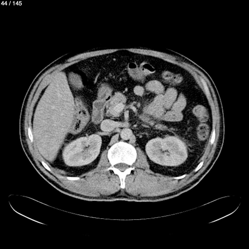
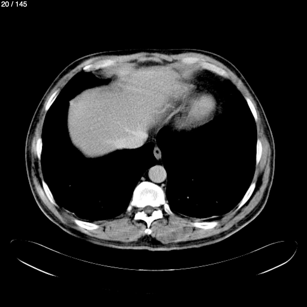
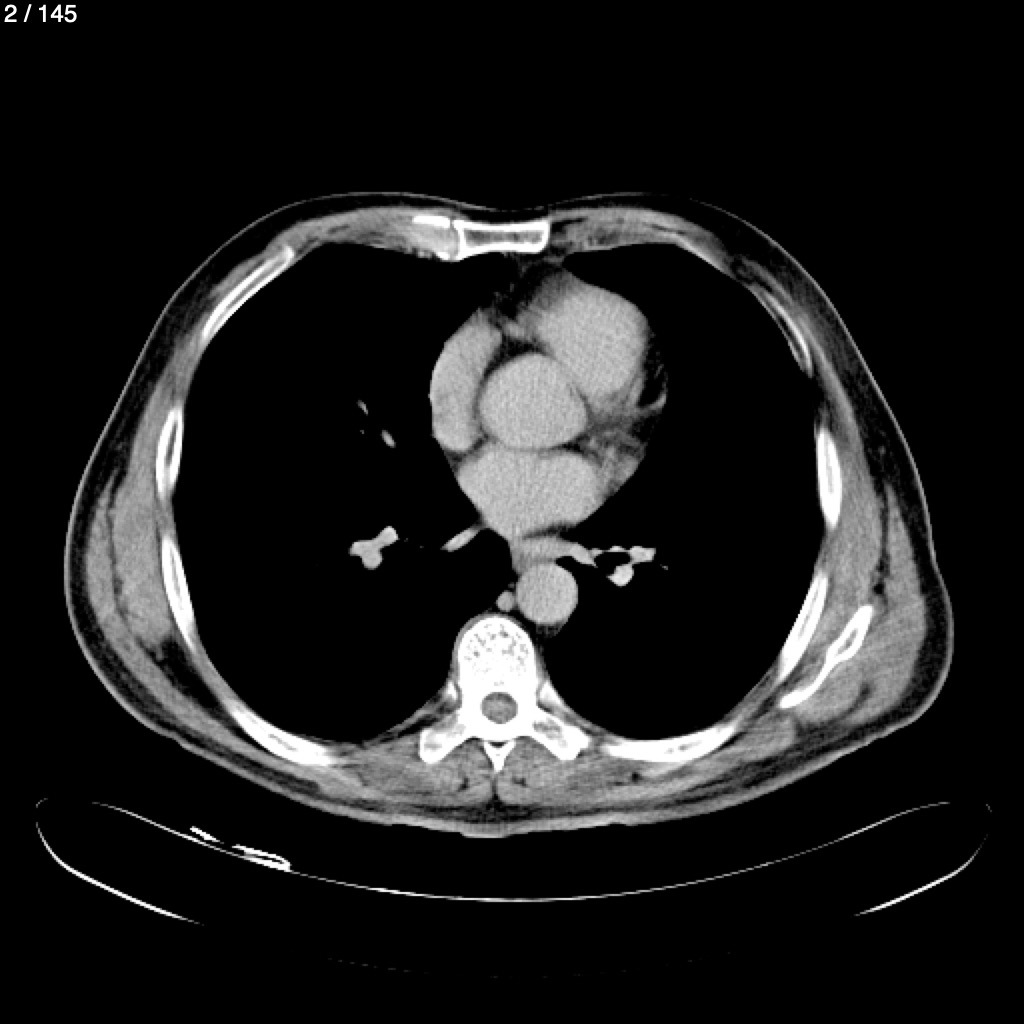
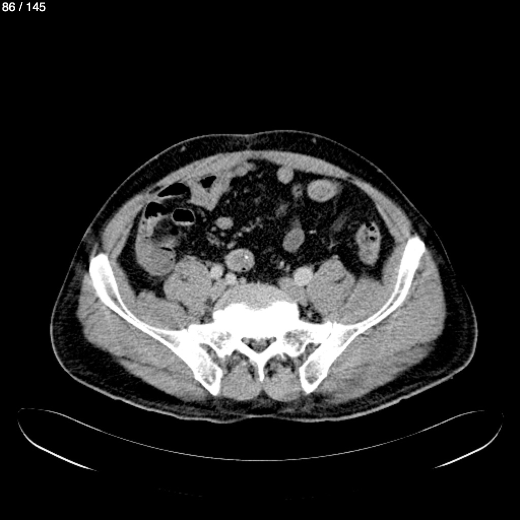
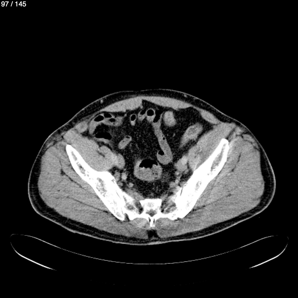
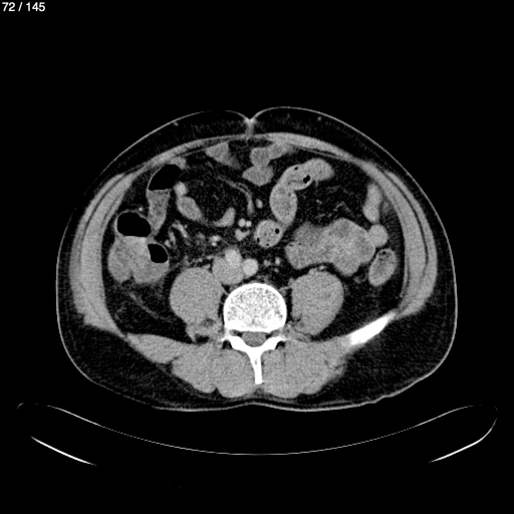
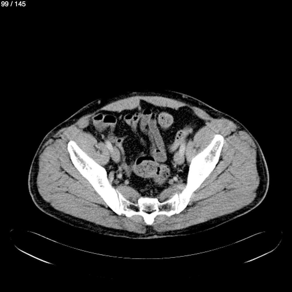
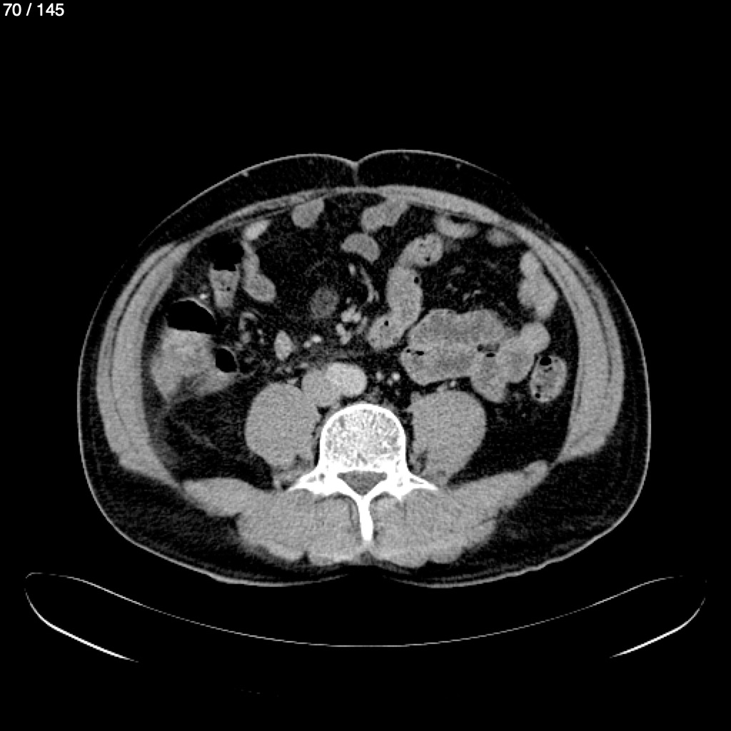
Home A​b​e​l​a​r​d​o​ ​M​o​r​a​l​e​s​ ​V​e​r​d​u​g​o​ ​-​ ​A​b​d​o​m​e​n​ ​A​b​d​o​m​e​n​_​S​y​c​ ​(​A​d​u​l​t​o​)