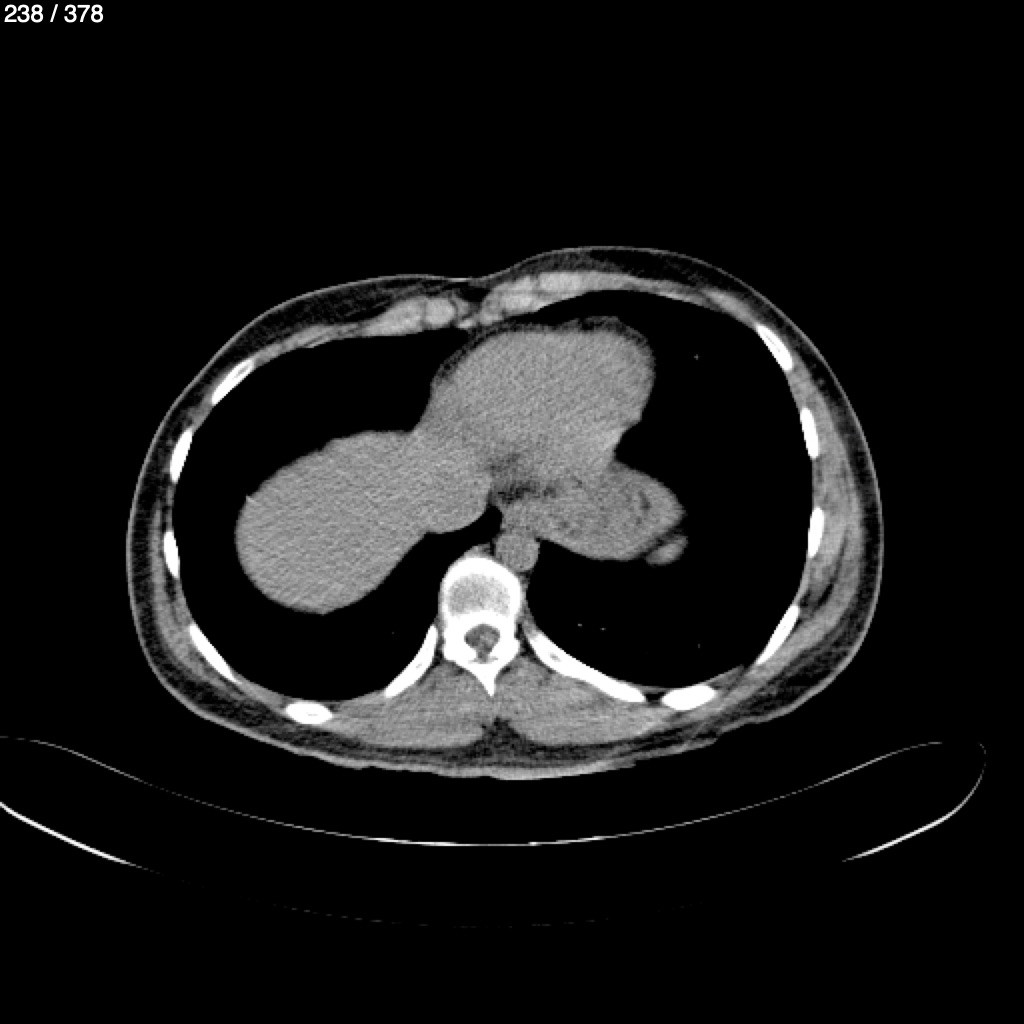
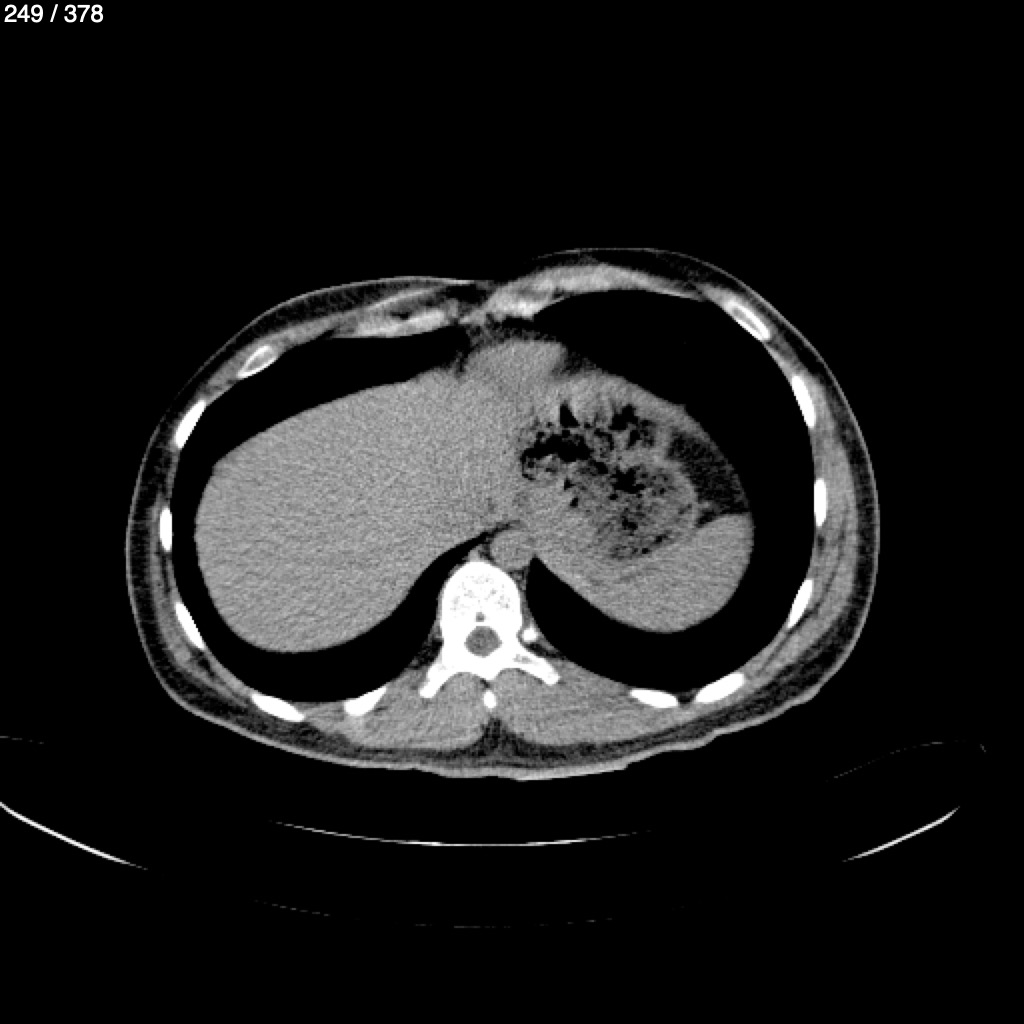
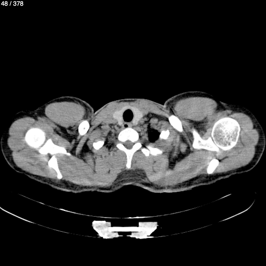
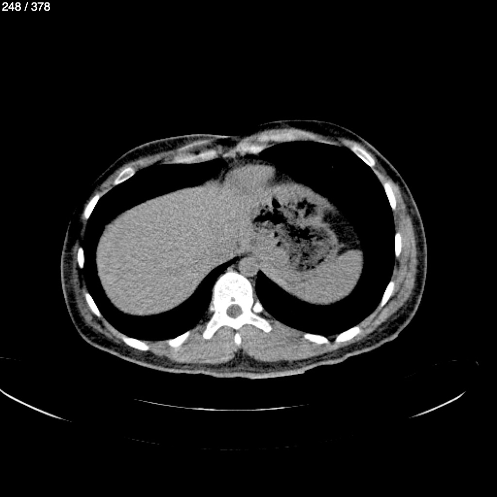
Home B​r​a​n​d​e​n​ ​A​l​b​e​r​t​o​ ​N​o​y​o​l​a​ ​D​i​a​z​ ​-​ ​T​ó​r​a​x​ ​T​o​r​a​x​_​S​i​m​p​l​e​ ​(​A​d​u​l​t​o​)