HUIXTLA
ESCUINTLA
AKISHINO
AKISHINO2 USG
ESPECIALIDADES
Home
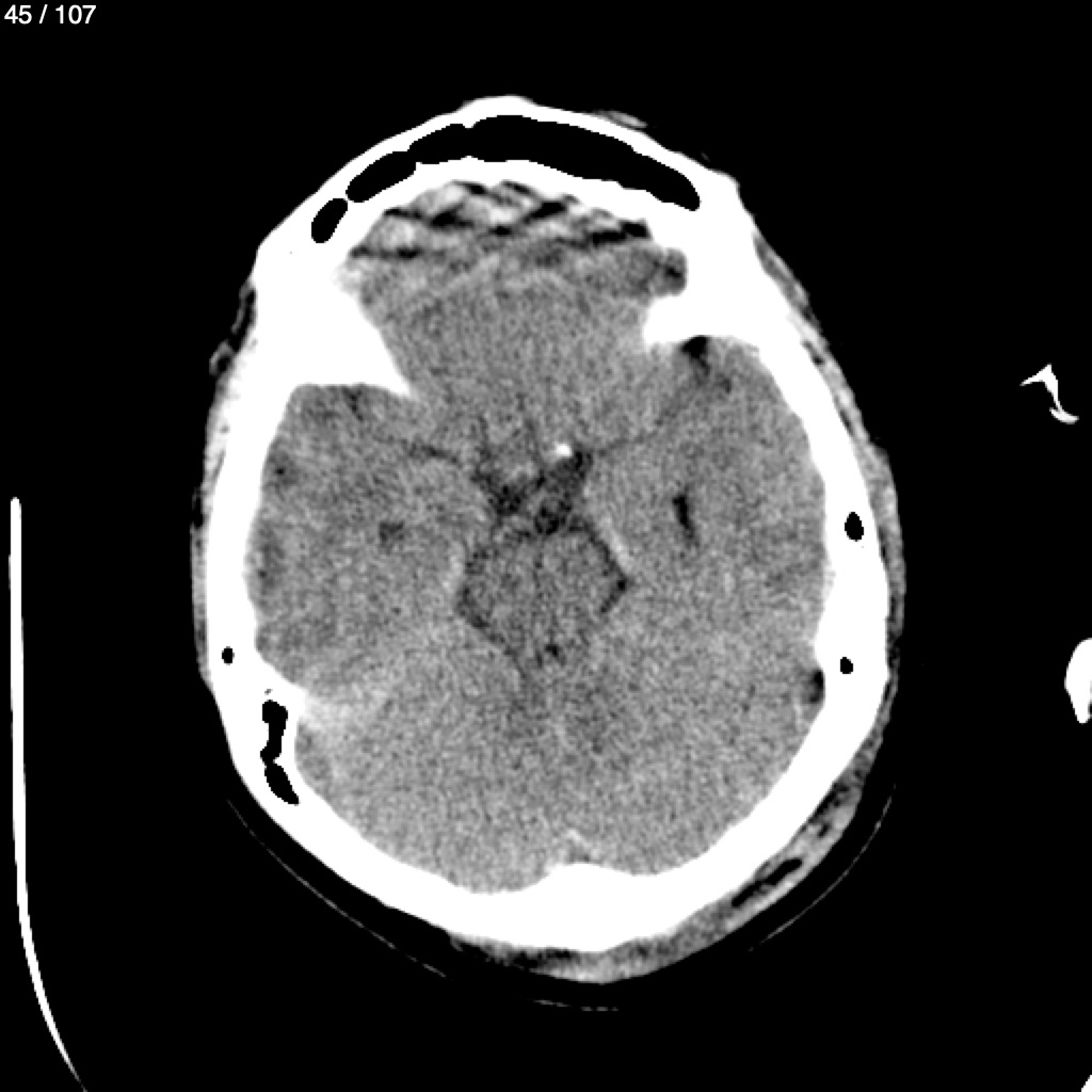
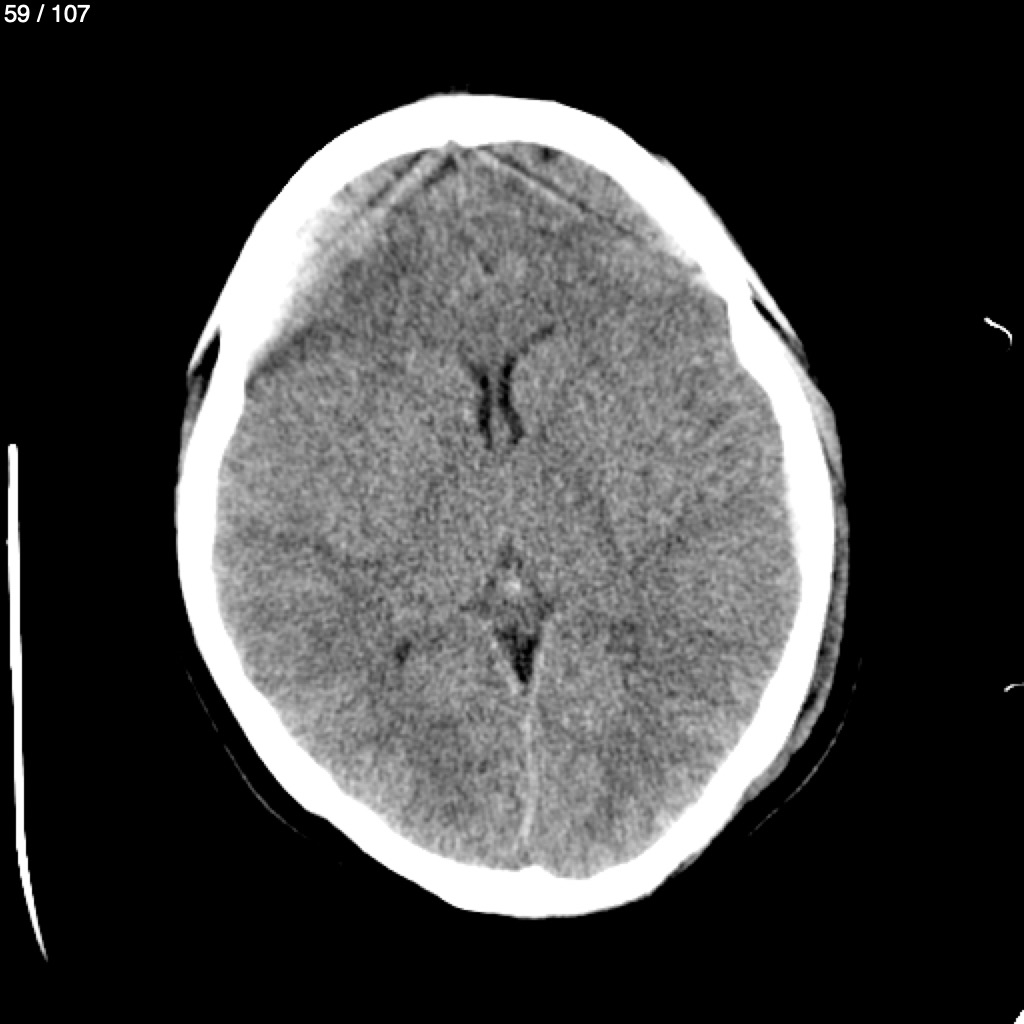
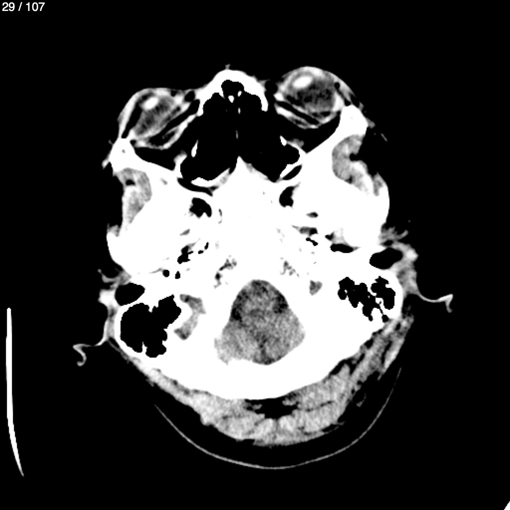
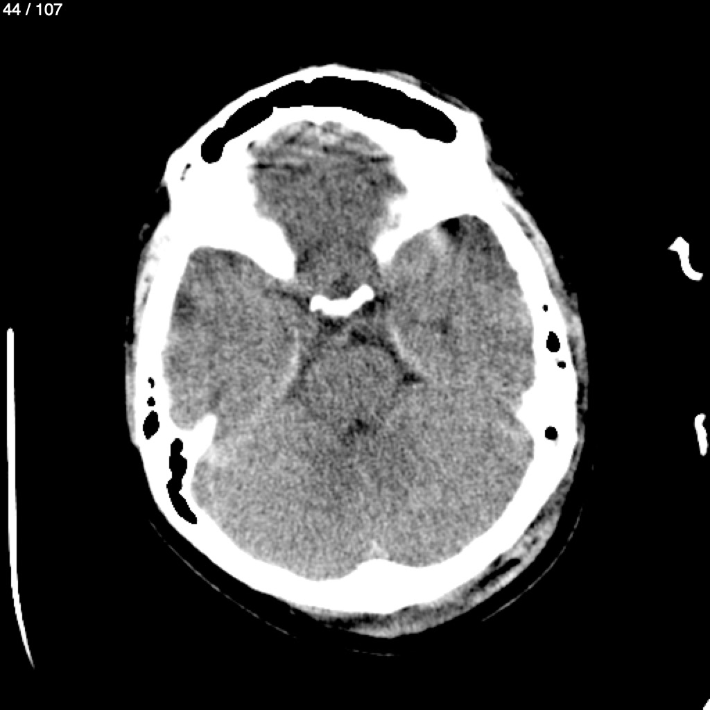
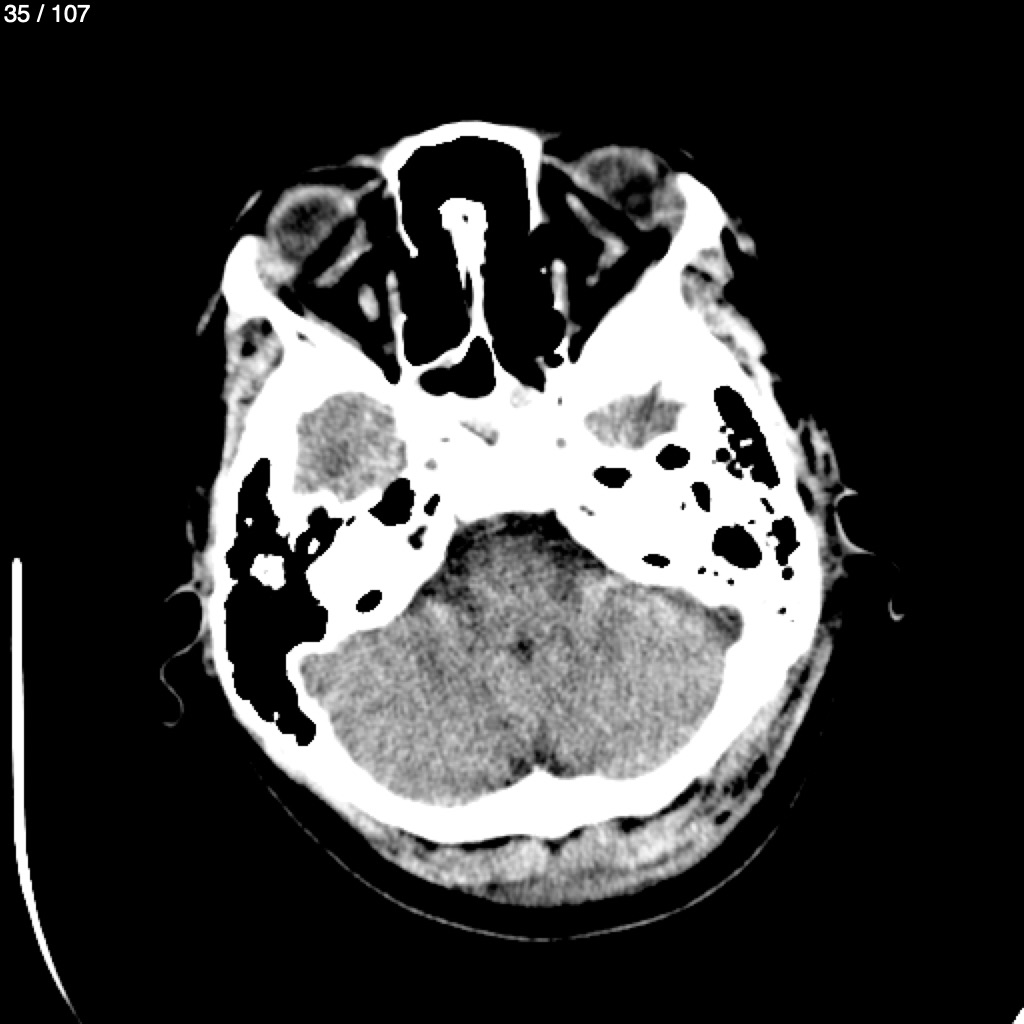
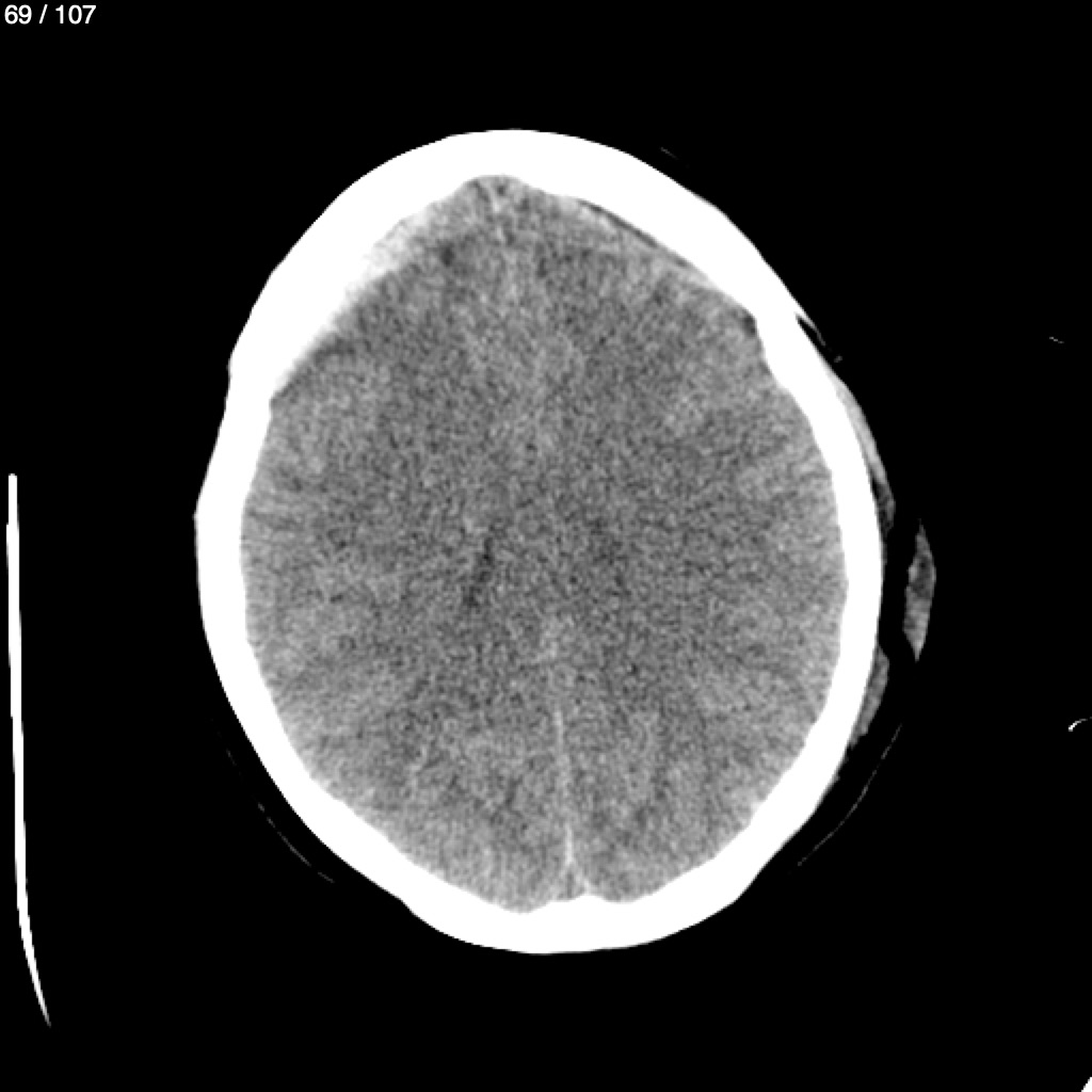
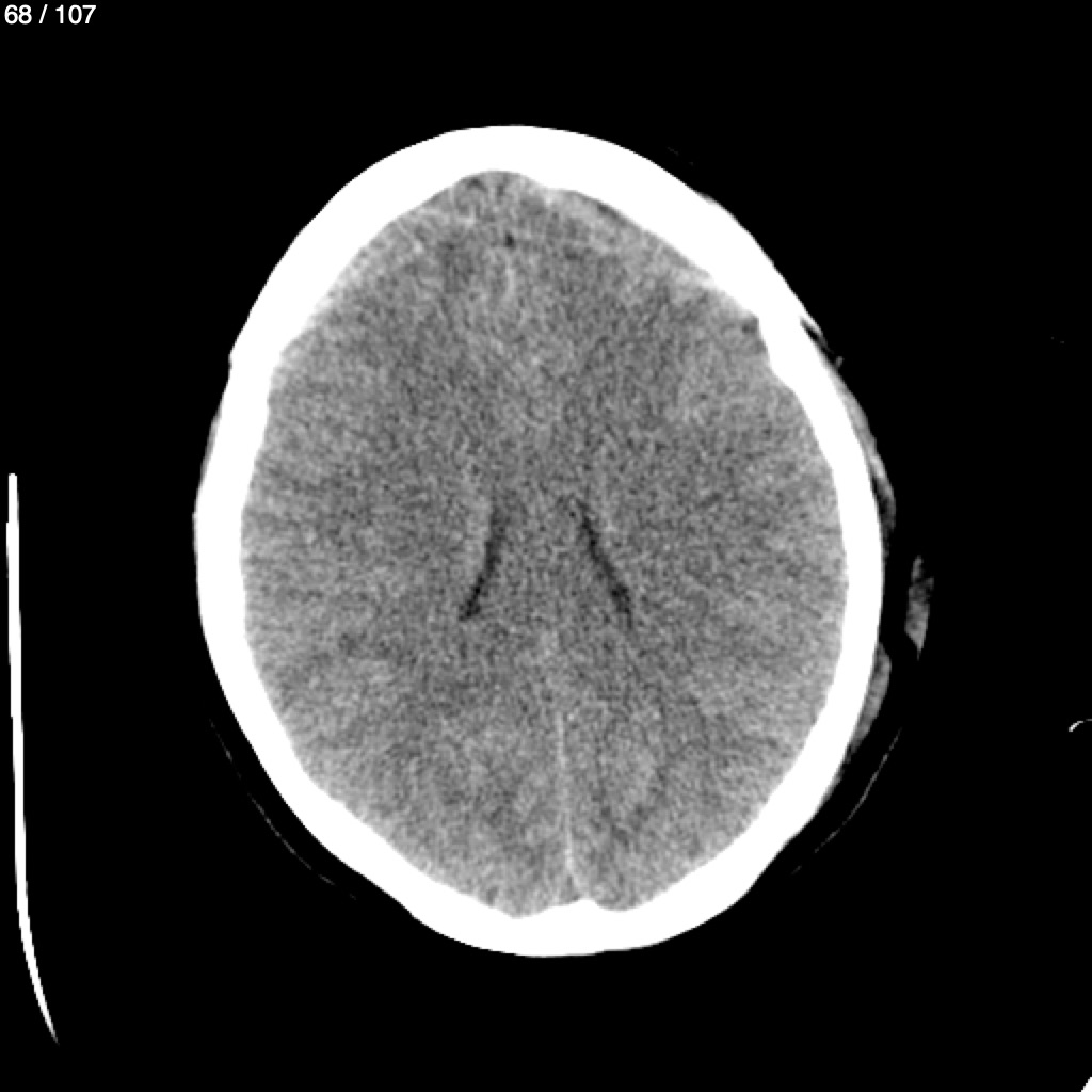
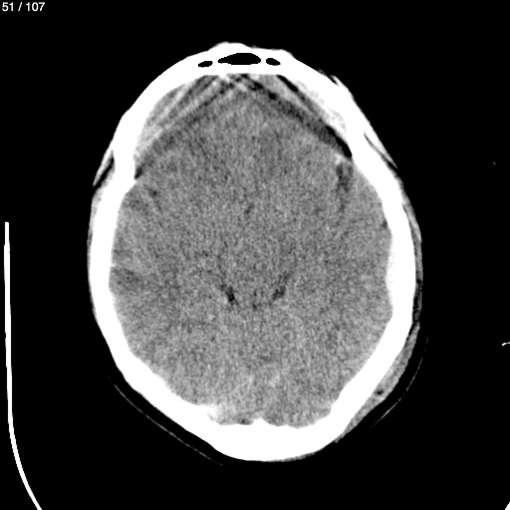
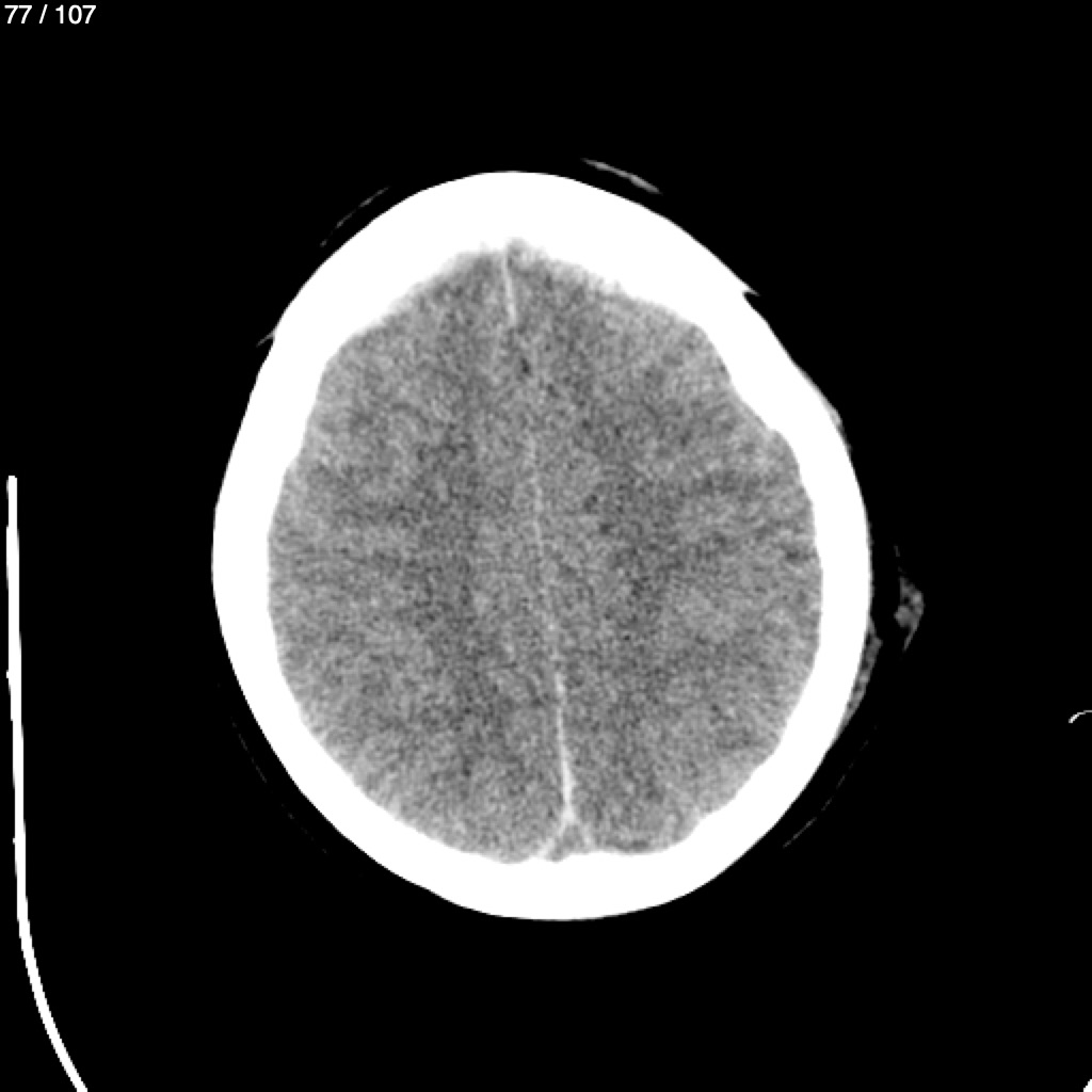
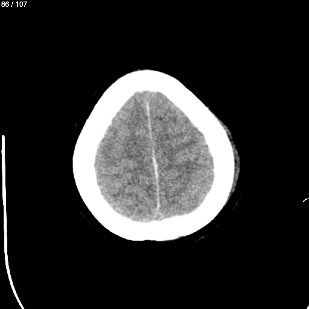
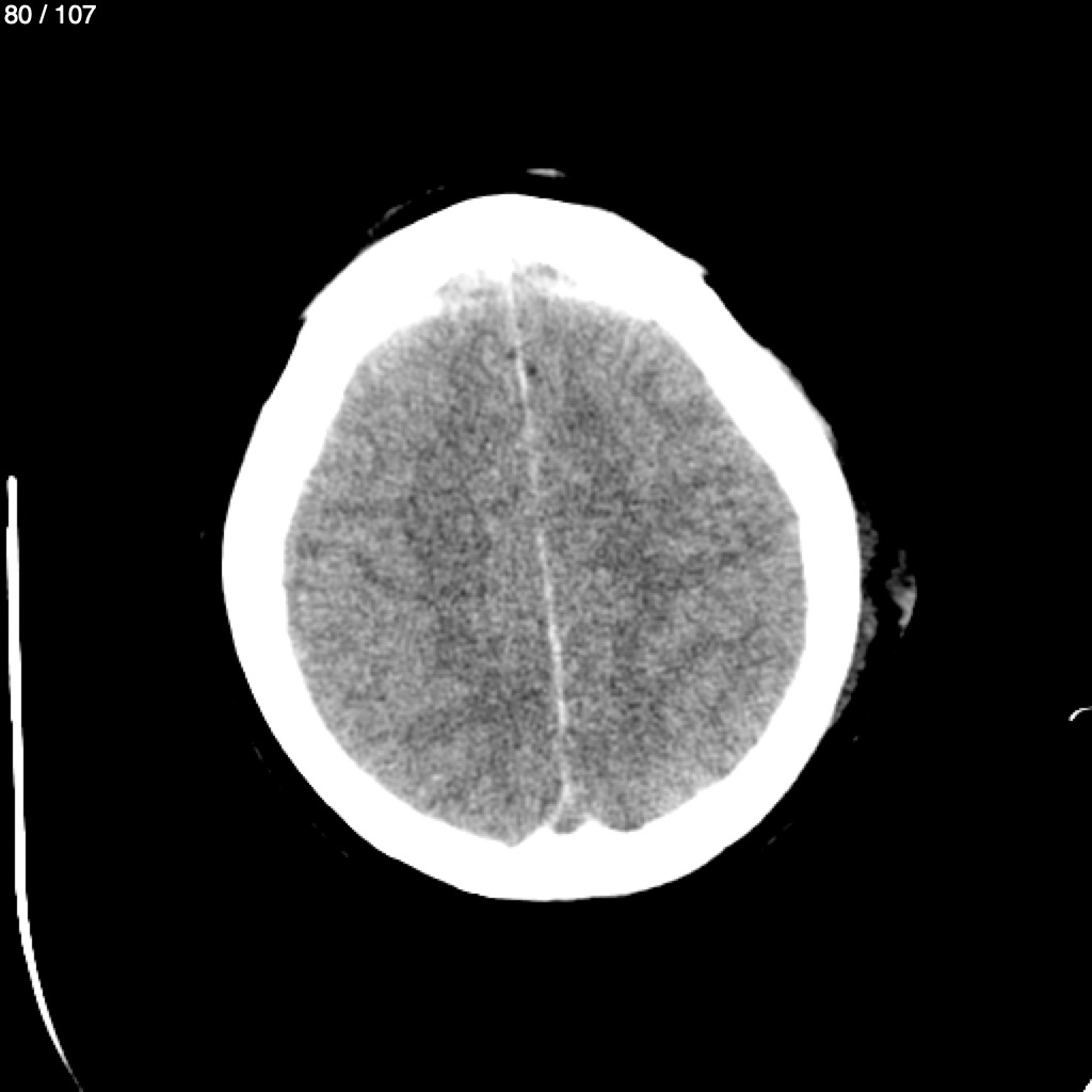
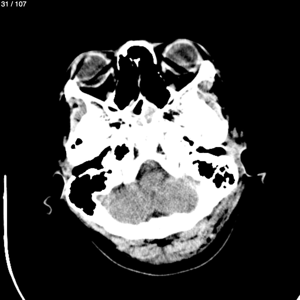
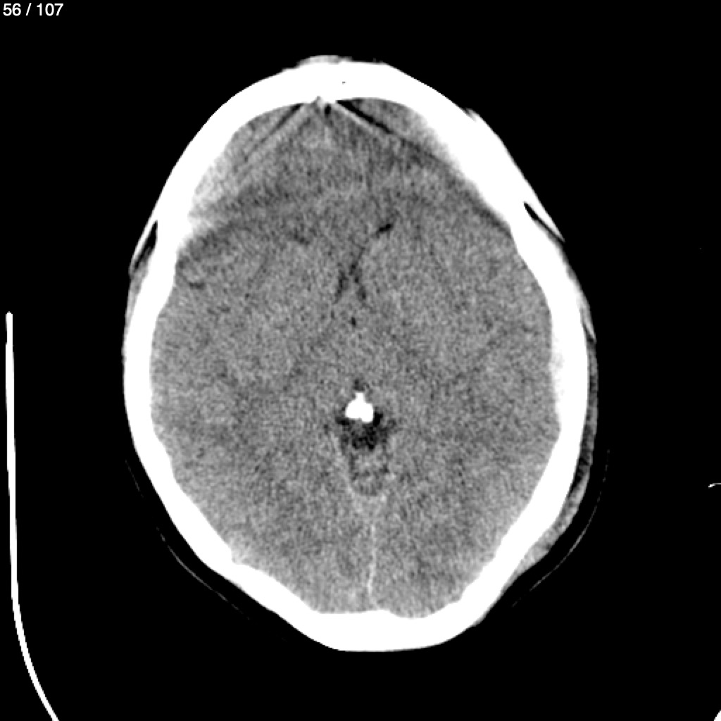
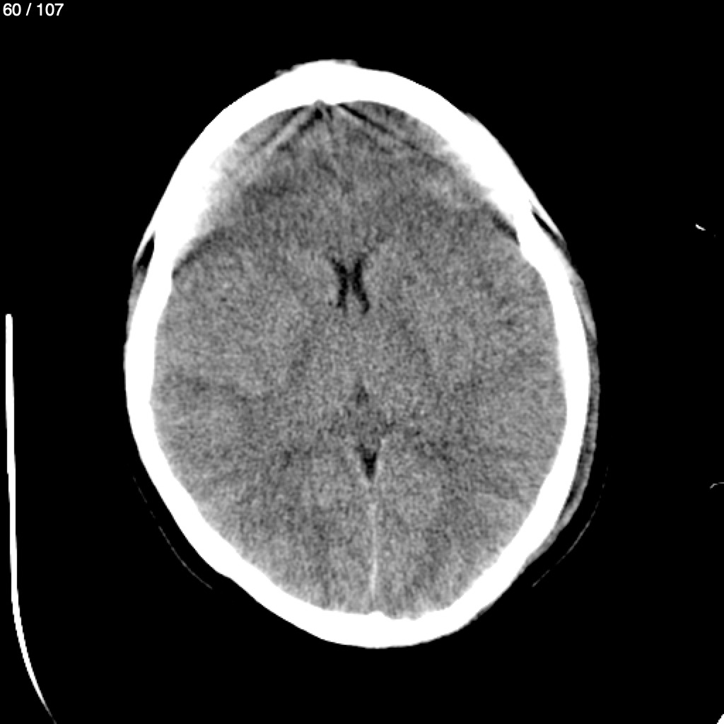
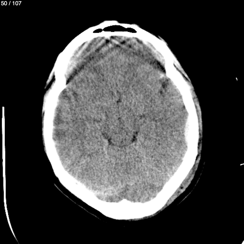
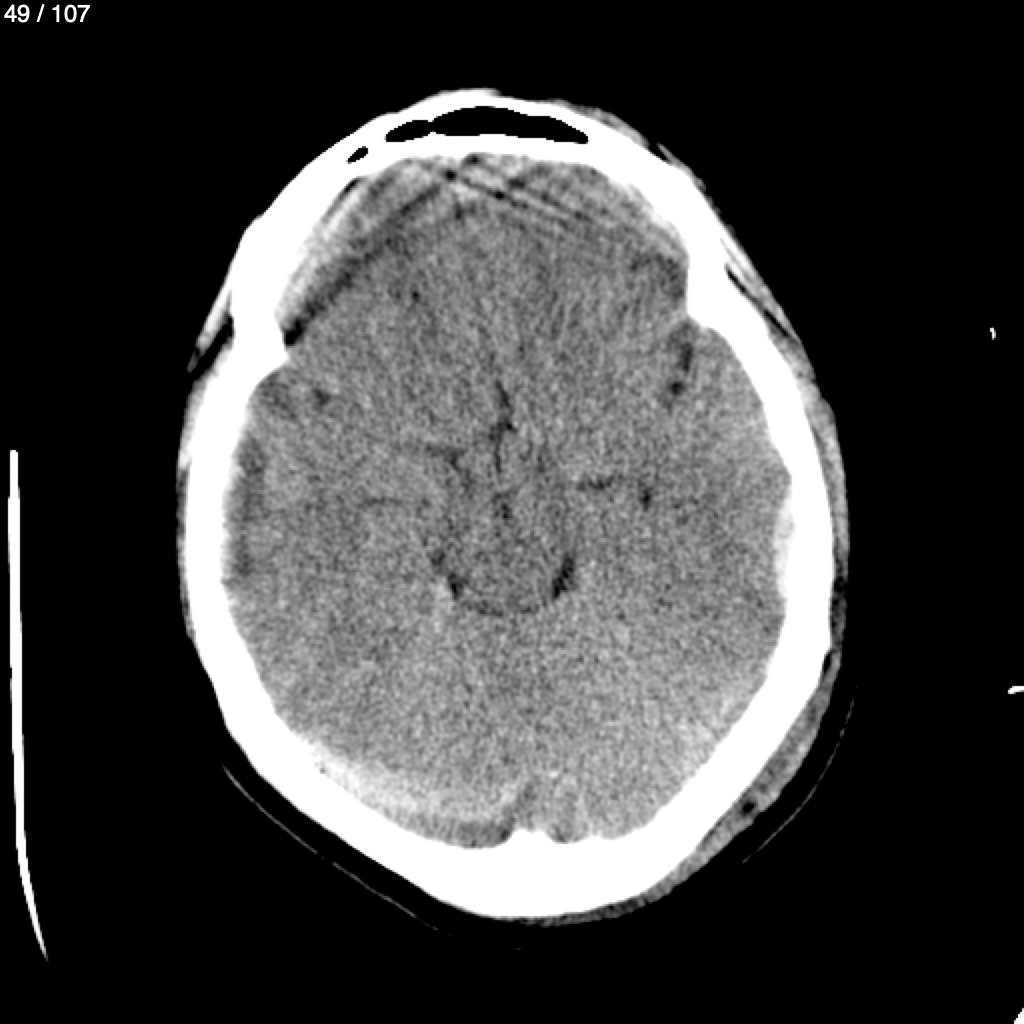
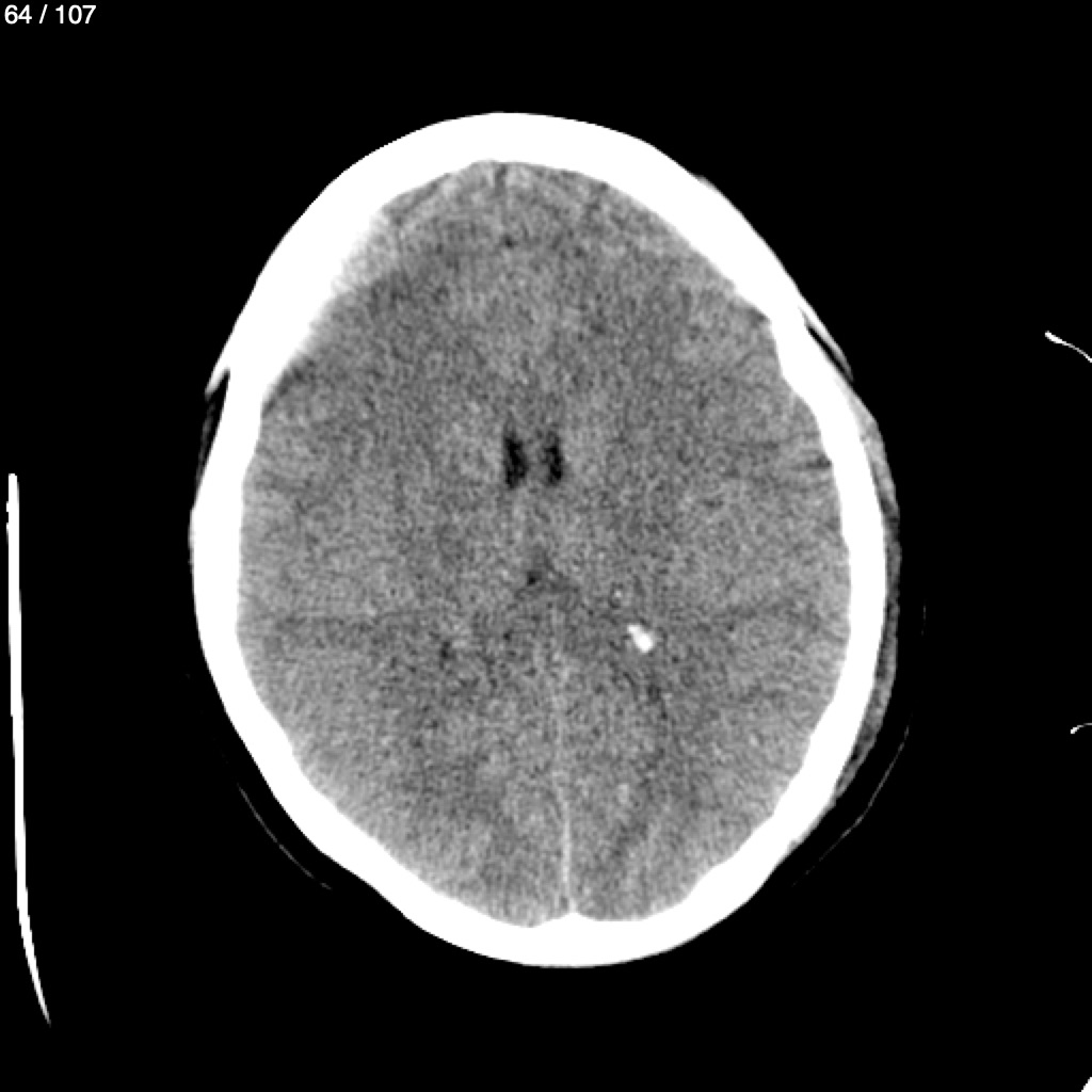
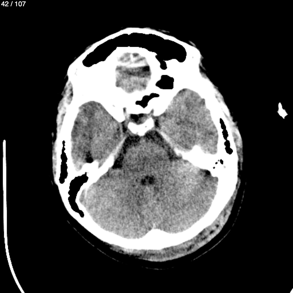
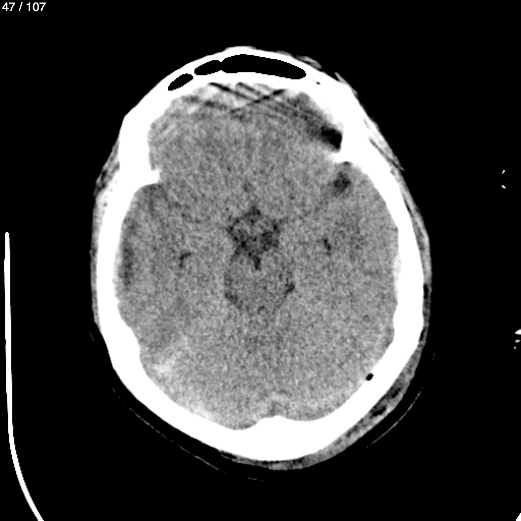
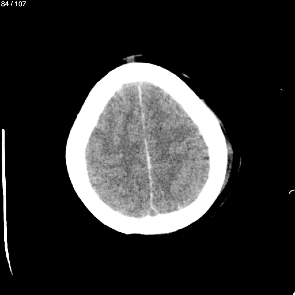
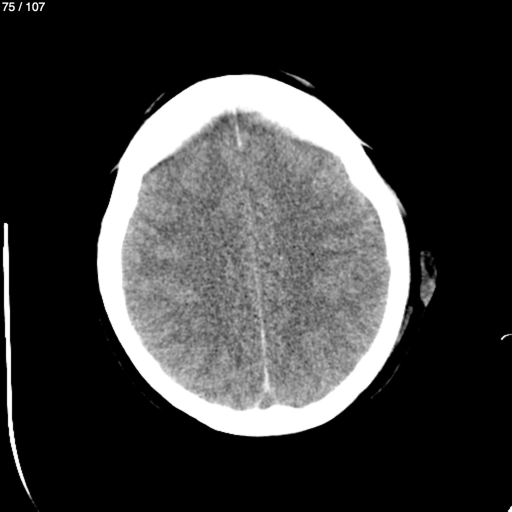
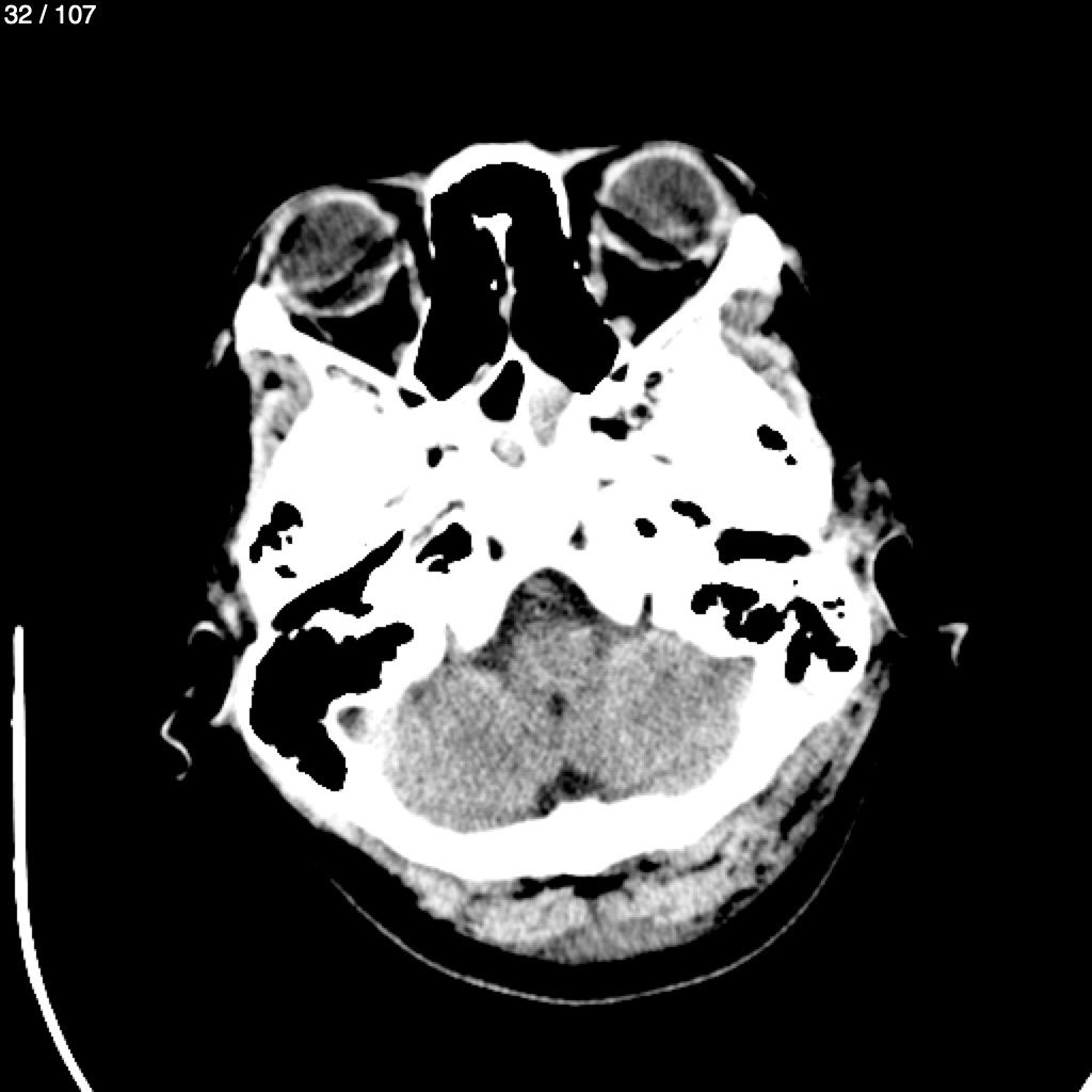
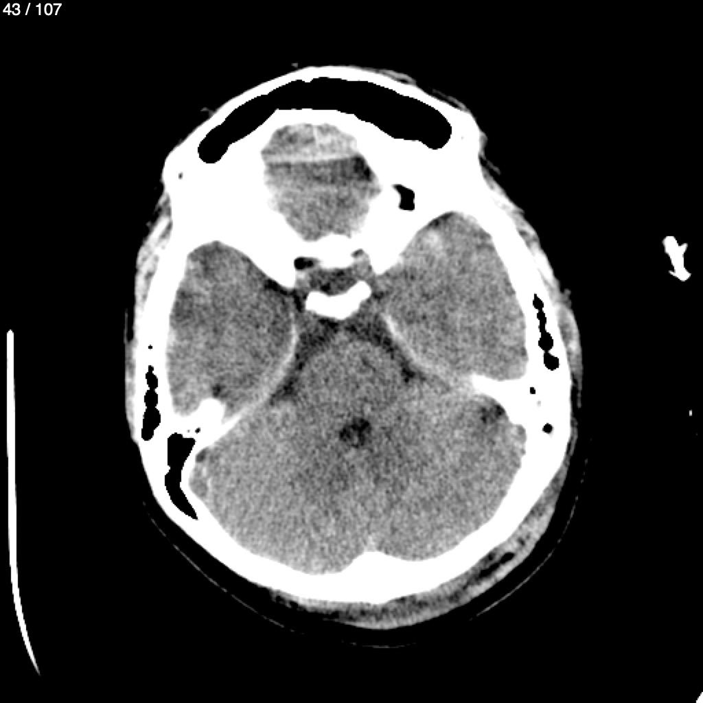
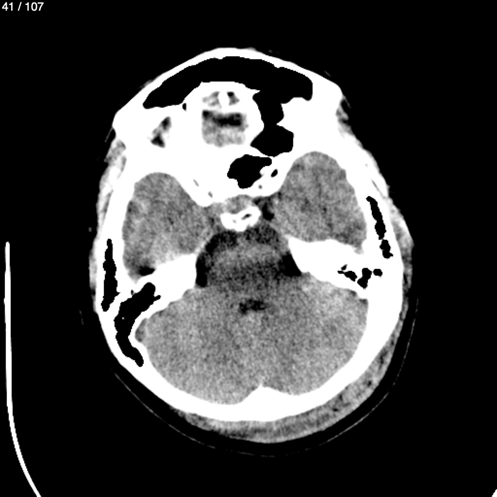
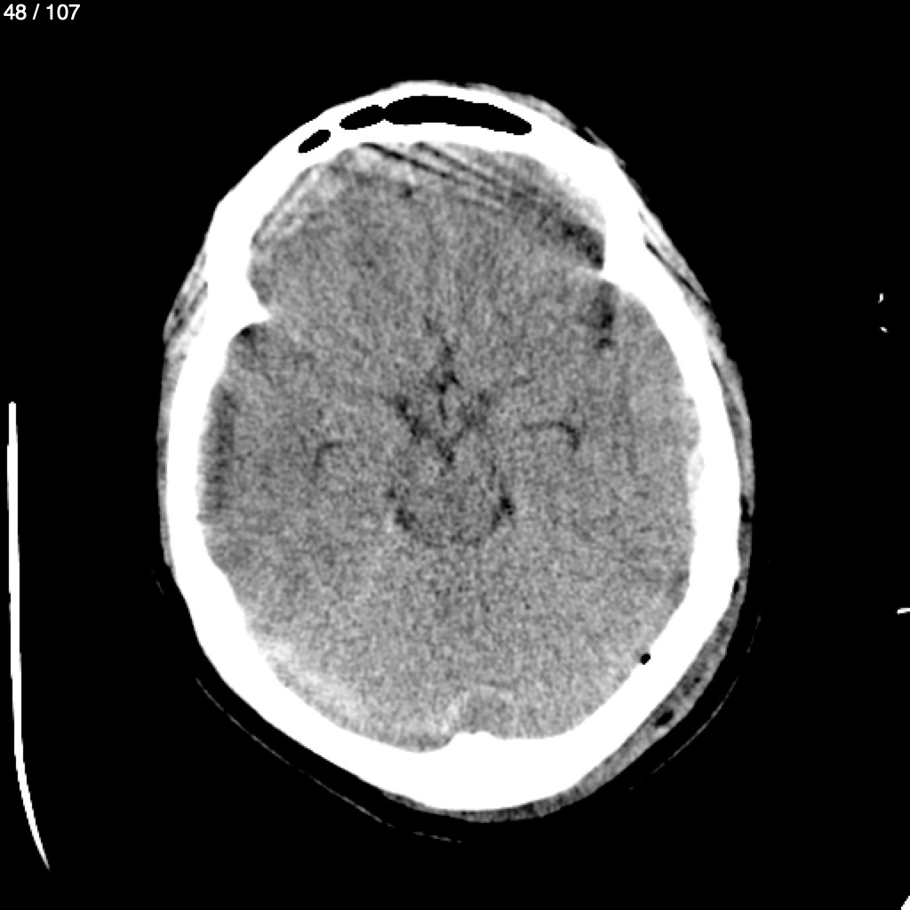
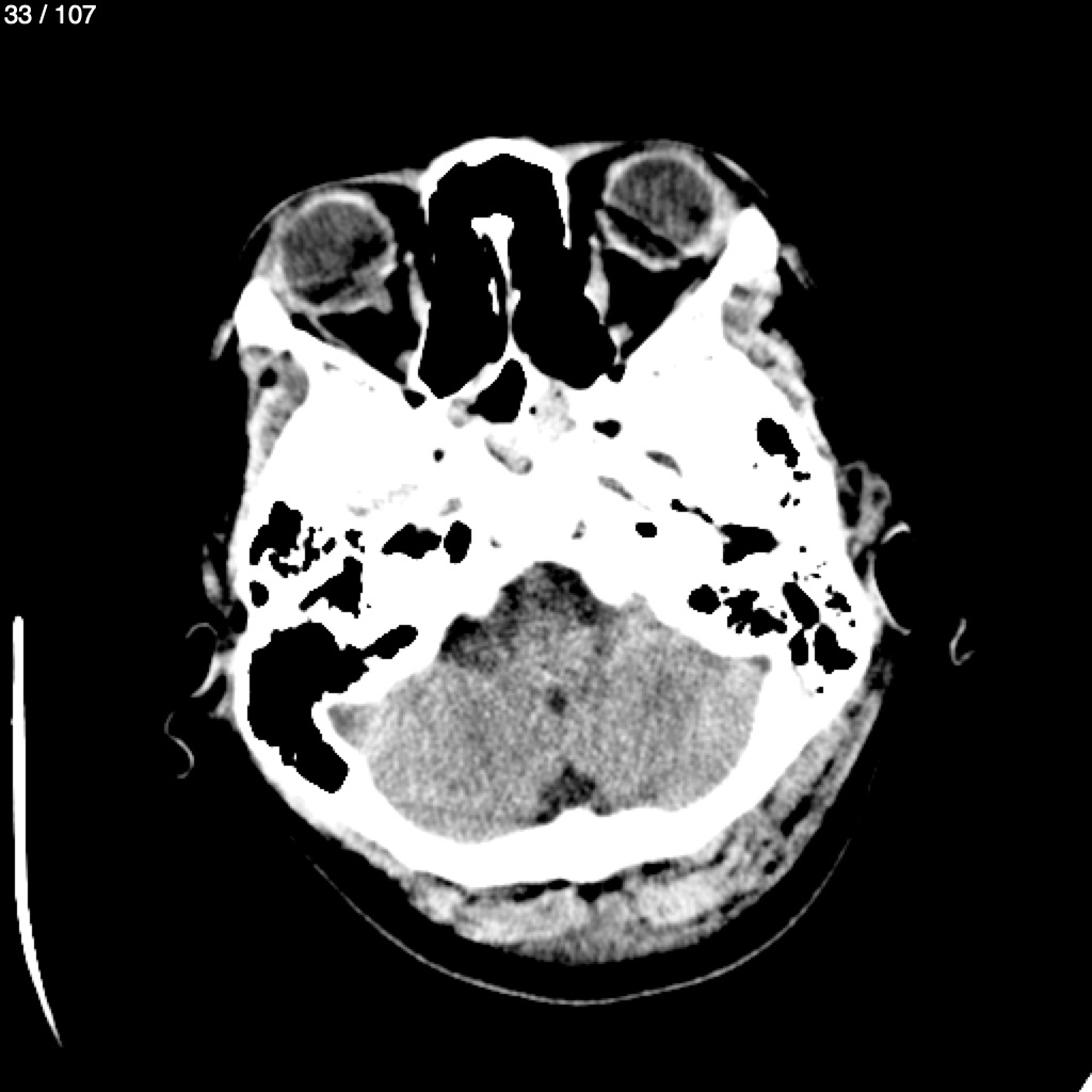
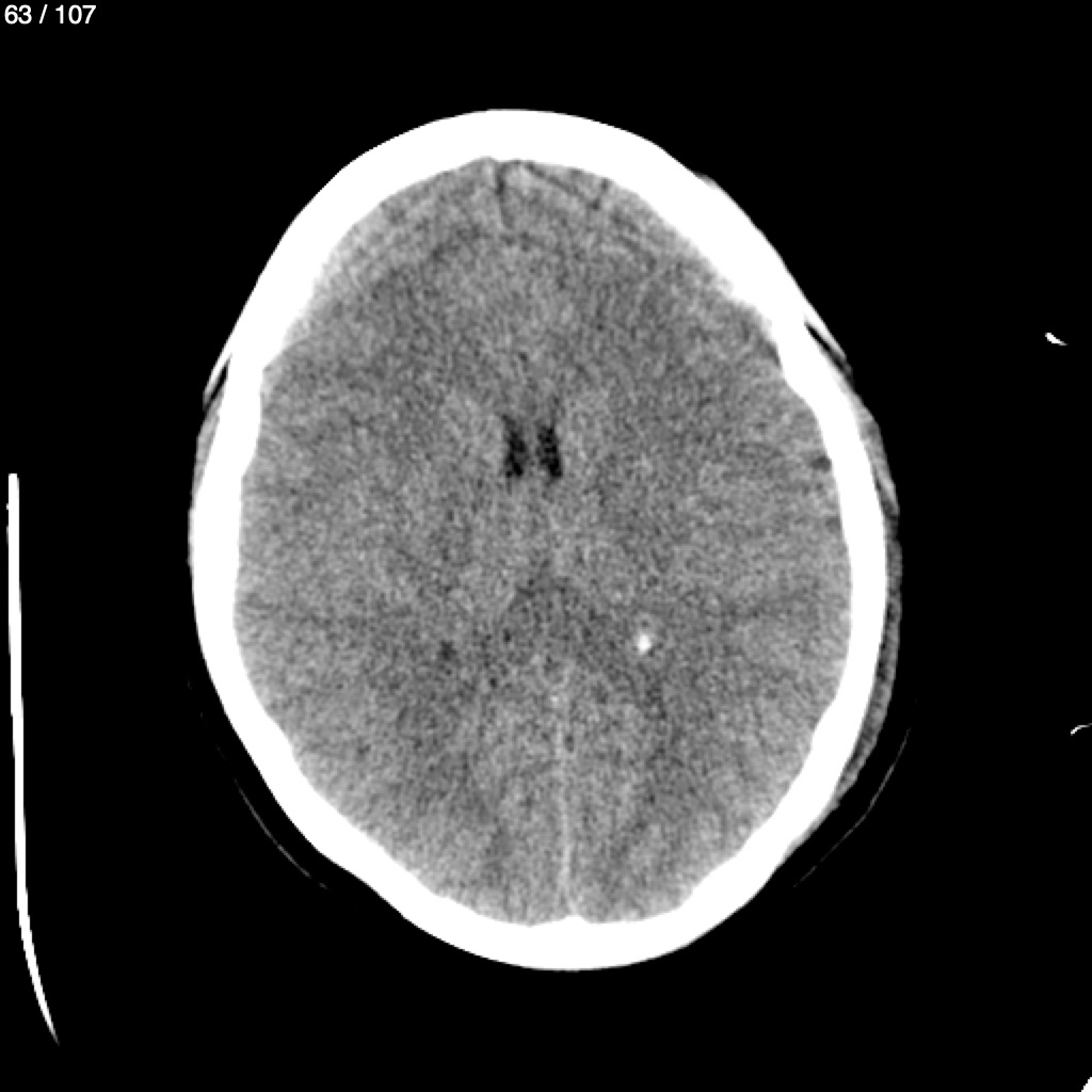
Anayeli Garcia Mendez - Cabeza Craneo_Trauma (Adulto)
Previous Series
Next Series
Show as Sequence