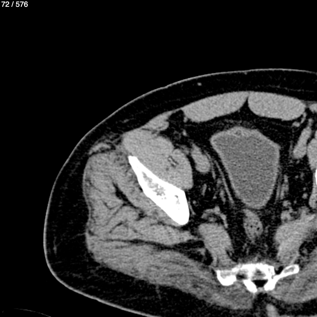
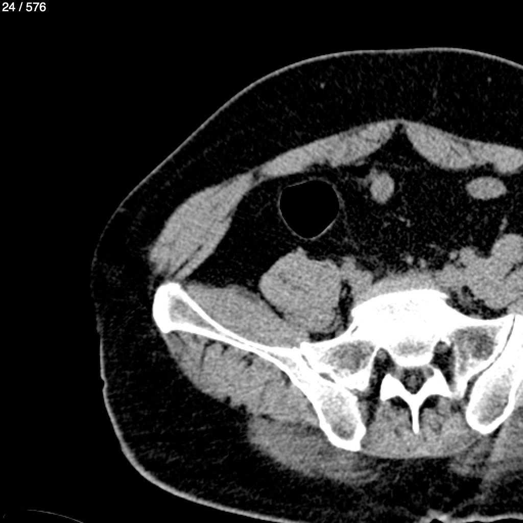
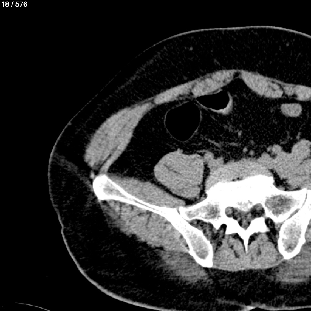
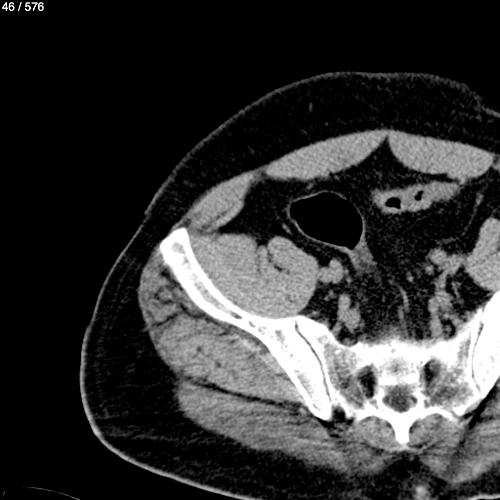
Home A​l​e​j​a​n​d​r​o​ ​G​o​m​e​z​ ​S​o​l​i​s​ ​-​ ​E​x​t​r​e​m​i​d​a​d​e​s​ ​I​n​f​e​r​i​o​r​e​s​ ​M​i​e​m​b​r​o​p​e​l​s​i​m​p​l​e​ ​(​A​d​u​l​t​o​)