HUIXTLA
ESCUINTLA
AKISHINO
AKISHINO2 USG
ESPECIALIDADES
Home
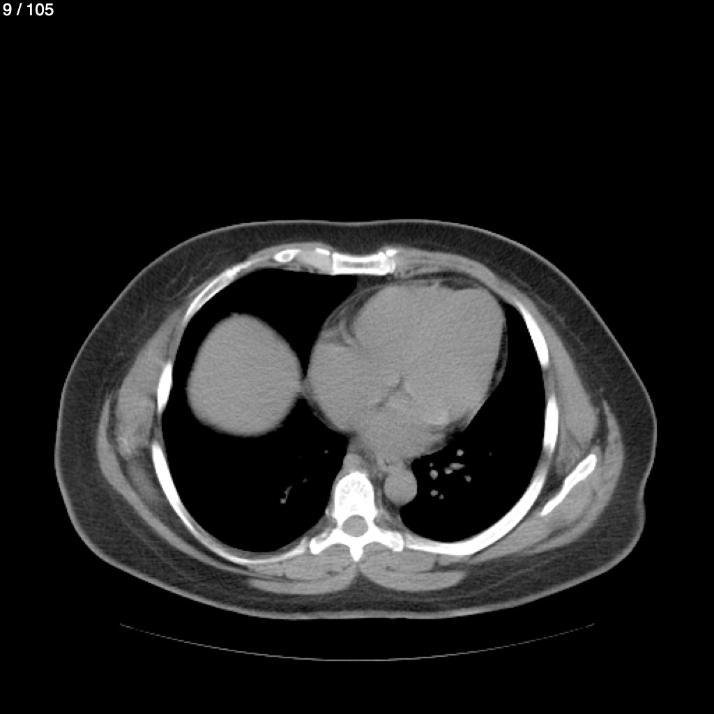
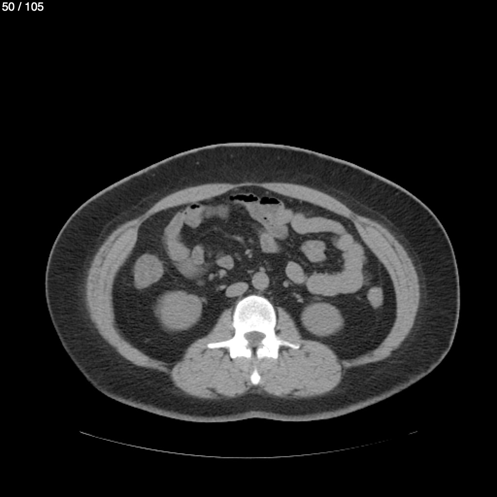
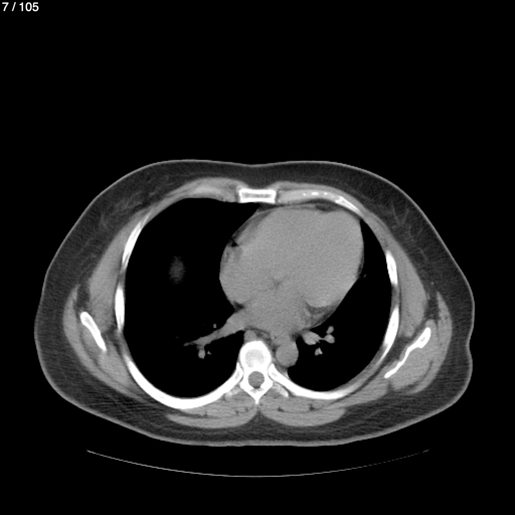
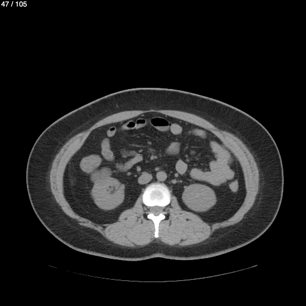
Rosa Maria Mediano Vazquez 40A - Urotac
Next Series
Show as Sequence