HUIXTLA
ESCUINTLA
AKISHINO
AKISHINO2 USG
ESPECIALIDADES
Home
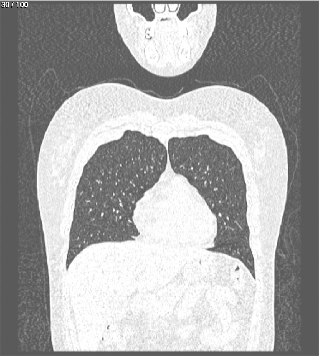
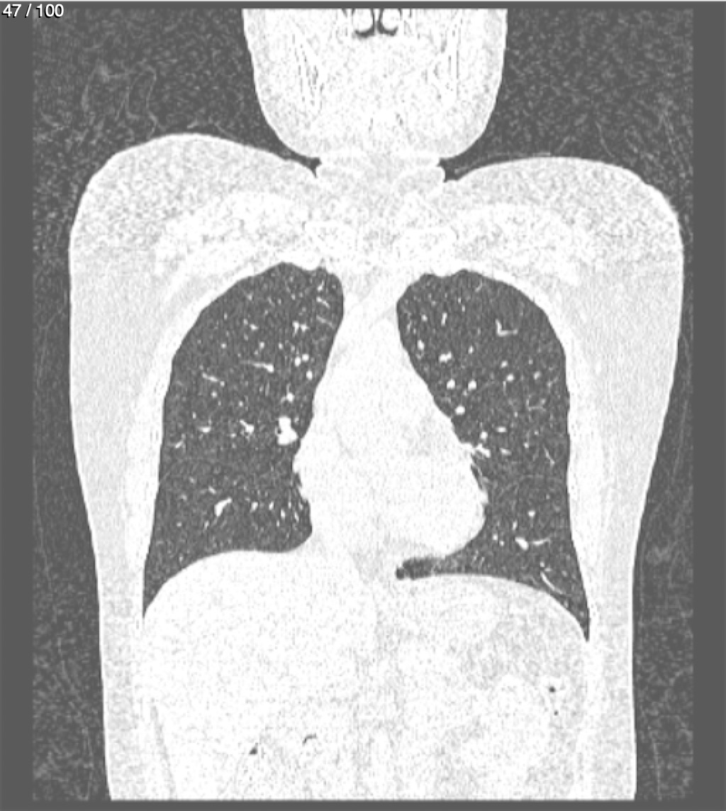
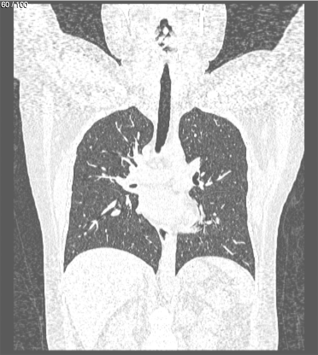
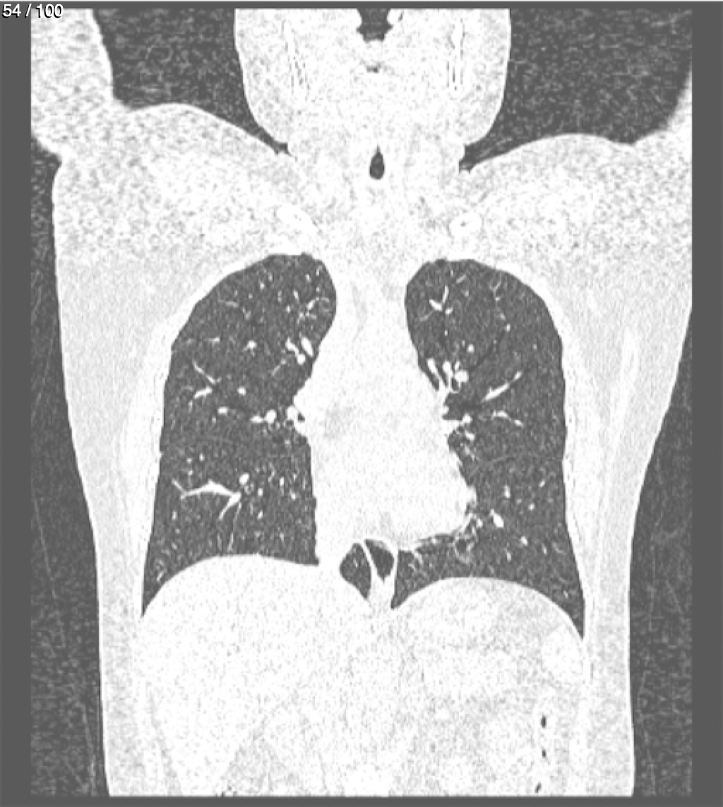
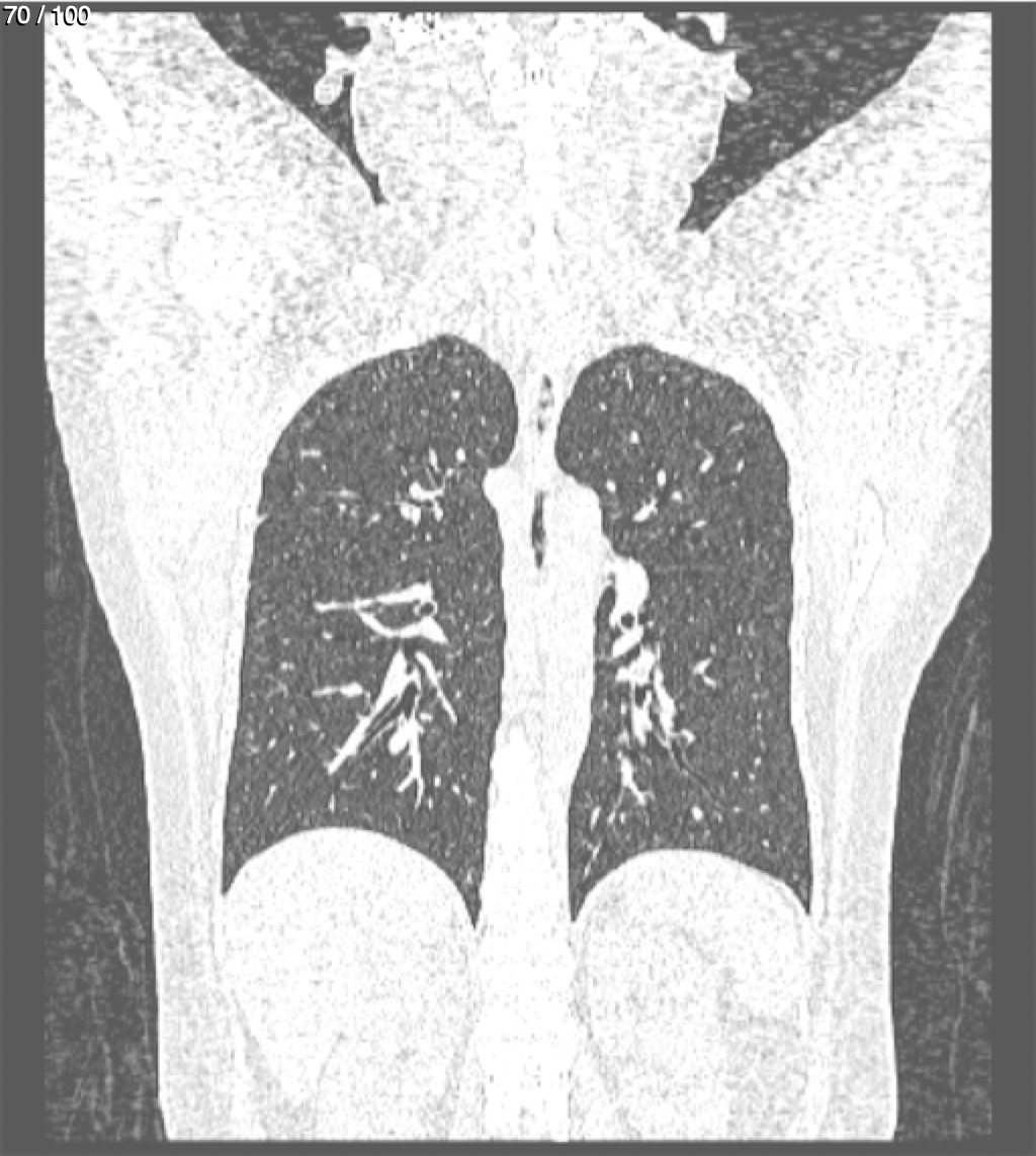
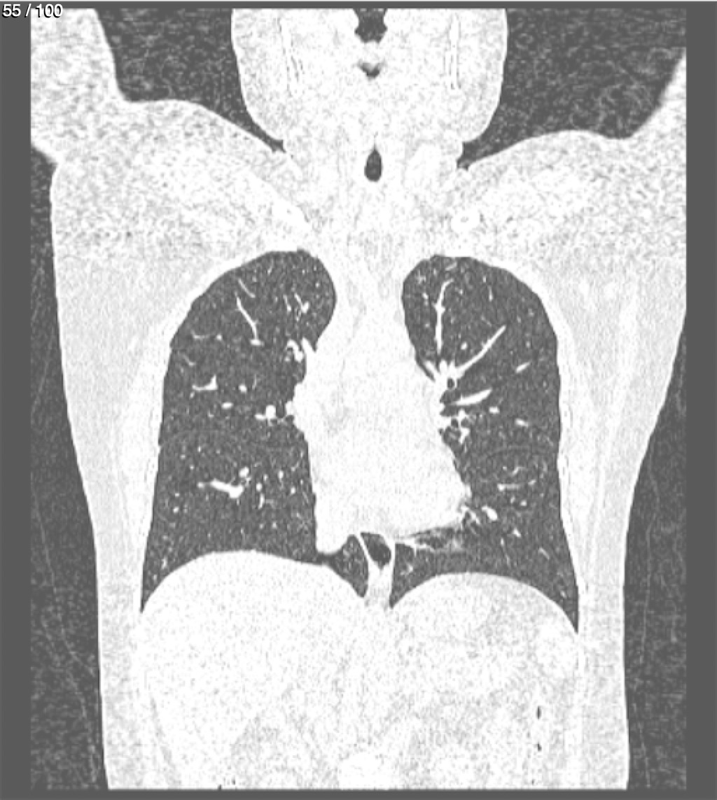
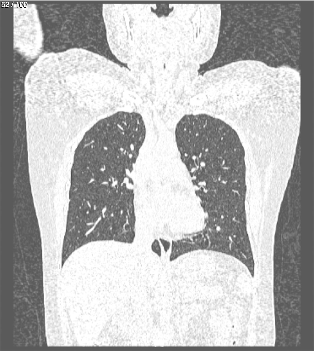
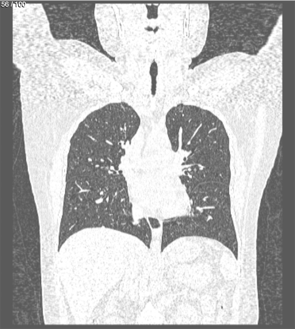
Maria Isabel Ramirez Mendez 36A - T.C Torax S
Previous Series
Next Series
Show as Sequence