HUIXTLA
ESCUINTLA
AKISHINO
AKISHINO2 USG
ESPECIALIDADES
Home
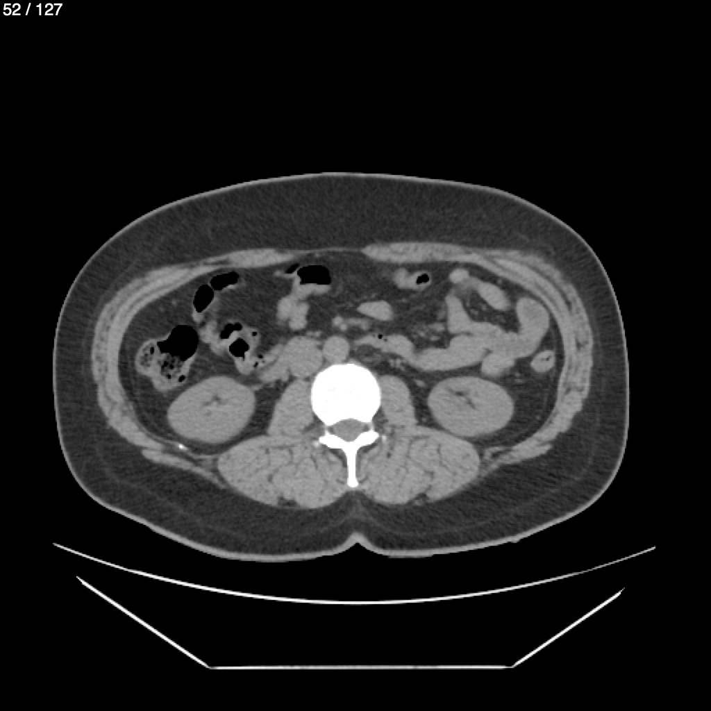
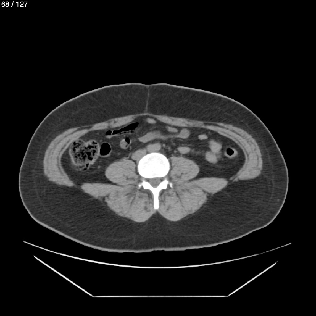
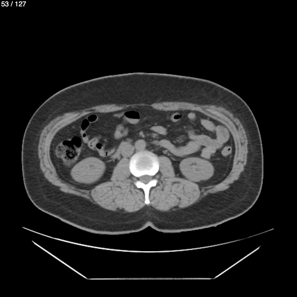
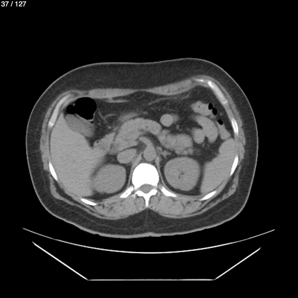
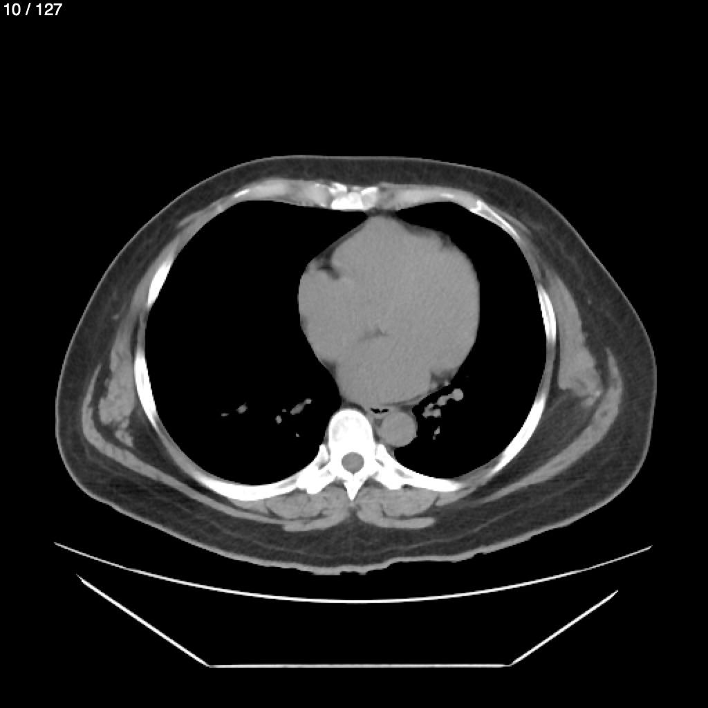
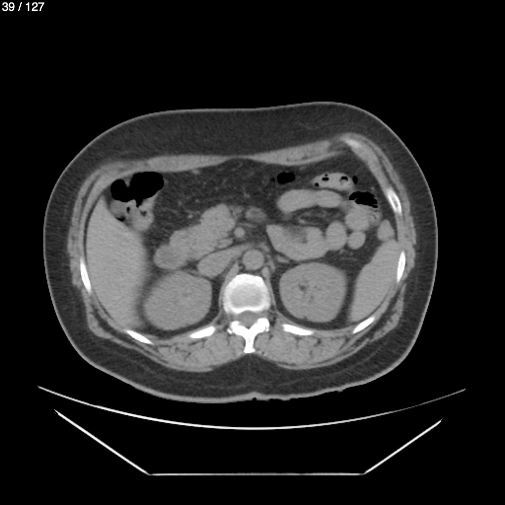
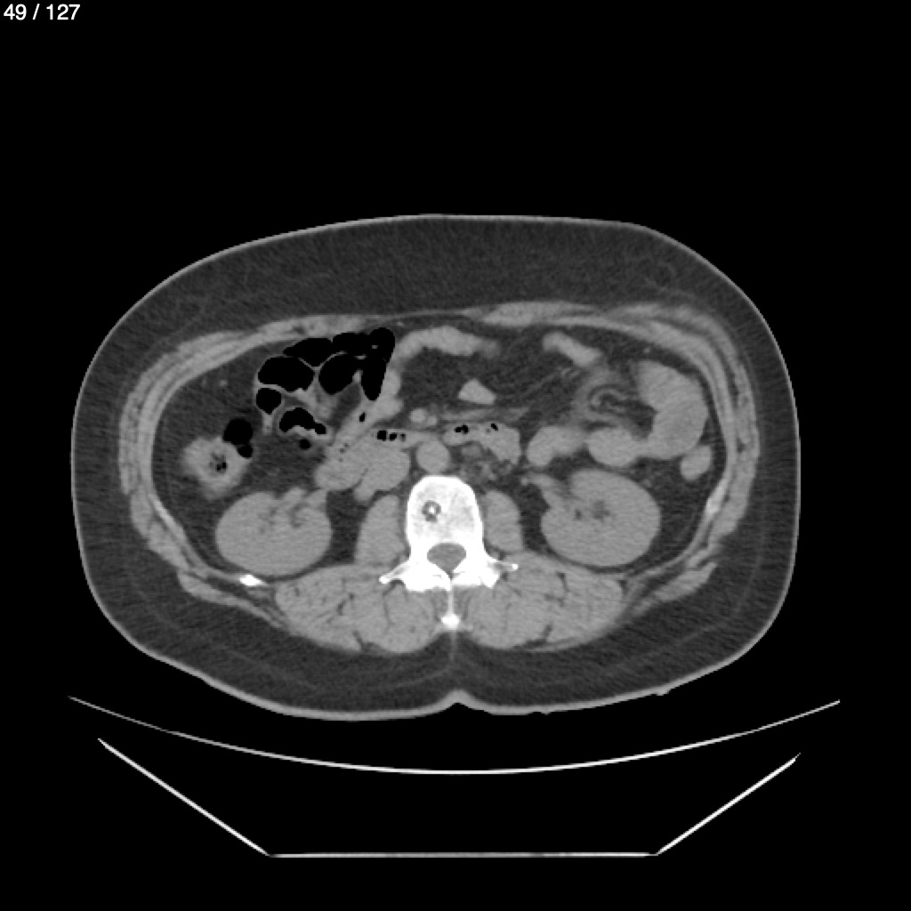
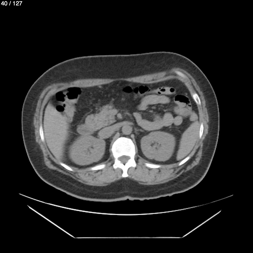
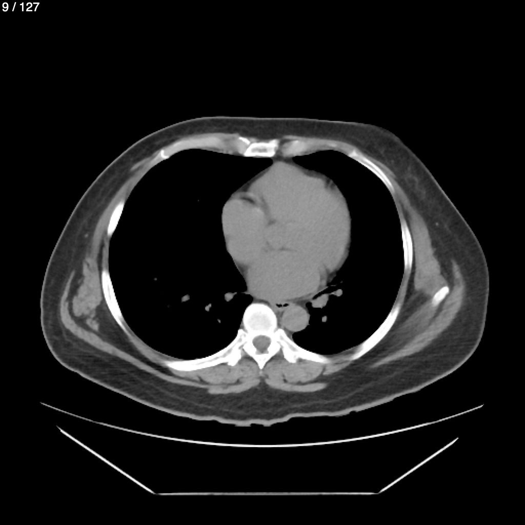
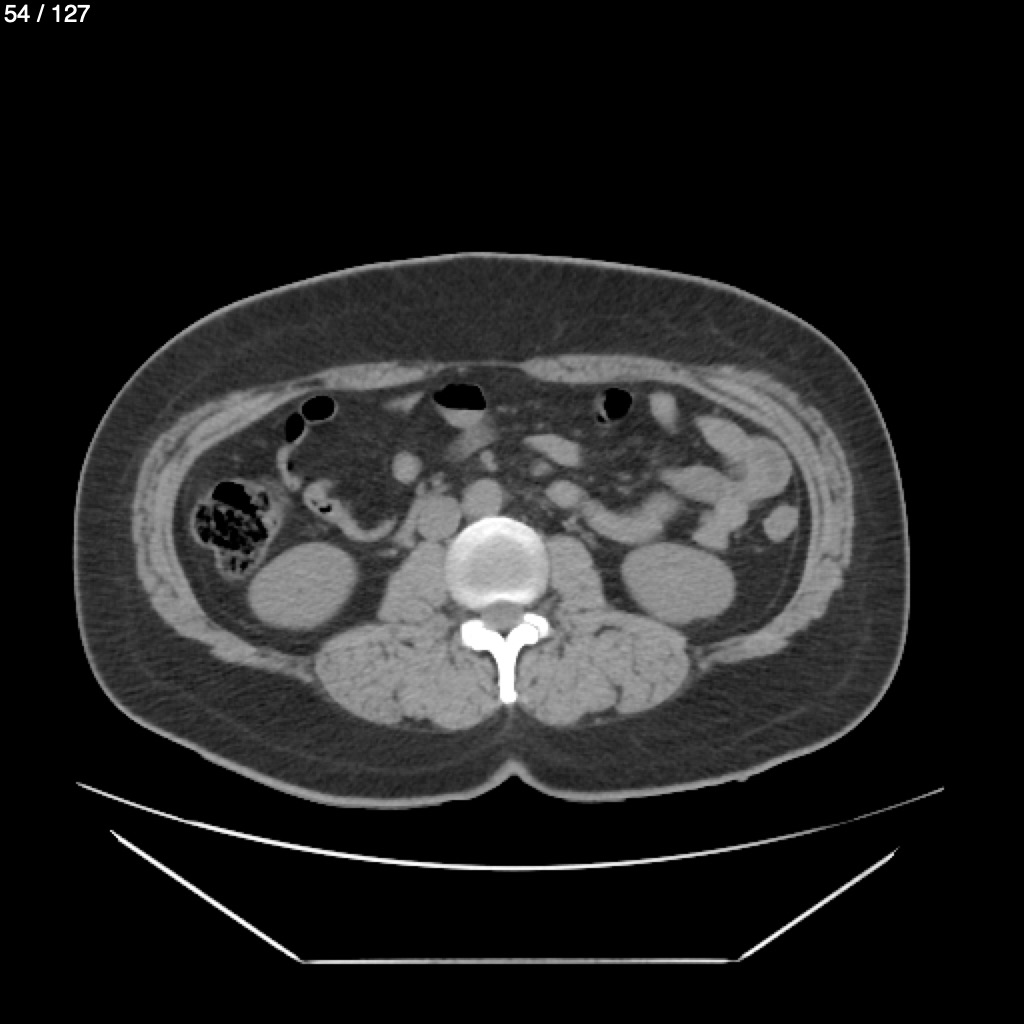
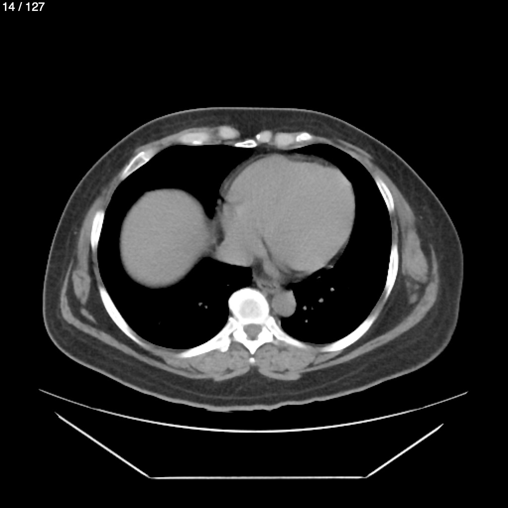
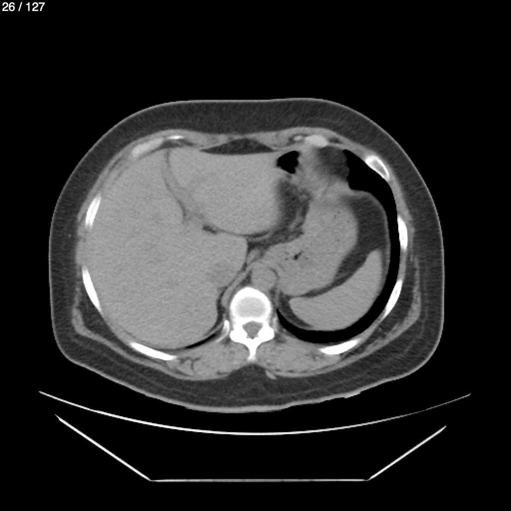
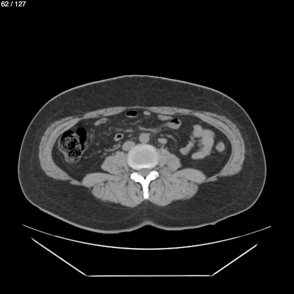
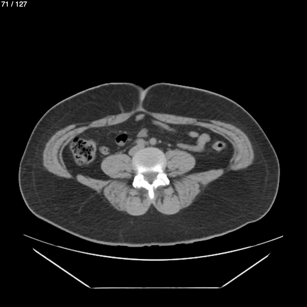
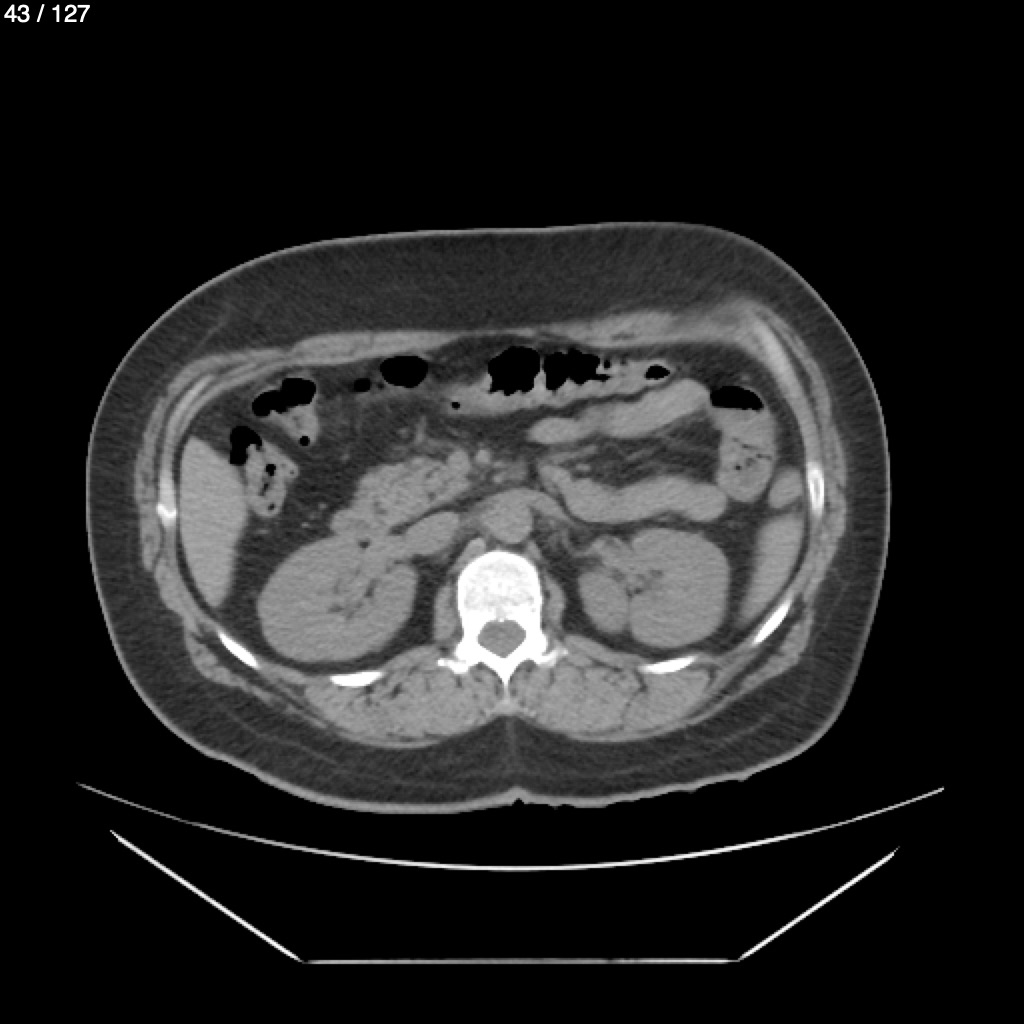
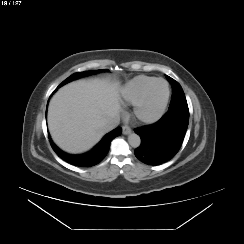
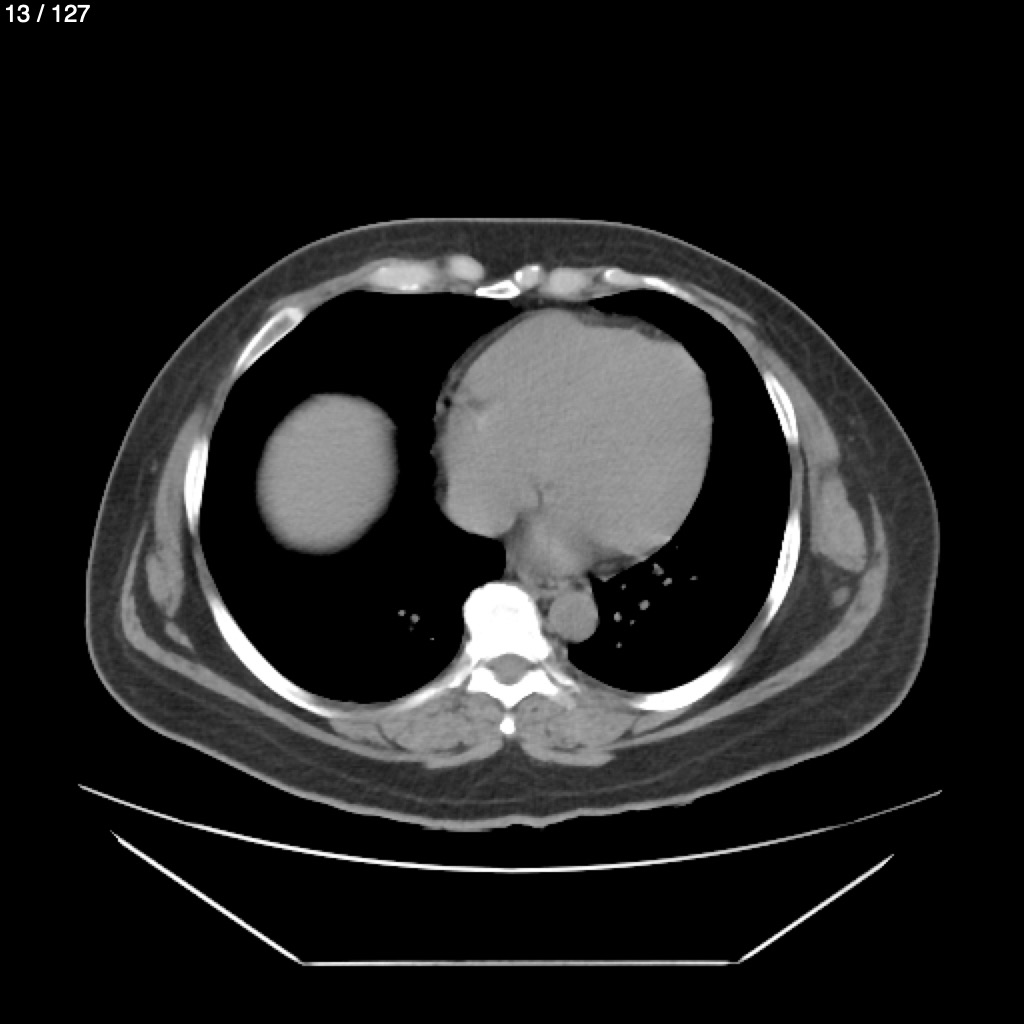
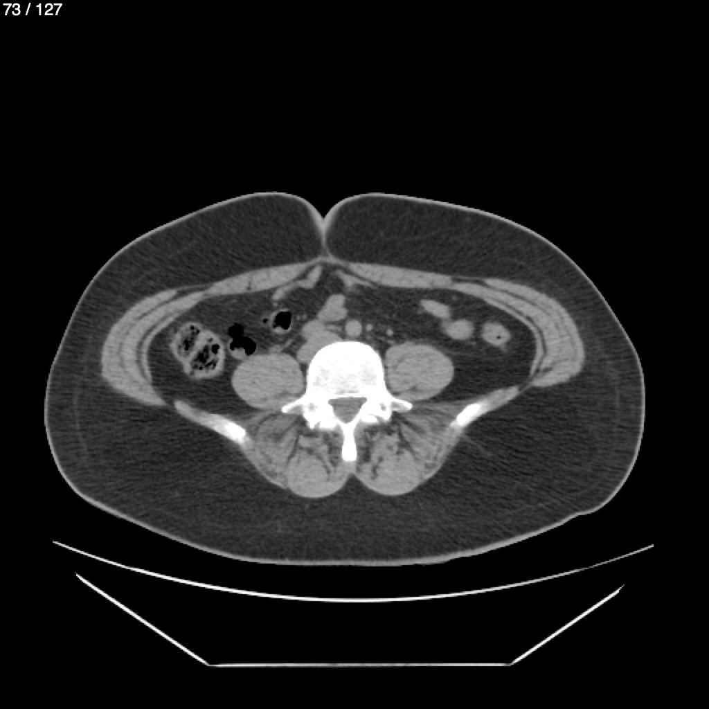
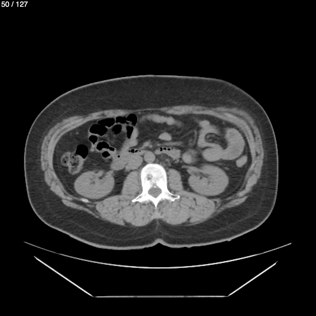
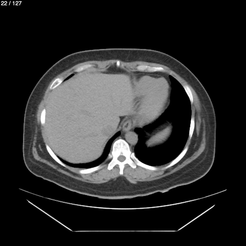
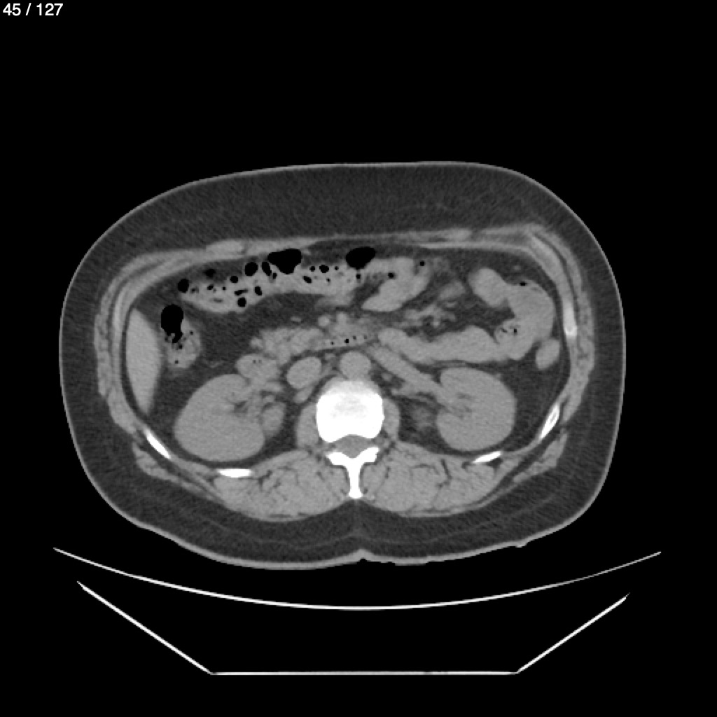
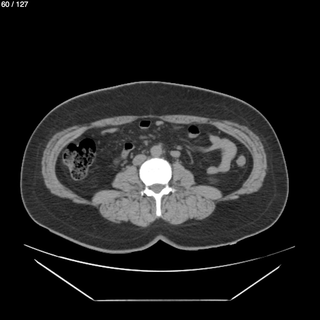
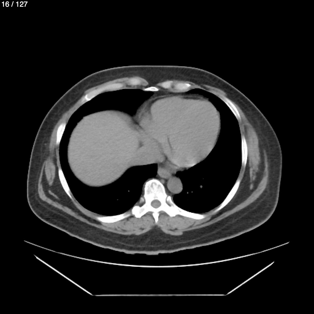
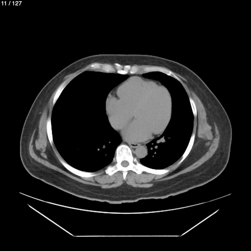
Adriana Cruz Somohano 47A - T.C Abdomen Syc
Next Series
Show as Sequence