HUIXTLA
ESCUINTLA
AKISHINO
AKISHINO2 USG
ESPECIALIDADES
Home
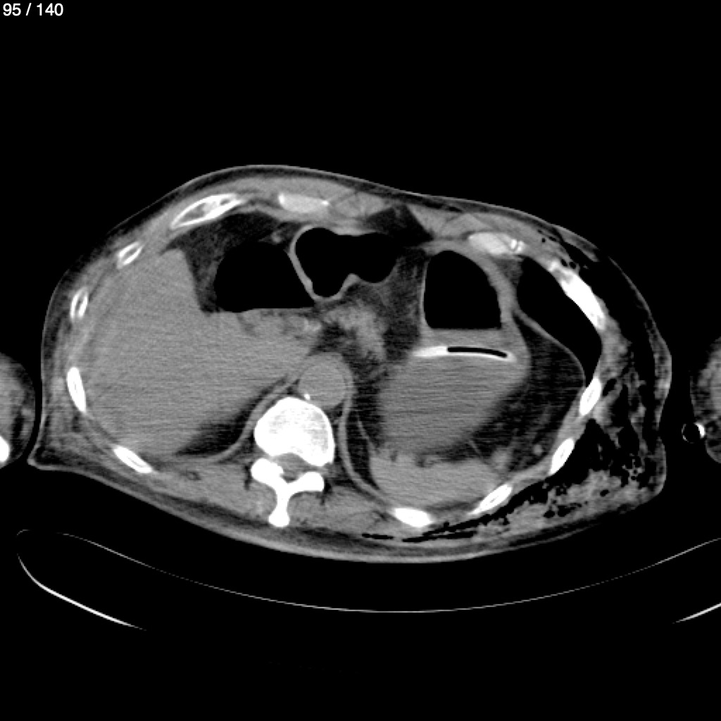
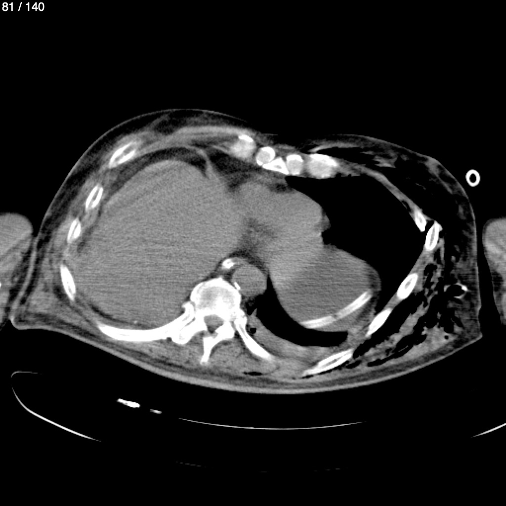
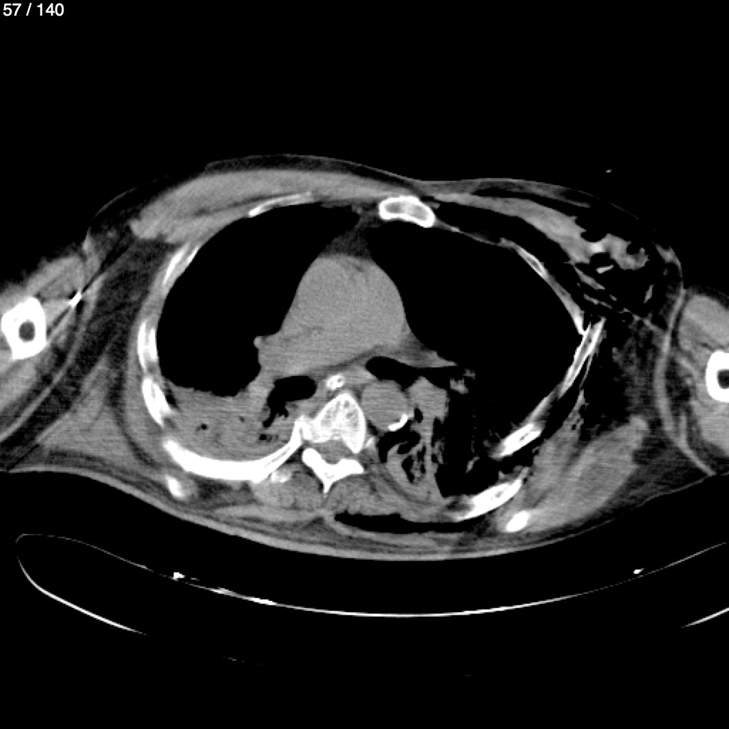
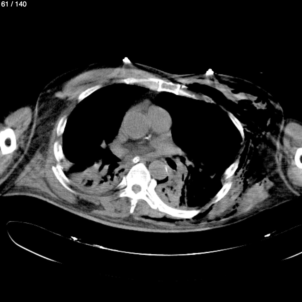
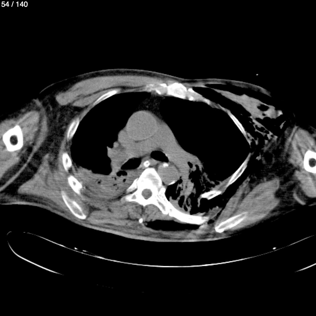
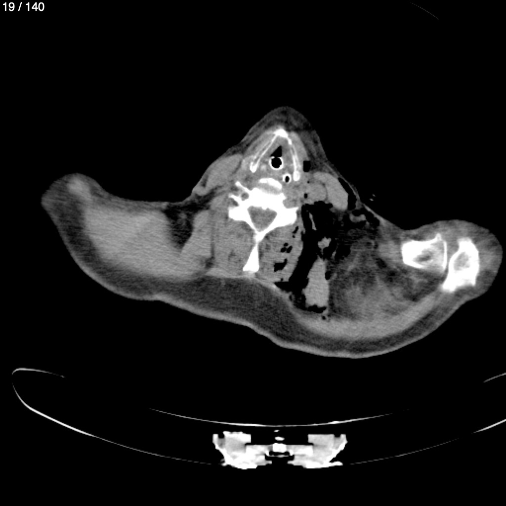
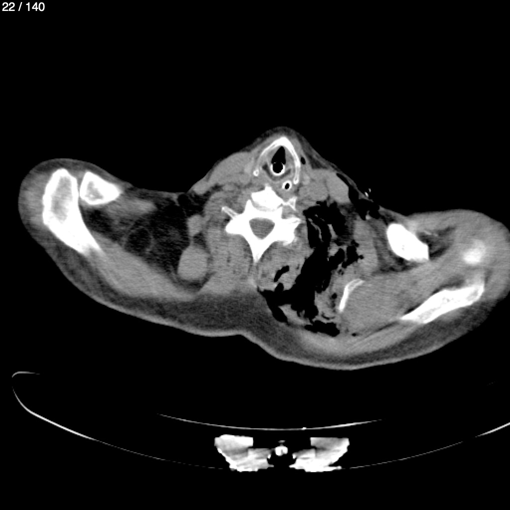
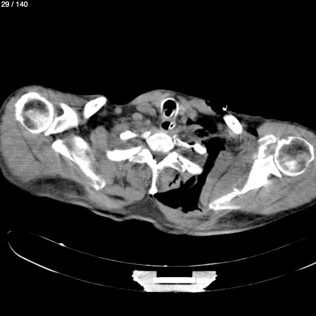
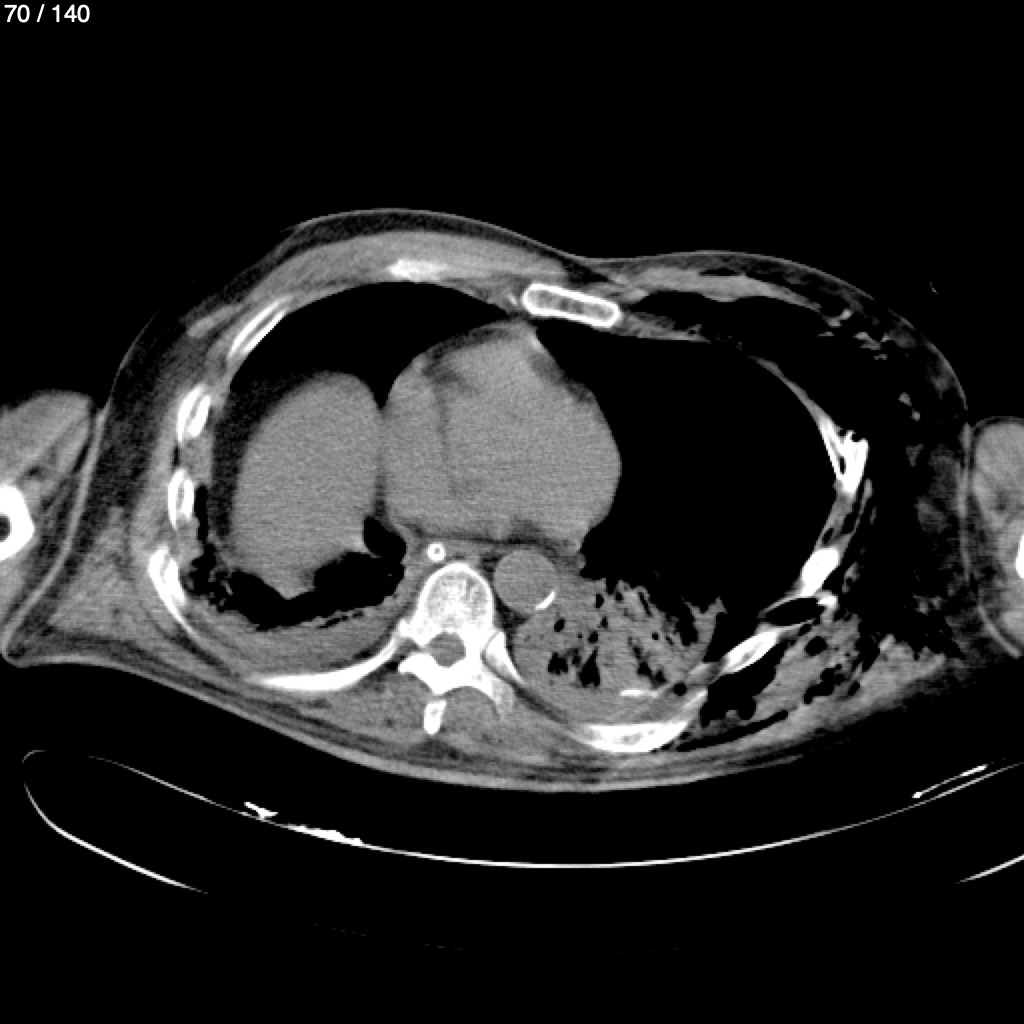
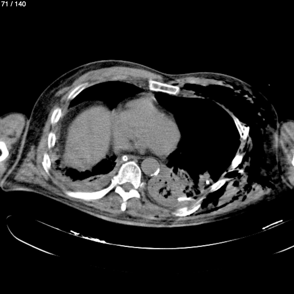
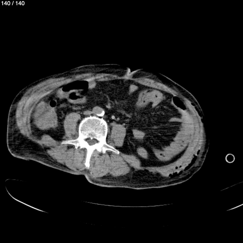
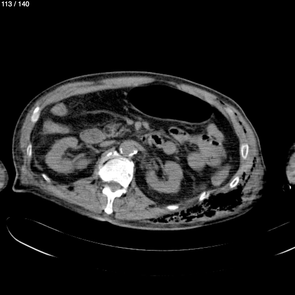
Alejandro Aroldo De Leon Gonzalez - Tórax Torax_Simple (Adulto)
Next Series
Show as Sequence