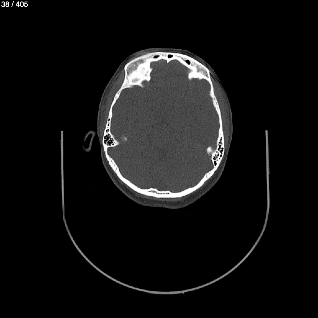
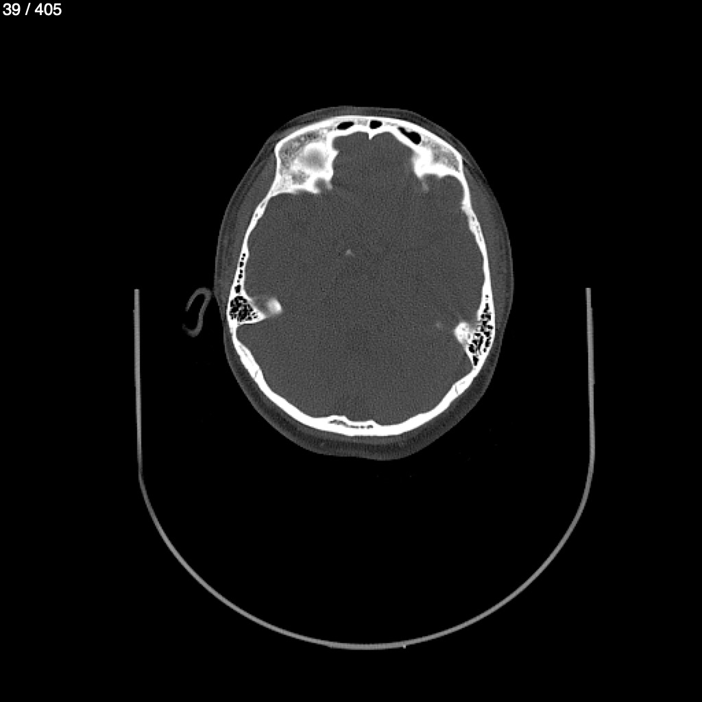
Home A​n​a​ ​M​a​r​i​a​ ​L​o​p​e​z​ ​L​o​p​e​z​ ​-​ ​C​a​b​e​z​a​ ​S​i​m​p​l​e​c​r​a​n​e​o​ ​(​A​d​u​l​t​o​)