HUIXTLA
ESCUINTLA
AKISHINO
AKISHINO2 USG
ESPECIALIDADES
Home
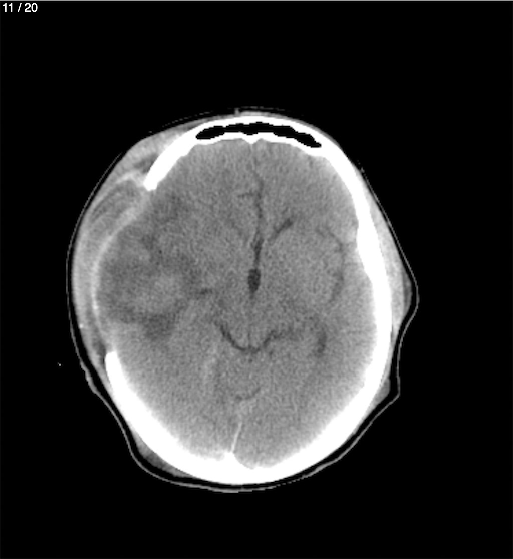
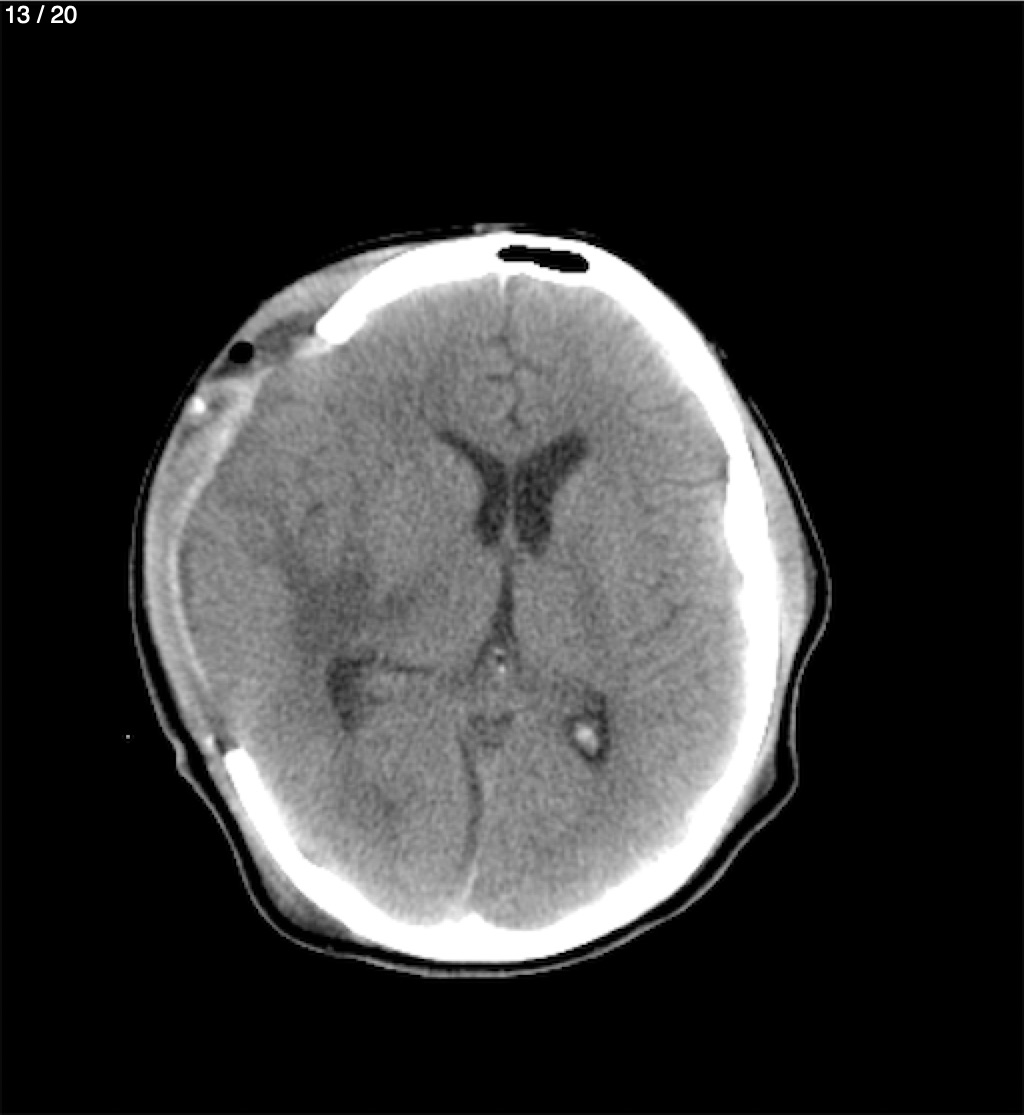
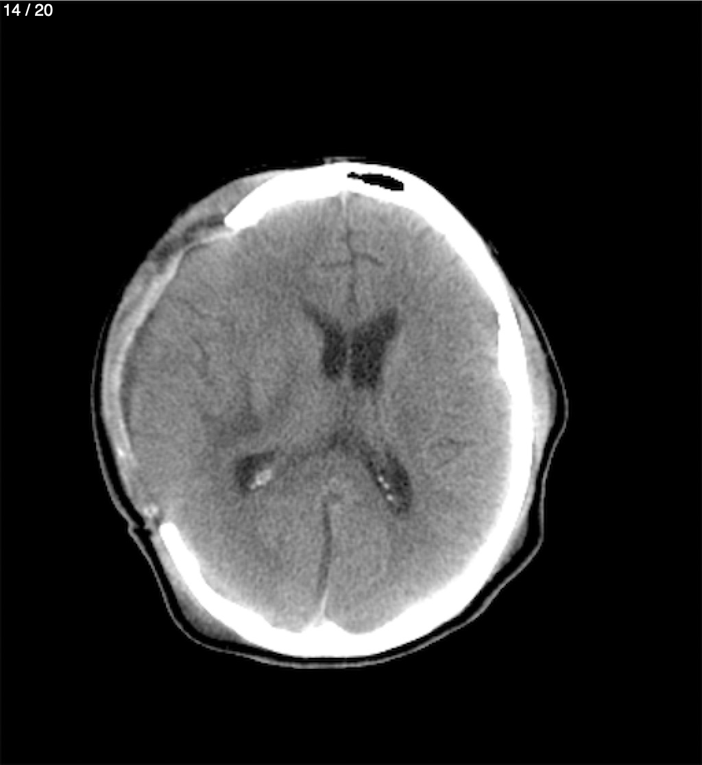
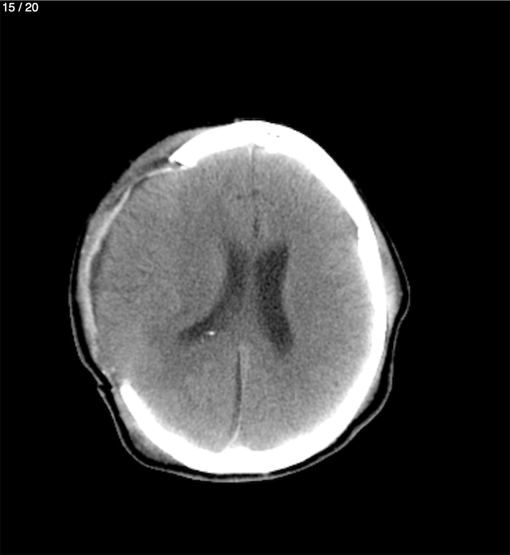
Miguel Angel Rasgado 19A - E+1
Previous Series
Next Series
Show as Sequence