HUIXTLA
ESCUINTLA
AKISHINO
AKISHINO2 USG
ESPECIALIDADES
Home
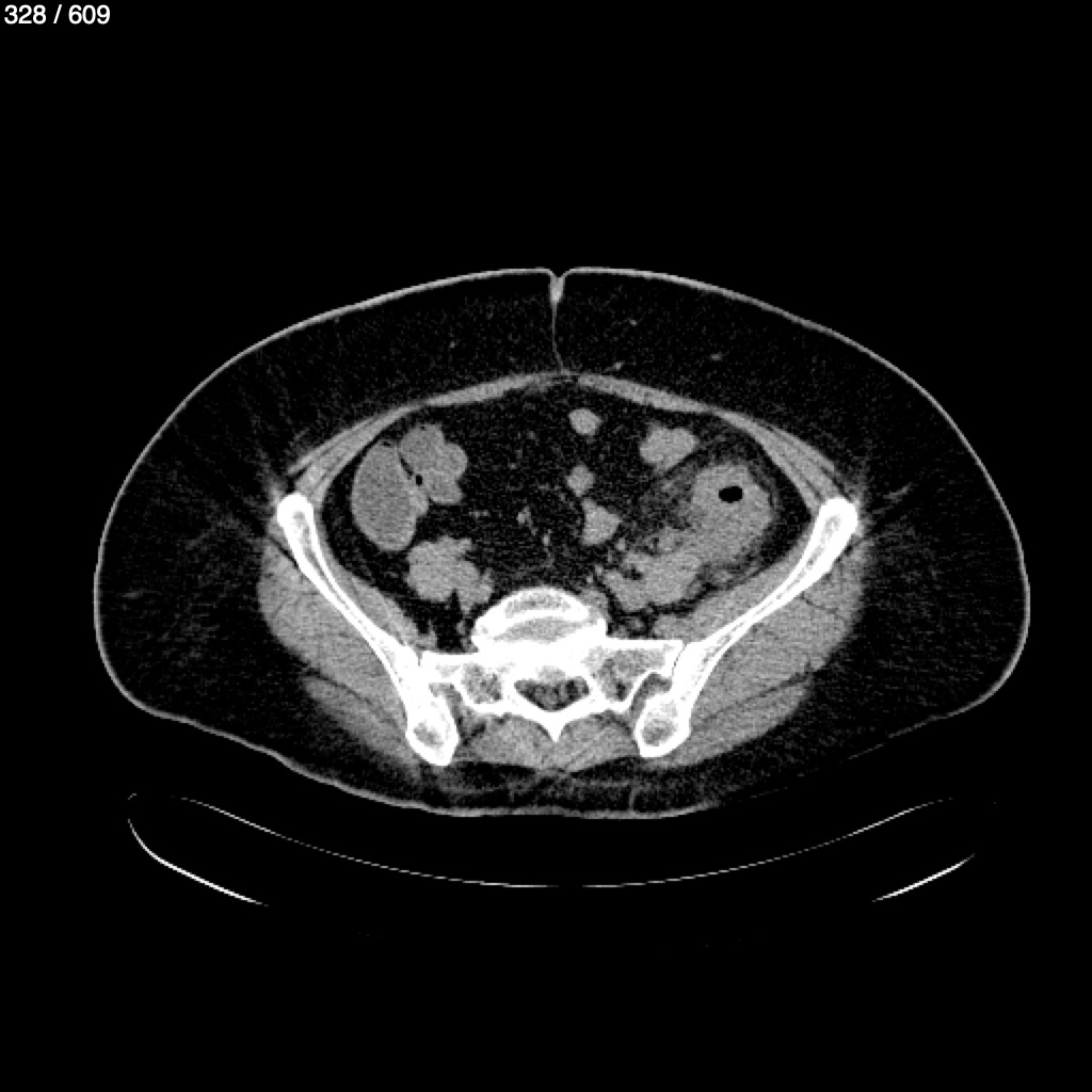
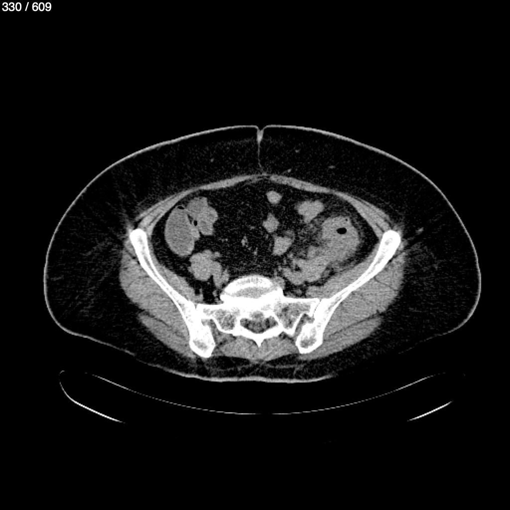
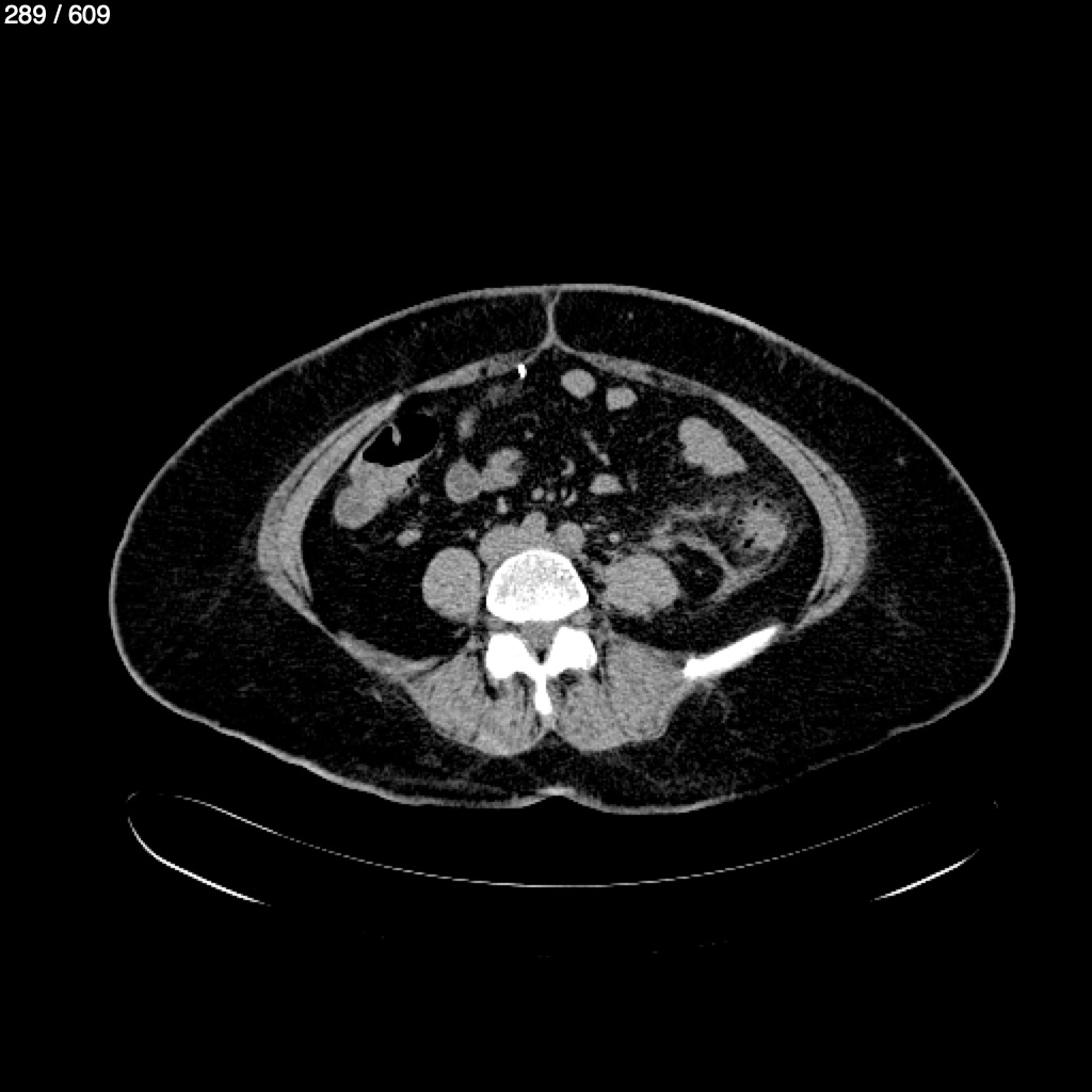
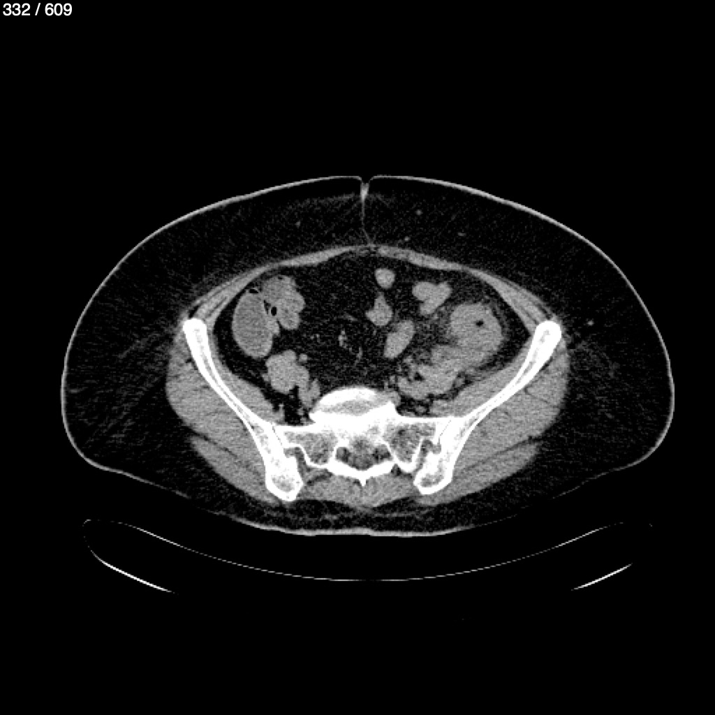
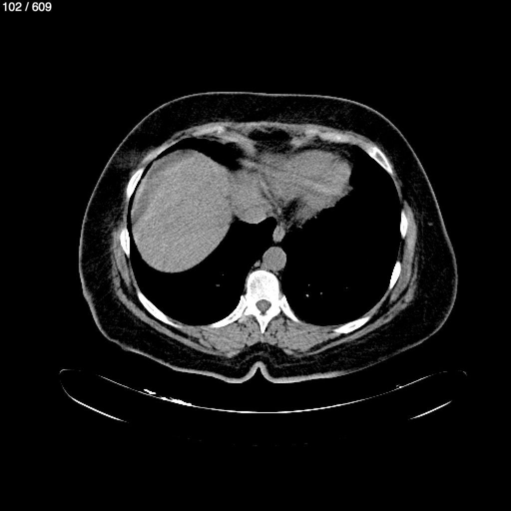
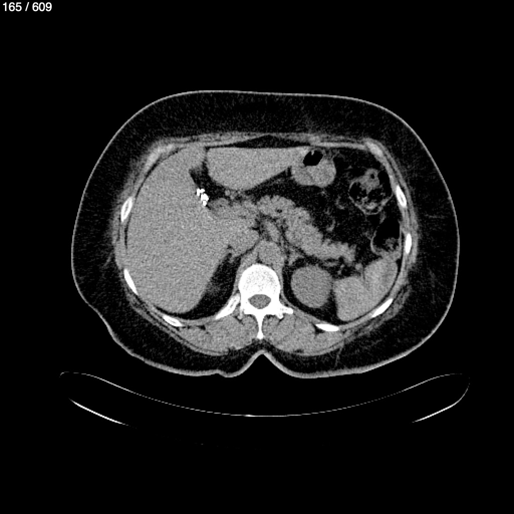
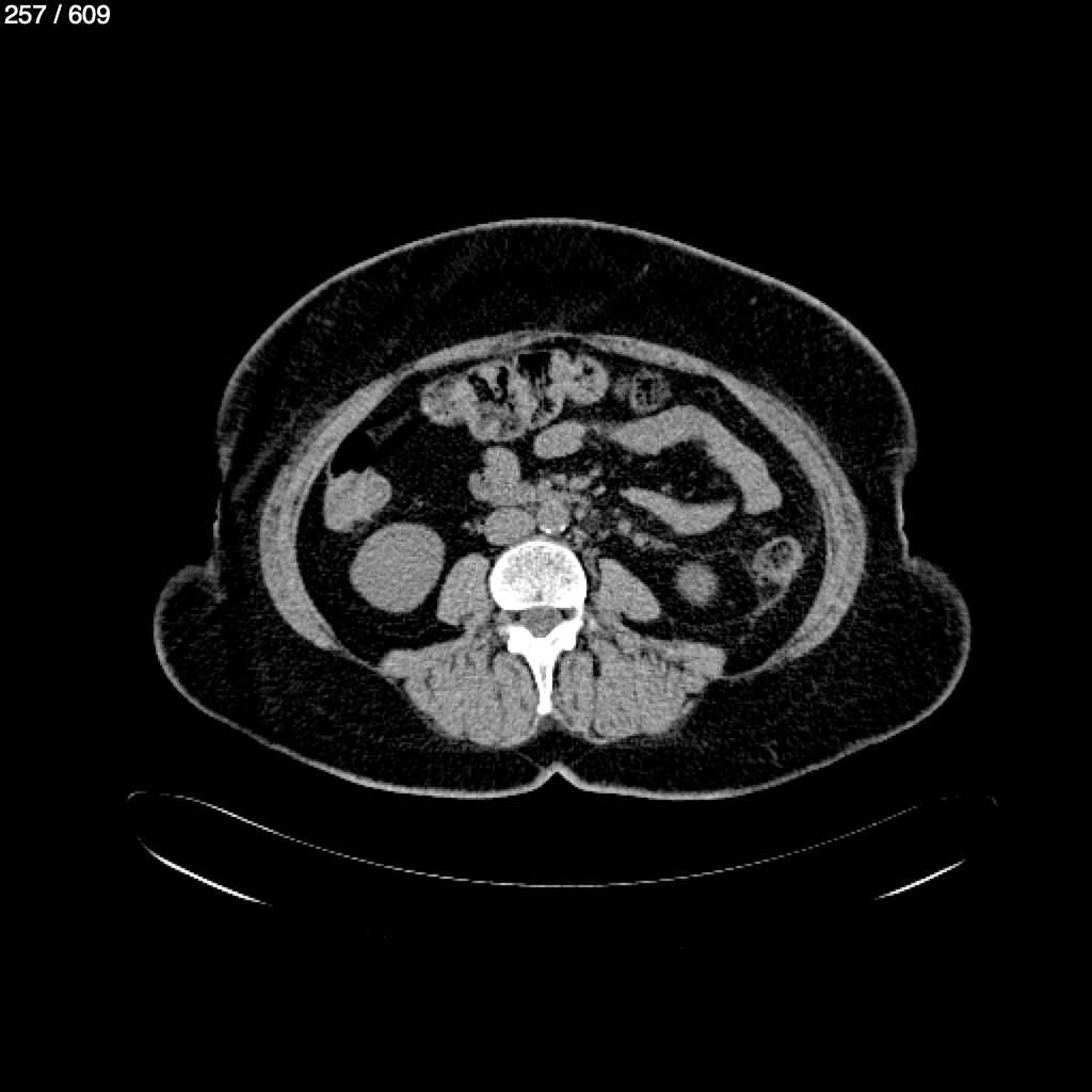
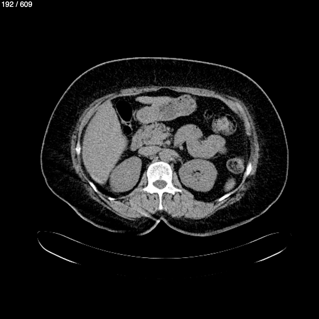
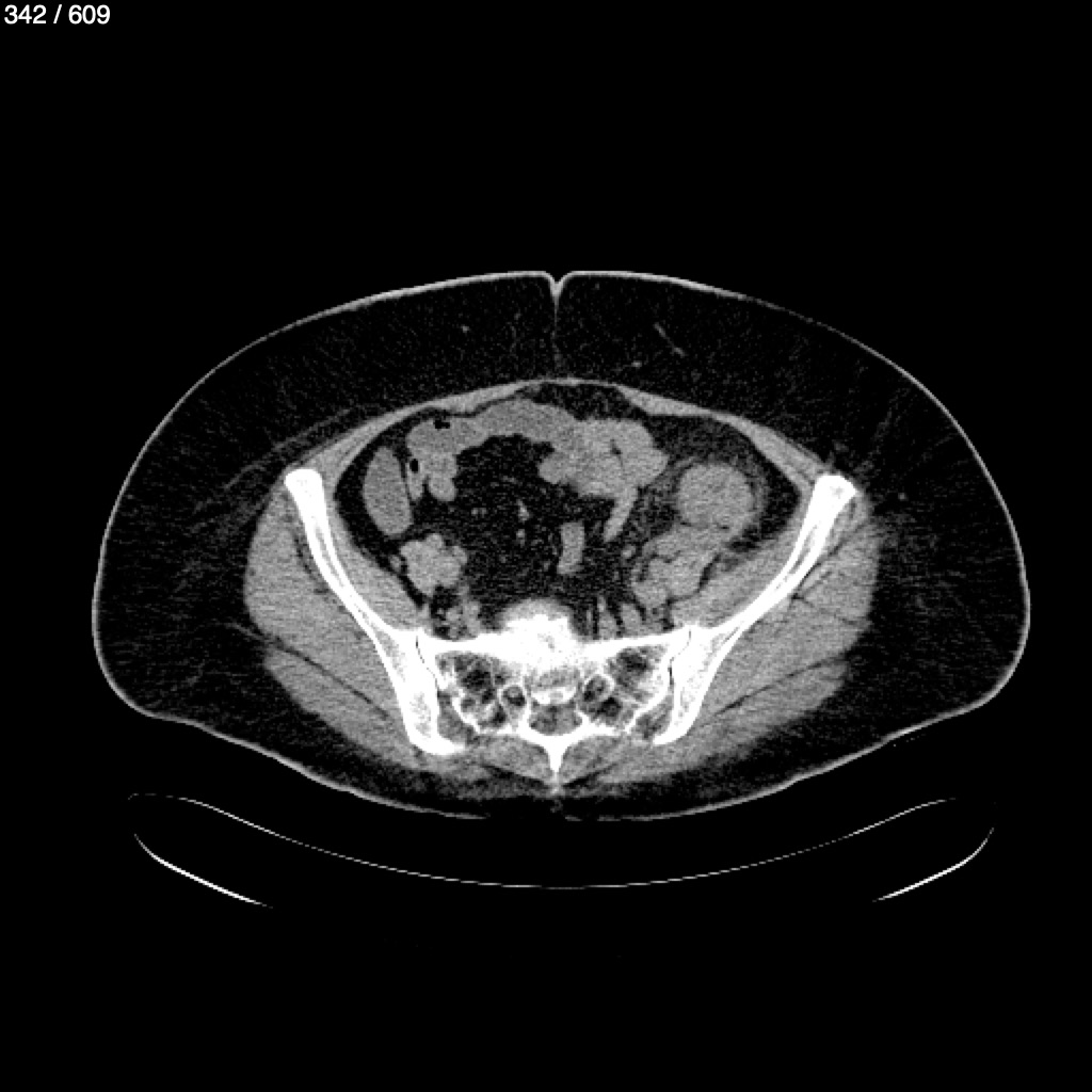
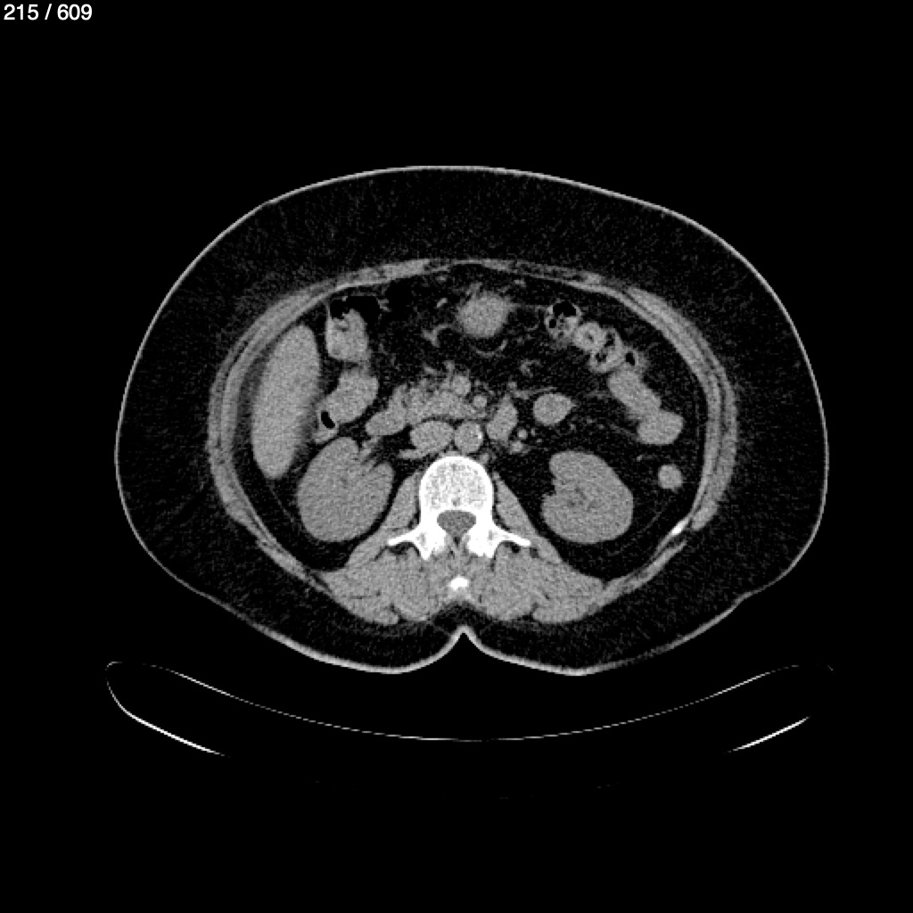
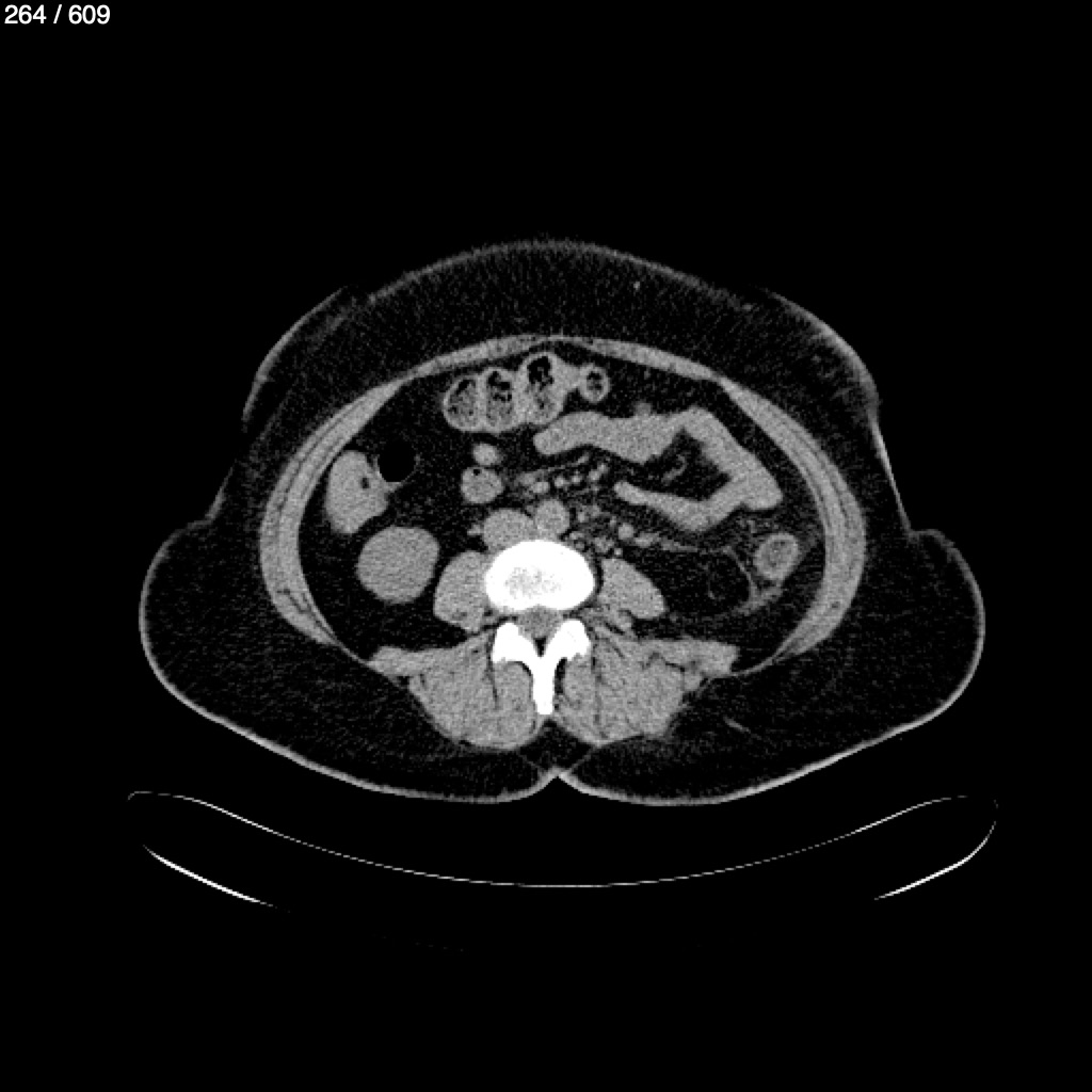
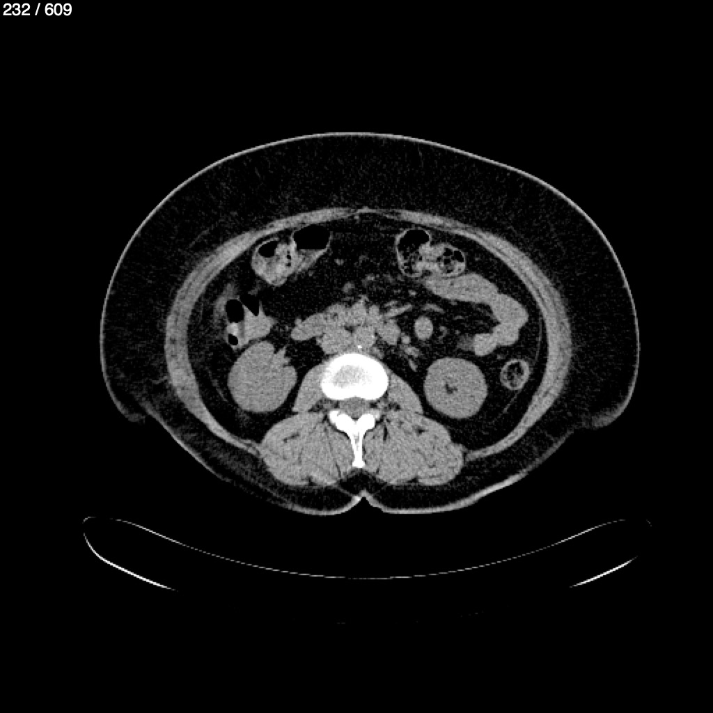
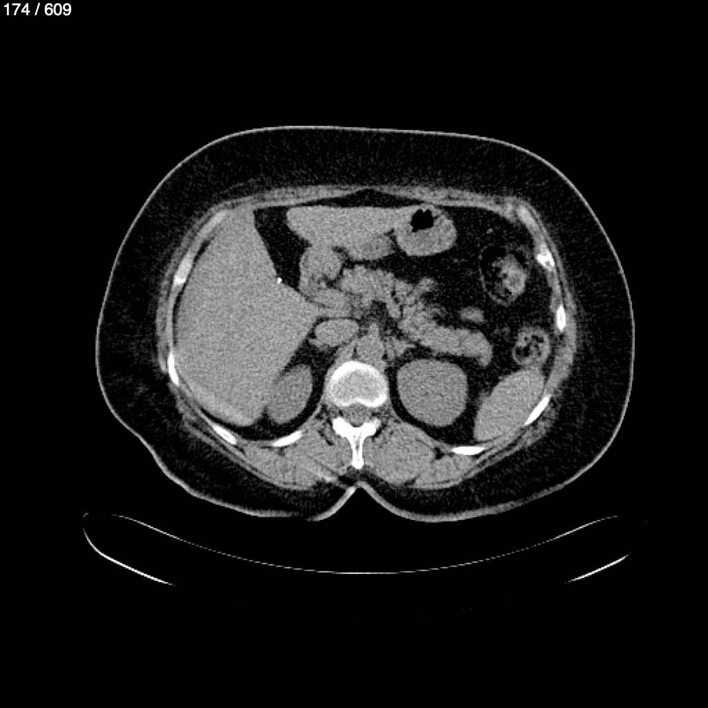
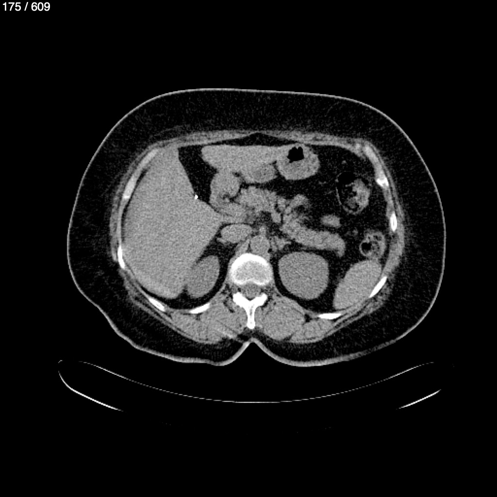
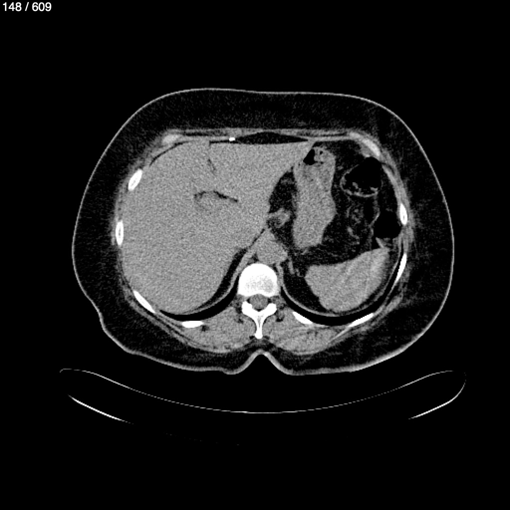
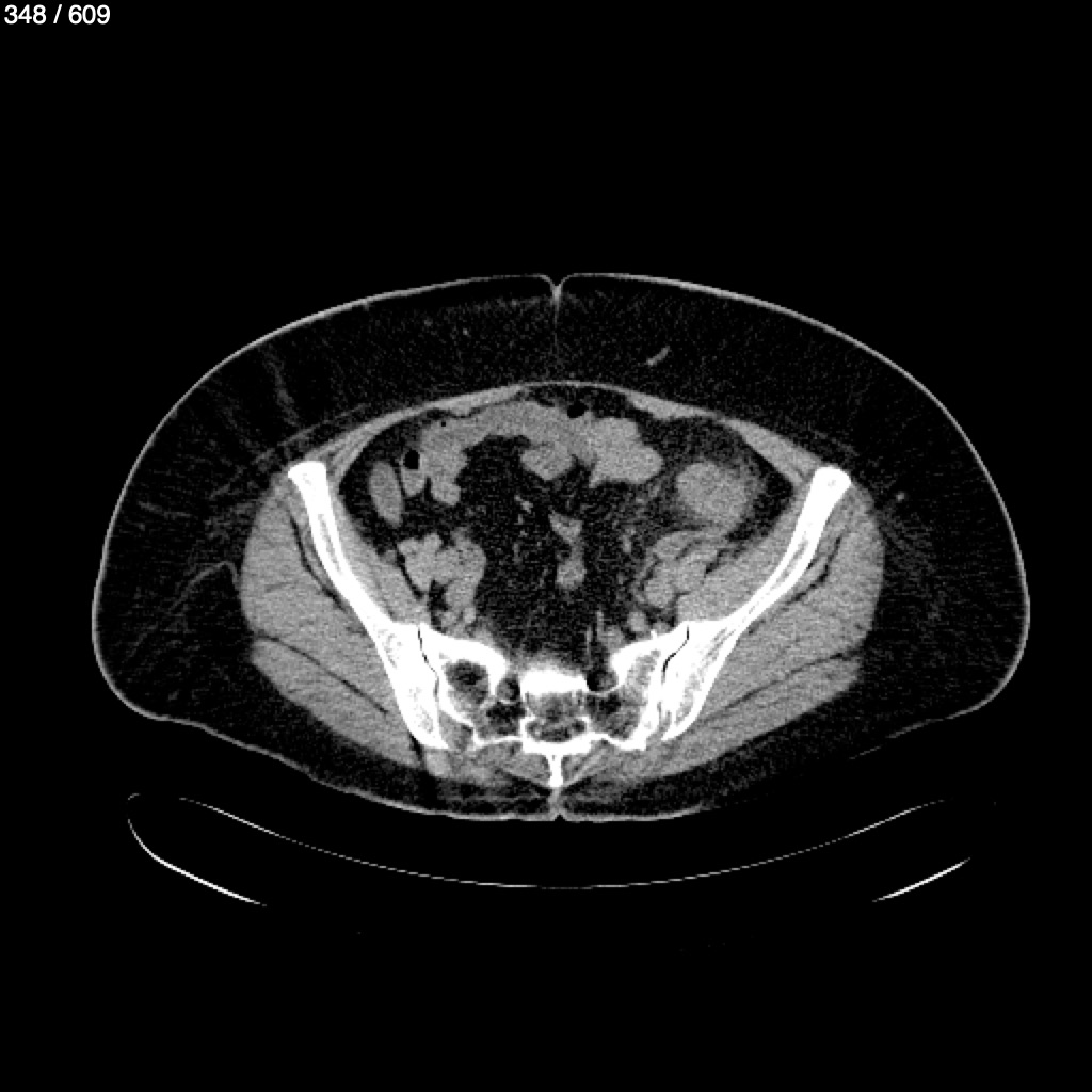
Antonia Castro Alvarez - Abdomen Abdomen_Syc (Adulto)
Next Series
Show as Sequence