HUIXTLA
ESCUINTLA
AKISHINO
AKISHINO2 USG
ESPECIALIDADES
Home
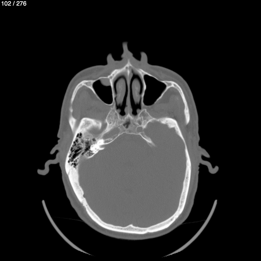
Roberto Perez Reyes 74A - T.C Craneo
Previous Series
Next Series
Show as Sequence