HUIXTLA
ESCUINTLA
AKISHINO
AKISHINO2 USG
ESPECIALIDADES
Home
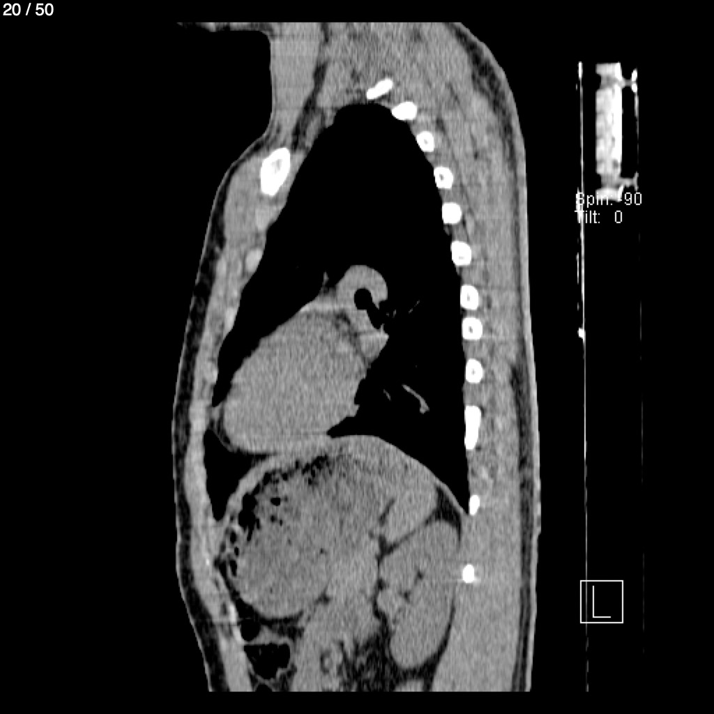
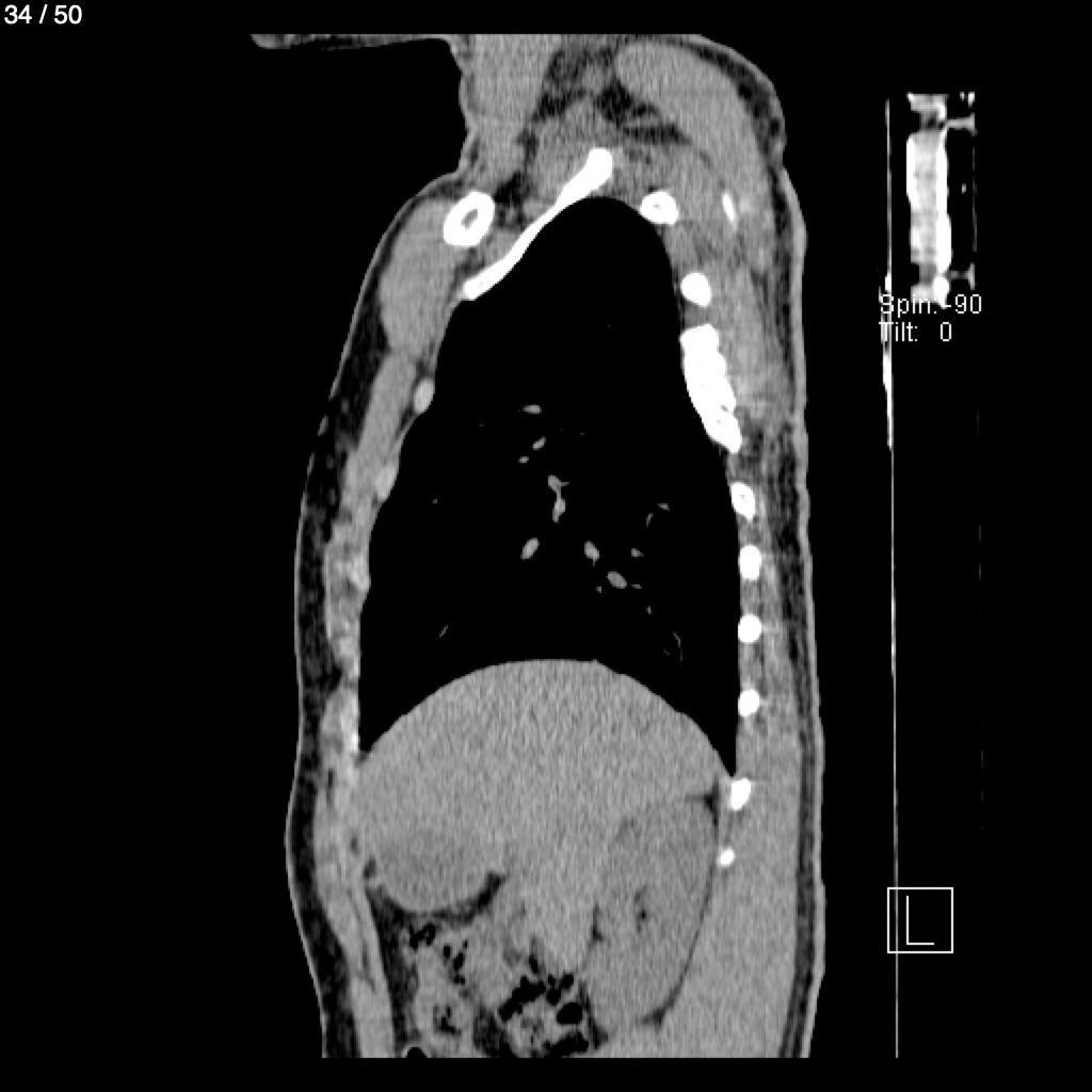
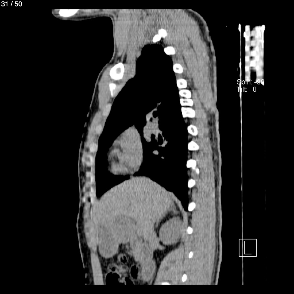
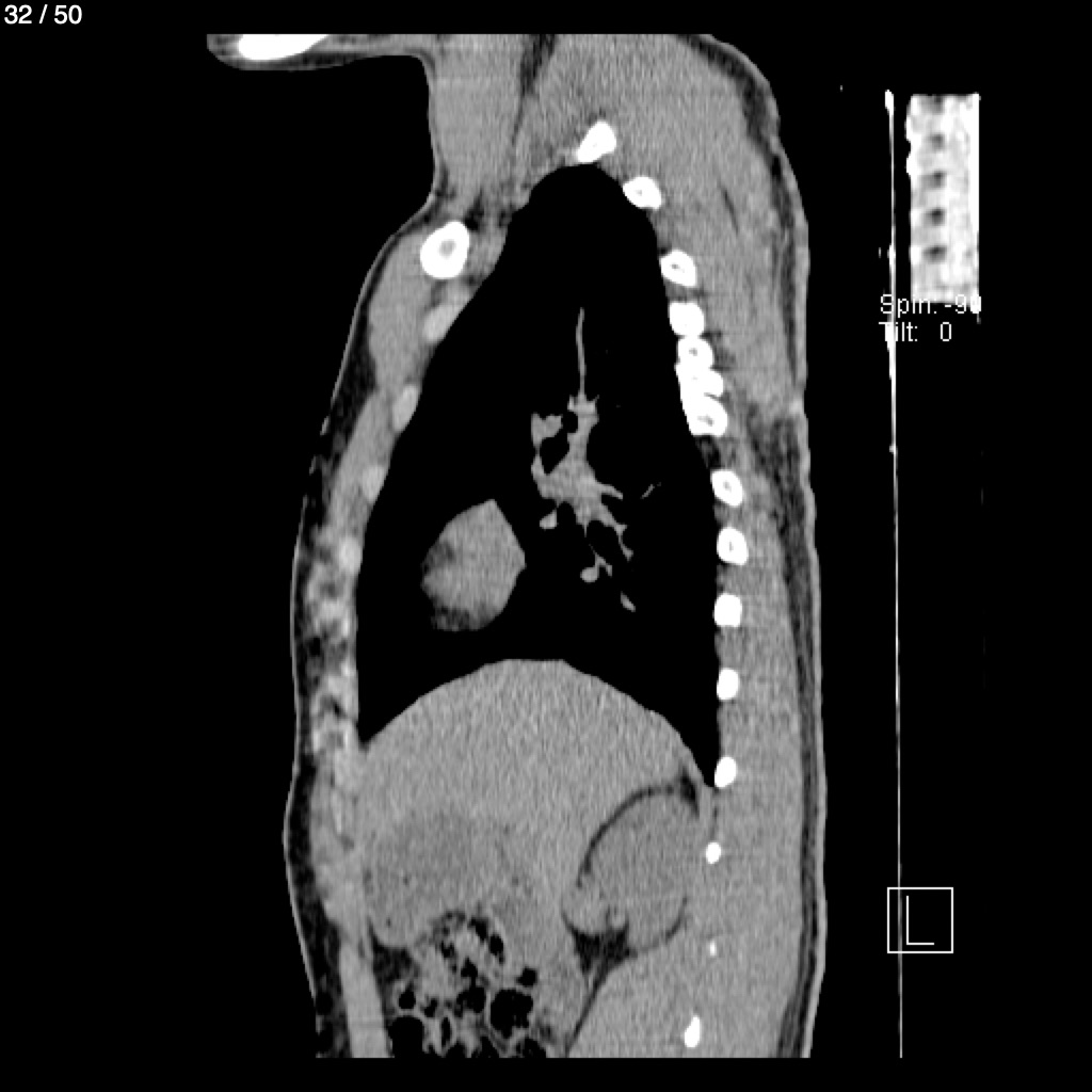
Branden Alberto Noyola Diaz - Tórax Torax_Simple (Adulto)
Previous Series
Next Series
Show as Sequence