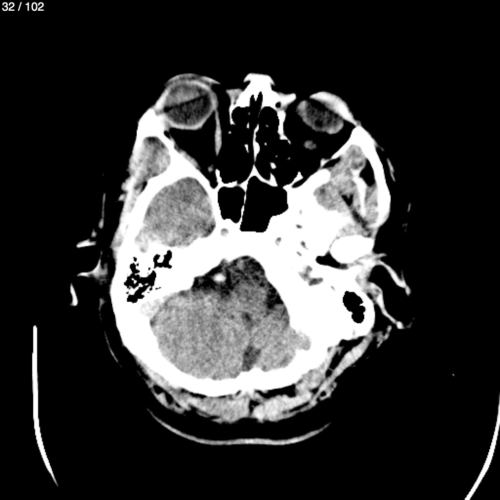
Abner Obed Vazquez Ortiz - Cabeza Craneo_Syc (Adulto)
Previous Series
Next Series
Show as Sequence